• Tel: 858.663.9055
  • SeparatorEmail: info@nsjbio.com
  • Tel: 858.663.9055
  • Email: info@nsjbio.com
Home >> Antibodies >> NOS1AP Antibody / CAPON

NOS1AP Antibody / CAPON (RQ7194)

  Catalog No Formulation Size Price (USD)  
Image RQ7194 0.5mg/ml if reconstituted with 0.2ml sterile DI water 100 ug 449
Bulk quote request
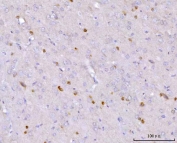
IHC staining of FFPE mouse brain tissue with NOS1AP antibody. HIER: boil tissue sections in pH8 EDTA for 20 min and allow to cool before testing.
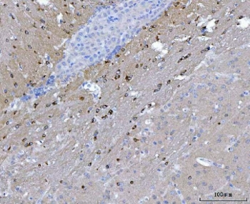
IHC staining of FFPE rat brain tissue with NOS1AP antibody. HIER: boil tissue sections in pH8 EDTA for 20 min and allow to cool before testing.
Western blot testing of 1) human HEL, 2) human A431, 3) human HaCaT, 4) human MCF7, 5) rat brain and 6) mouse brain tissue lysate with NOS1AP antibody. Predicted molecular weight ~56 kDa but ca be observed at ~70 kDa (NOS1AP-L) and 95-100 kDa (NOS1APc).
Flow cytometry testing of human HEL cells with NOS1AP antibody at 1ug/million cells (blocked with goat sera); Red=cells alone, Green=isotype control, Blue= NOS1AP antibody.
Availability 1-3 business days
Species Reactivity Human, Mouse, Rat
Format Antigen affinity purified
Host Rabbit
Clonality Polyclonal (rabbit origin)
Isotype Rabbit IgG
Purity Antigen affinity purified
Buffer Lyophilized from 1X PBS with 2% Trehalose
UniProt O75052
Applications Western Blot : 0.5-1ug/ml
Immunohistochemistry (FFPE) : 2-5ug/ml
Flow Cytometry : 1-3ug/million cells
Direct ELISA : 0.1-0.5ug/ml
Limitations This NOS1AP antibody is available for research use only.
Review this product on BioCompare and get a $20 Amazon gift card

Related Products

  • Applications : IHC, ELISA (peptide)
    Reactivity : Human
    Pred. Reactivity : Cow, Mouse, Rat

Description

Nitric oxide synthase 1 adaptor protein (NOS1AP) also known as carboxyl-terminal PDZ ligand of neuronal nitric oxide synthase protein (CAPON) is a protein that in humans is encoded by the NOS1AP gene. This gene encodes a cytosolic protein that binds to the signaling molecule, neuronal nitric oxide synthase (nNOS). This protein has a C-terminal PDZ-binding domain that mediates interactions with nNOS and an N-terminal phosphotyrosine binding (PTB) domain that binds to the small monomeric G protein, Dexras1. Studies of the related mouse and rat proteins have shown that this protein functions as an adapter protein linking nNOS to specific targets, such as Dexras1 and the synapsins. Alternative splicing results in multiple transcript variants encoding different isoforms

Application Notes

Optimal dilution of the NOS1AP antibody should be determined by the researcher.

Immunogen

Recombinant human protein (amino acids D24-D438) was used as the immunogen for the NOS1AP antibody.

Storage

After reconstitution, the NOS1AP antibody can be stored for up to one month at 4oC. For long-term, aliquot and store at -20oC. Avoid repeated freezing and thawing.

Cross
Bulk Quote Request Form
Name*:
Organization*:
Email*:
Phone Number*:
Catalog No.*:
Comments and Specifics(amount, formulation, etc.)*:
Validation code: Captchapackage Image


Can't read the image? click here to refresh.
    *required field

Your bulk quote request has been submitted successfully!

Please contact us if you have any questions.