• Tel: 858.663.9055
  • SeparatorEmail: info@nsjbio.com
  • Tel: 858.663.9055
  • Email: info@nsjbio.com
Home >> Antibodies >> NOS1 Antibody / nNOS

NOS1 Antibody / nNOS (R33993)

  Catalog No Formulation Size Price (USD)  
Image R33993-100UG 0.5 mg/ml in 1X TBS, pH7.3, with 0.5% BSA (US sourced) and 0.02% sodium azide 100 ug 475
Bulk quote request
Western blot testing of human skeletal muscle lysate with NOS1 antibody at 0.1ug/ml. Predicted/observed molecular weight: ~161 kDa.
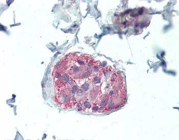
IHC testing of FFPE human colon tissue with NOS1 antibody at 5ug/ml. Required HIER: steamed antigen retrieval with pH6 citrate buffer; AP-staining.
Availability 1-3 business days
Species Reactivity Human
Predicted Reactivity Mouse
Format Antigen affinity purified
Host Goat
Clonality Polyclonal (goat origin)
Isotype Goat Ig
Purity Antigen affinity
Gene ID 4842
Localization Cell membrane, cytoplasm
Applications Western Blot : 0.1-0.3ug/ml
Immunohistochemistry (FFPE) : 5ug/ml
ELISA (peptide) LOD : 1:32000
Limitations This NOS1 antibody is available for research use only.
Review this product on BioCompare and get a $20 Amazon gift card

Related Products

  • Applications : WB
    Reactivity : Human, Rat, Goat, Pig
  • Applications : WB, IHC-P
    Reactivity : Human, Mouse, Rat
  • Applications : IHC, ELISA (peptide)
    Reactivity : Human
    Pred. Reactivity : Cow, Mouse, Rat
  • Applications : WB
    Reactivity : Mouse, Rat
    Pred. Reactivity : Human
  • Applications : WB, FACS, Direct ELISA
    Reactivity : Human, Mouse, Rat
  • Applications : WB, IHC-P, FACS, Direct ELISA
    Reactivity : Human, Mouse, Rat

Description

Additional name(s) for this target protein: Nitric oxide synthase 1

Application Notes

Optimal dilution of the NOS1 antibody should be determined by the researcher.

Immunogen

Amino acids ESKKDTDEVFSS were used as the immunogen for this NOS1 antibody.

Storage

Aliquot and store the NOS1 antibody at -20oC.

Cross
Bulk Quote Request Form
Name*:
Organization*:
Email*:
Phone Number*:
Catalog No.*:
Comments and Specifics(amount, formulation, etc.)*:
Validation code: Captchapackage Image


Can't read the image? click here to refresh.
    *required field

Your bulk quote request has been submitted successfully!

Please contact us if you have any questions.