• Tel: 858.663.9055
  • SeparatorEmail: info@nsjbio.com
  • Tel: 858.663.9055
  • Email: info@nsjbio.com
Home >> Antibodies >> Nonspecific Cross-Reacting Antigen 90 Antibody / CEACAM6

Nonspecific Cross-Reacting Antigen 90 Antibody / CEACAM6 [clone CEACAM6/10079R] (V5958)

  Catalog No Formulation Size Price (USD)  
Image V5958-100UG 0.2 mg/ml in 1X PBS with 0.05% BSA, 0.05% sodium azide 100 ug 559
Image
V5958-20UG 0.2 mg/ml in 1X PBS with 0.05% BSA, 0.05% sodium azide 20 ug 259
Image
V5958SAF-100UG 1 mg/ml in 1X PBS; BSA free, sodium azide free 100 ug 559
Microvalidated Recrabbitmono
Bulk quote request
Western blot testing of Nonspecific Cross-Reacting Antigen 90 / CEACAM6 antibody. Human HT-29 and AsPC-1 whole cell lysates show a prominent band at approximately 90-100 kDa, consistent with the predicted molecular weight of CEACAM6 and its heavily glycosylated mature form. Clone CEACAM6/10079R detects CEACAM6 protein under reducing conditions, demonstrating specific recognition in human colorectal and pancreatic adenocarcinoma cell lines.
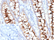
Immunohistochemistry analysis of Nonspecific Cross-Reacting Antigen 90 / CEACAM6 antibody (clone CEACAM6/10079R) in human colon carcinoma tissue. Formalin-fixed, paraffin-embedded human colon carcinoma shows strong membranous and apical brown chromogenic staining in tumor epithelial cells, consistent with CEACAM6 expression, while surrounding stromal elements are largely negative. The inset image shows PBS used in place of primary antibody as a negative control, demonstrating absence of specific staining. Heat-induced epitope retrieval was performed by boiling tissue sections in 10mM Tris with 1mM EDTA, pH 9.0, for 45 min at 95oC followed by cooling at RT for 20 minutes.
SDS-PAGE Analysis of Purified Nonspecific Cross-Reacting Antigen 90 antibody (CEACAM6/10079R). Confirmation of Purity and Integrity of Antibody.
Species Reactivity Human
Format Purified
Host Rabbit
Clonality Recombinant Rabbit Monoclonal
Isotype Rabbit IgG, kappa
Clone Name CEACAM6/10079R
UniProt P40199
Localization Apical cell membrane, Cell membrane, Cell surface
Applications Immunohistochemistry (FFPE) : 1-2ug/ml
Western Blot : 2-4ug/ml
Limitations This Nonspecific Cross-Reacting Antigen 90 antibody is available for research use only.
Review this product on BioCompare and get a $20 Amazon gift card

Related Products

Description

Nonspecific Cross-Reacting Antigen 90 antibody recognizes Carcinoembryonic antigen-related cell adhesion molecule 6, encoded by the CEACAM6 gene and also widely known as CD66c. This recombinant monoclonal antibody (clone CEACAM6/10079R) targets a heavily glycosylated, glycosylphosphatidylinositol-anchored cell surface protein belonging to the CEA family within the immunoglobulin superfamily. CEACAM6 is primarily localized to the plasma membrane of epithelial cells, where it participates in cell-cell adhesion, immune modulation, and regulation of differentiation and survival signaling pathways.

Historically, CEACAM6 was described in the literature as Nonspecific cross-reacting antigen 90, often abbreviated as NCA-90, reflecting its approximate 90 kDa apparent molecular weight on SDS-PAGE due to extensive glycosylation. The term NCA distinguished it from classical CEA, yet acknowledged antigenic cross-reactivity within the carcinoembryonic antigen family. Over time, molecular cloning and gene characterization unified these names under CEACAM6, while CD66c became the standardized cluster of differentiation designation. Because older pathology and tumor marker studies frequently use NCA-90 terminology, incorporating Nonspecific Cross-Reacting Antigen 90 antibody as a primary keyword supports strong legacy SEO capture alongside modern CEACAM6 antibody searches.

CEACAM6 is highly expressed in normal epithelial tissues including colon, stomach, pancreas, and lung, with membranous localization along apical surfaces. Functionally, it contributes to intercellular adhesion and interacts with other CEACAM family members to influence tissue architecture. Beyond structural roles, CEACAM6 participates in signaling pathways that regulate apoptosis resistance, cellular proliferation, and invasion. Its overexpression has been documented in colorectal carcinoma, pancreatic ductal adenocarcinoma, gastric carcinoma, breast cancer, and lung adenocarcinoma, where it is associated with tumor progression, metastatic potential, and altered immune interactions.

As a GPI-anchored protein lacking a transmembrane cytoplasmic tail, CEACAM6 signals through lateral membrane interactions and co-clustering with other adhesion molecules. It has been implicated in modulation of integrin signaling, anoikis resistance, and inflammatory responses within the tumor microenvironment. Elevated CEACAM6 expression may correlate with chemoresistance and poor clinical prognosis in several epithelial malignancies, making CEACAM6 antibody reagents valuable tools for both translational research and biomarker investigations.

This recombinant monoclonal clone CEACAM6/10079R provides consistent, defined specificity for detecting CEACAM6 expression in research applications. A Nonspecific Cross-Reacting Antigen 90 antibody is suitable for evaluating membranous CEACAM6 expression patterns in epithelial tissues and carcinomas, supporting studies of tumor biology, adhesion signaling, and immune regulation. The recombinant format ensures batch-to-batch consistency and defined sequence identity, supporting reproducible experimental performance.

Strong alternative terminology for CEACAM6 antibody includes CD66c antibody, NCA-90 antibody, and carcinoembryonic antigen-related cell adhesion molecule 6 antibody, all of which appear in peer-reviewed literature and pathology references. Incorporating these synonyms ensures comprehensive discoverability while maintaining scientific clarity around CEACAM6 gene identity and protein function.

Application Notes

1. Optimal dilution of the Nonspecific Cross-Reacting Antigen 90 antibody should be determined by the researcher.

2. This Nonspecific Cross-Reacting Antigen 90 antibody is recombinantly produced by expression in CHO cells.

Immunogen

Recombinant CEACAM6 protein was used as the immunogen for the Nonspecific Cross-Reacting Antigen 90 antibody.

Storage

Nonspecific Cross-Reacting Antigen 90 antibody with sodium azide - store at 2 to 8oC; antibody without sodium azide - store at -20 to -80oC.

Cross
Bulk Quote Request Form
Name*:
Organization*:
Email*:
Phone Number*:
Catalog No.*:
Comments and Specifics(amount, formulation, etc.)*:
Validation code: Captchapackage Image


Can't read the image? click here to refresh.
    *required field

Your bulk quote request has been submitted successfully!

Please contact us if you have any questions.