• Tel: 858.663.9055
  • SeparatorEmail: info@nsjbio.com
  • Tel: 858.663.9055
  • Email: info@nsjbio.com
Home >> Antibodies >> NONO Antibody

NONO Antibody (R34895)

  Catalog No Formulation Size Price (USD)  
Image R34895-100UG 0.5 mg/ml in 1X TBS, pH7.3, with 0.5% BSA (US sourced) and 0.02% sodium azide 100 ug 475
Bulk quote request
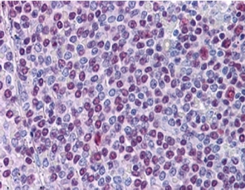
IHC staining of FFPE human spleen using NONO antibody at 3.8ug/ml. HIER: steamed with pH6 citrate buffer, AP-staining.
Western blot testing of mouse brain lysate with NONO antibody at 0.1ug/ml. Predicted molecular weight: ~54 kDa.
Western blot of HEK293 lysate overexpressing human NONO probed with NONO antibody (mock transfection in lane 1). Predicted molecular weight: ~54 kDa.
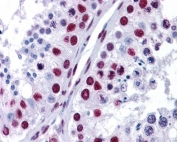
IHC staining of FFPE human testis using NONO antibody at 3.8ug/ml. HIER: steamed with pH6 citrate buffer, AP-staining.
Availability 1-3 business days
Species Reactivity Human, Mouse
Predicted Reactivity Dog, Rat
Format Antigen affinity purified
Host Goat
Clonality Polyclonal (goat origin)
Isotype Goat Ig
Purity Antigen affinity
UniProt Q15233
Gene ID 4841
Localization Nuclear
Applications Western Blot : 0.1-0.3ug/ml
Immunohistochemistry (FFPE) : 3-6ug/ml
ELISA (peptide) LOD : 1:16000
Limitations This NONO antibody is available for research use only.
Review this product on BioCompare and get a $20 Amazon gift card

Related Products

  • Applications : WB, ICC, FACS
    Reactivity : Human
  • Applications : WB, IHC, ELISA
    Reactivity : Human
    Pred. Reactivity : Mouse, Rat
  • Applications : WB, IHC-P
    Reactivity : Human, Mouse, Rat
  • Applications : WB, ELISA (peptide)
    Reactivity : Human, Mouse
    Pred. Reactivity : Dog, Rat

Description

Additional name(s) for this target protein: p54NRB, Non-POU domain containing octamer-binding

Application Notes

Optimal dilution of the NONO antibody should be determined by the researcher.

Immunogen

Amino acids NRAAPGAEFAPNK were used as the immunogen for this NONO antibody.

Storage

Aliquot and store the NONO antibody at -20oC.

Cross
Bulk Quote Request Form
Name*:
Organization*:
Email*:
Phone Number*:
Catalog No.*:
Comments and Specifics(amount, formulation, etc.)*:
Validation code: Captchapackage Image


Can't read the image? click here to refresh.
    *required field

Your bulk quote request has been submitted successfully!

Please contact us if you have any questions.