• Tel: 858.663.9055
  • SeparatorEmail: info@nsjbio.com
  • Tel: 858.663.9055
  • Email: info@nsjbio.com
Home >> Antibodies >> NOL11 Antibody / Nucleolar Protein 11

NOL11 Antibody / Nucleolar Protein 11 (FY12145)

  Catalog No Formulation Size Price (USD)  
Image FY12145 Adding 0.2 ml of distilled water will yield a concentration of 500 ug/ml 100 ug 449
Bulk quote request
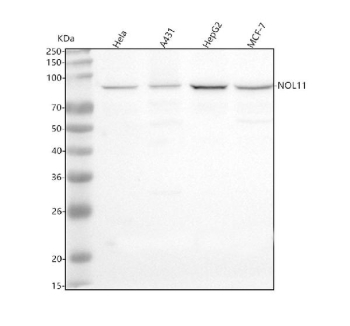
Western blot analysis of NOL11 using anti-NOL11 antibody. Lane 1: human Hela whole cell lysates, Lane 2: human whole cell lysates, Lane 3: human HepG2 whole cell lysates, Lane 4: human MCF-7 whole cell lysates. After electrophoresis, proteins were transferred to a nitrocellulose membrane at 150 mA for 50-90 minutes. Blocked the membrane with 5% non-fat milk/TBS for 1.5 hour at RT. The membrane was incubated with rabbit anti-NOL11 antibody at 0.5 ug/ml overnight at 4oC, then washed with TBS-0.1%Tween 3 times with 5 minutes each and probed with a goat anti-rabbit IgG-HRP secondary antibody at a dilution of 1:5000 for 1.5 hour at RT. The signal was developed using enhanced chemiluminescent. The expected band size for NOL11 is at 81 kDa.
Availability 1-2 days
Species Reactivity Human
Format Lyophilized
Host Rabbit
Clonality Polyclonal (rabbit origin)
Isotype Rabbit IgG
Purity Immunogen affinity purified
Buffer Each vial contains 4 mg Trehalose, 0.9 mg NaCl, 0.2 mg Na2HPO4.
UniProt Q9H8H0
Applications Western Blot : 0.25-0.5ug/ml
ELISA : 0.1-0.5ug/ml
Limitations This NOL11 antibody is available for research use only.
Review this product on BioCompare and get a $20 Amazon gift card

Description

NOL11 antibody detects Nucleolar protein 11, encoded by the NOL11 gene on chromosome 2p22.2. NOL11 antibody is used to study this nucleolar protein that is essential for ribosome biogenesis and proper cell cycle progression. NOL11 localizes to the nucleolus, where it associates with ribosomal DNA and processing factors required for synthesis of 18S rRNA. By promoting rRNA transcription and processing, NOL11 ensures efficient production of small ribosomal subunits and maintains global protein synthesis capacity.

Structurally, NOL11 contains coiled-coil domains and nucleolar localization signals that target it to ribosomal gene clusters. It associates with components of the small subunit (SSU) processome, a large ribonucleoprotein complex that catalyzes early steps of pre-rRNA processing. NOL11 also interacts with transcription factors that regulate RNA polymerase I, linking rRNA transcription and processing. Knockdown experiments demonstrate that NOL11 depletion reduces 18S rRNA levels, disrupts nucleolar structure, and leads to p53-dependent cell cycle arrest.

Functionally, NOL11 plays an indispensable role in embryonic development and cell proliferation. Studies in Xenopus reveal that NOL11 is required for craniofacial development, reflecting its importance in neural crest cell survival and differentiation. In mammalian cells, NOL11 depletion impairs ribosome assembly, activates nucleolar stress responses, and reduces cell growth. The critical role of NOL11 in ribosome biogenesis underscores its significance in maintaining protein homeostasis and cellular metabolism.

Clinically, mutations in NOL11 are associated with North American Indian childhood cirrhosis (NAIC), a rare inherited liver disease characterized by progressive fibrosis and impaired ribosome function. Altered NOL11 expression may also contribute to cancer, where ribosome biogenesis is frequently upregulated to support uncontrolled proliferation. By enabling detection of this nucleolar factor, NOL11 antibody is valuable for research into ribosome biology, developmental disorders, and cancer.

Experimentally, NOL11 antibody is used in western blotting to detect the ~90 kDa protein, in immunofluorescence to visualize nucleolar localization, and in immunohistochemistry to analyze tissue expression. Immunoprecipitation with NOL11 antibody identifies binding partners in the SSU processome. NSJ Bioreagents provides NOL11 antibody to ensure accurate and reproducible detection for studies in nucleolar biology and ribosome assembly.

Application Notes

Optimal dilution of the NOL11 antibody should be determined by the researcher.

Immunogen

E.coli-derived human NOL11 recombinant protein (Position: D32-K626) was used as the immunogen for the NOL11 antibody.

Storage

After reconstitution, the NOL11 antibody can be stored for up to one month at 4oC. For long-term, aliquot and store at -20oC. Avoid repeated freezing and thawing.

Cross
Bulk Quote Request Form
Name*:
Organization*:
Email*:
Phone Number*:
Catalog No.*:
Comments and Specifics(amount, formulation, etc.)*:
Validation code: Captchapackage Image


Can't read the image? click here to refresh.
    *required field

Your bulk quote request has been submitted successfully!

Please contact us if you have any questions.