• Tel: 858.663.9055
  • SeparatorEmail: info@nsjbio.com
  • Tel: 858.663.9055
  • Email: info@nsjbio.com
Home >> Antibodies >> Nod1 Antibody

Nod1 Antibody (R31707)

  Catalog No Formulation Size Price (USD)  
Image R31707 0.5mg/ml if reconstituted with 0.2ml sterile DI water 100 ug 449
Bulk quote request
Western blot testing of Nod1 antibody and Lane 1: human A549; 2: rat heart lysate. Predicted/observed molecular weight: ~107 kDa.
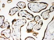
IHC-P: Nod1 antibody testing of human placenta tissue. HIER: steam section in pH6 citrate buffer for 20 min and allow to cool prior to testing.
ICC testing of human SMMC-7721 cells with Nod1 antibody. HIER: steam section in pH6 citrate buffer for 20 min and allow to cool prior to testing.
ICC testing of human HeLa cells with Nod1 antibody. HIER: steam section in pH6 citrate buffer for 20 min and allow to cool prior to testing.
ICC testing of human A549 cells with Nod1 antibody. HIER: steam section in pH6 citrate buffer for 20 min and allow to cool prior to testing.
Availability 1-3 business days
Species Reactivity Human, Rat
Format Antigen affinity purified
Host Rabbit
Clonality Polyclonal (rabbit origin)
Isotype Rabbit IgG
Purity Antigen affinity
Buffer Lyophilized from 1X PBS with 2.5% BSA, 0.025% sodium azide
Gene ID 10392
Applications Western Blot : 0.5-1ug/ml
IHC (FFPE) : 0.5-1ug/ml
ICC (FFPE) : 0.5-1ug/ml
Limitations This Nod1 antibody is available for research use only.
Review this product on BioCompare and get a $20 Amazon gift card

Related Products

  • Applications : WB, ELISA (peptide)
    Reactivity : Human
    Pred. Reactivity : Cow, Dog, Mouse, Pig, Rat
  • Applications : WB
    Reactivity : Monkey
  • Applications : WB, IHC-P, FACS
    Reactivity : Human
  • Applications : IHC-P, WB
    Reactivity : Human, Mouse

Description

Nucleotide-binding oligomerization domain-containing protein 1, also known as CARD4, is a protein receptor that in humans is encoded by the NOD1 gene. It is a member of NOD-like receptor protein family and is a close relative of Nod2. It recognizes bacterial molecules and stimulates an immune reaction. Nod1 contains a caspase recruitment domain (CARD). This gene is an intracellular pattern recognition receptor, which is similar in structure to resistant proteins of plants, and mediates innate and acquired immunity by recognizing bacterial molecules containing D-glutamyl-meso-diaminopimelic acid (iE-DAP) moiety. Additionally, it has been shown that Nod1 can sense cytosolic microbial products by monitoring the activation state of small Rho GTPases.

Application Notes

The stated application concentrations are suggested starting amounts. Titration of the Nod1 antibody may be required due to differences in protocols and secondary/substrate sensitivity.

Immunogen

Human partial recombinant protein (AA 1-160) was used as the immunogen for this Nod1 antibody.

Storage

After reconstitution, the Nod1 antibody can be stored for up to one month at 4oC. For long-term, aliquot and store at -20oC. Avoid repeated freezing and thawing.

Cross
Bulk Quote Request Form
Name*:
Organization*:
Email*:
Phone Number*:
Catalog No.*:
Comments and Specifics(amount, formulation, etc.)*:
Validation code: Captchapackage Image


Can't read the image? click here to refresh.
    *required field

Your bulk quote request has been submitted successfully!

Please contact us if you have any questions.