• Tel: 858.663.9055
  • SeparatorEmail: info@nsjbio.com
  • Tel: 858.663.9055
  • Email: info@nsjbio.com
Home >> Antibodies >> NOD1 Antibody

NOD1 Antibody (F54615)

  Catalog No Formulation Size Price (USD)  
Image F54615-0.4ML In 1X PBS, pH 7.4, with 0.09% sodium azide 0.4 ml 439
Image
F54615-0.08ML In 1X PBS, pH 7.4, with 0.09% sodium azide 0.08 ml 205
Bulk quote request
Western blot testing of human 1) CCRF-CEM, 2) NCI-H1299, 3) HT-29, 4) SW480, 5) mouse heart and 6) mouse spleen lysate with NOD1 antibody. Predicted molecular weight: ~107 kDa.
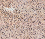
IHC testing of FFPE human pancreas tissue with NOD1 antibody. HIER: steam section in pH6 citrate buffer for 20 min and allow to cool prior to staining.
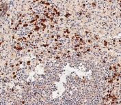
IHC testing of FFPE human spleen tissue with NOD1 antibody. HIER: steam section in pH6 citrate buffer for 20 min and allow to cool prior to staining.
Availability 1-3 business days
Species Reactivity Human, Mouse
Format Purified
Host Rabbit
Clonality Polyclonal (rabbit origin)
Isotype Rabbit IgG
Purity Antigen affinity purified
UniProt Q9Y239
Localization Cytoplasmic
Applications Immunohistochemistry (FFPE) : 1:25
Western Blot : 1:500-1:2000
Limitations This NOD1 antibody is available for research use only.
Review this product on BioCompare and get a $20 Amazon gift card

Related Products

  • Applications : WB, IHC-P, ICC
    Reactivity : Human, Rat
  • Applications : WB, ELISA (peptide)
    Reactivity : Human
    Pred. Reactivity : Cow, Dog, Mouse, Pig, Rat
  • Applications : WB
    Reactivity : Monkey
  • Applications : WB, IHC-P, FACS
    Reactivity : Human

Description

This gene encodes a member of the NOD (nucleotide-binding oligomerization domain) family. This member is a cytosolic protein. It contains an N-terminal caspase recruitment domain (CARD), a centrally located nucleotide-binding domain (NBD), and 10 tandem leucine-rich repeats (LRRs) in its C terminus. The CARD is involved in apoptotic signaling, LRRs participate in protein-protein interactions, and mutations in the NBD may affect the process of oligomerization and subsequent function of the LRR domain. This protein is an intracellular pattern-recognition receptor (PRR) that initiates inflammation in response to a subset of bacteria through the detection of bacterial diaminopimelic acid. Multiple alternatively spliced transcript variants differring in the 5' UTR have been described, but the full-length nature of these variants has not been determined.

Application Notes

The stated application concentrations are suggested starting points. Titration of the NOD1 antibody may be required due to differences in protocols and secondary/substrate sensitivity.

Immunogen

A portion of amino acids 923-951 from the human protein was used as the immunogen for the NOD1 antibody.

Storage

Aliquot the NOD1 antibody and store frozen at -20oC or colder. Avoid repeated freeze-thaw cycles.

Cross
Bulk Quote Request Form
Name*:
Organization*:
Email*:
Phone Number*:
Catalog No.*:
Comments and Specifics(amount, formulation, etc.)*:
Validation code: Captchapackage Image


Can't read the image? click here to refresh.
    *required field

Your bulk quote request has been submitted successfully!

Please contact us if you have any questions.