• Tel: 858.663.9055
  • SeparatorEmail: info@nsjbio.com
  • Tel: 858.663.9055
  • Email: info@nsjbio.com
Home >> Antibodies >> NOD1 Antibody / CARD4

NOD1 Antibody / CARD4 (RQ6083)

  Catalog No Formulation Size Price (USD)  
Image RQ6083 0.5mg/ml if reconstituted with 0.2ml sterile DI water 100 ug 449
Bulk quote request
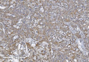
IHC staining of FFPE human liver cancer with NOD1 antibody. HIER: boil tissue sections in pH8 EDTA for 20 min and allow to cool before testing.
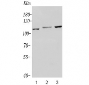
Western blot testing of human 1) ThP-1, 2) U-2 OS and 3) HeLa lysate with NOD1 antibody. Predicted molecular weight: ~107 kDa.
Flow cytometry testing of human Caco-2 cells with NOD1 antibody at 1ug/million cells (blocked with goat sera); Red=cells alone, Green=isotype control, Blue= NOD1 antibody.
Availability 1-3 business days
Species Reactivity Human
Format Antigen affinity purified
Host Rabbit
Clonality Polyclonal (rabbit origin)
Isotype Rabbit IgG
Purity Affinity purified
Buffer Lyophilized from 1X PBS with 2% Trehalose and 0.025% sodium azide
UniProt Q9Y239
Applications Western Blot : 0.5-1ug/ml
Immunohistochemistry (FFPE) : 1-2ug/ml
Flow Cytometry : 1-3ug/million cells
Limitations This NOD1 antibody is available for research use only.
Review this product on BioCompare and get a $20 Amazon gift card

Related Products

  • Applications : WB, IHC-P, ICC
    Reactivity : Human, Rat
  • Applications : WB, ELISA (peptide)
    Reactivity : Human
    Pred. Reactivity : Cow, Dog, Mouse, Pig, Rat
  • Applications : WB
    Reactivity : Monkey
  • Applications : IHC-P, WB
    Reactivity : Human, Mouse

Description

Nucleotide-binding oligomerization domain-containing protein 1, also known as CARD4, is a protein receptor that in humans is encoded by the NOD1 gene. NOD1 is a member of NOD-like receptor protein family and is a close relative of NOD2. NOD1 is mapped to 7p14.3. It recognizes bacterial molecules and stimulates an immune reaction. NOD1 protein contains a caspase recruitment domain (CARD). This gene is an intracellular pattern recognition receptor, which is similar in structure to resistant proteins of plants, and mediates innate and acquired immunity by recognizing bacterial molecules containing D-glutamyl-meso-diaminopimelic acid (iE-DAP) moiety. What wore, it has been shown that NOD1 can sense cytosolic microbial products by monitoring the activation state of small Rho GTPases.

Application Notes

Optimal dilution of the NOD1 antibody should be determined by the researcher.

Immunogen

A recombinant human protein (amino acids N26-F953) was used as the immunogen for the NOD1 antibody.

Storage

After reconstitution, the NOD1 antibody can be stored for up to one month at 4oC. For long-term, aliquot and store at -20oC. Avoid repeated freezing and thawing.

Cross
Bulk Quote Request Form
Name*:
Organization*:
Email*:
Phone Number*:
Catalog No.*:
Comments and Specifics(amount, formulation, etc.)*:
Validation code: Captchapackage Image


Can't read the image? click here to refresh.
    *required field

Your bulk quote request has been submitted successfully!

Please contact us if you have any questions.