• Tel: 858.663.9055
  • SeparatorEmail: info@nsjbio.com
  • Tel: 858.663.9055
  • Email: info@nsjbio.com
Home >> Antibodies >> NOC4L Antibody / Nucleolar complex-associated protein 4-like

NOC4L Antibody / Nucleolar complex-associated protein 4-like (RQ8446)

  Catalog No Formulation Size Price (USD)  
Image RQ8446 0.5mg/ml if reconstituted with 0.2ml sterile DI water 100 ug 449
Bulk quote request
Immunofluorescent staining of FFPE human HeLa cells with NOC4L antibody (red) and Beta Tubulin mAb (green). HIER: steam section in pH6 citrate buffer for 20 min.
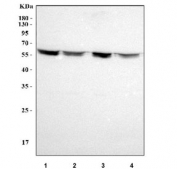
Western blot testing of human 1) HeLa, 2) Jurkat, 3) 293T and 4) A549 cell lysate with NOC4L antibody. Predicted molecular weight ~58 kDa.
Flow cytometry testing of fixed and permeabilized human 293T cells with NOC4L antibody at 1ug/million cells (blocked with goat sera); Red=cells alone, Green=isotype control, Blue= NOC4L antibody.
Availability 1-3 business days
Species Reactivity Human
Format Antigen affinity purified
Host Rabbit
Clonality Polyclonal (rabbit origin)
Isotype Rabbit IgG
Purity Antigen affinity purified
Buffer Lyophilized from 1X PBS with 2% Trehalose
UniProt Q9BVI4
Localization Nuclear
Applications Western Blot : 0.5-1ug/ml
Immunofluorescence : 5ug/ml
Flow Cytometry : 1-3ug/million cells
Direct ELISA : 0.1-0.5ug/ml
Limitations This NOC4L antibody is available for research use only.
Review this product on BioCompare and get a $20 Amazon gift card

Related Products

Description

Enables RNA binding activity. Predicted to be involved in rRNA processing. Located in nucleolus and nucleoplasm.

Application Notes

Optimal dilution of the NOC4L antibody should be determined by the researcher.

Immunogen

An E.coli-derived human recombinant protein (R17-R504) was used as the immunogen for the NOC4L antibody.

Storage

After reconstitution, the NOC4L antibody can be stored for up to one month at 4oC. For long-term, aliquot and store at -20oC. Avoid repeated freezing and thawing.

Cross
Bulk Quote Request Form
Name*:
Organization*:
Email*:
Phone Number*:
Catalog No.*:
Comments and Specifics(amount, formulation, etc.)*:
Validation code: Captchapackage Image


Can't read the image? click here to refresh.
    *required field

Your bulk quote request has been submitted successfully!

Please contact us if you have any questions.