• Tel: 858.663.9055
  • SeparatorEmail: info@nsjbio.com
  • Tel: 858.663.9055
  • Email: info@nsjbio.com
Home >> Antibodies >> NNP1 Antibody / Novel nuclear protein 1 / RRP1

NNP1 Antibody / Novel nuclear protein 1 / RRP1 (RQ7866)

  Catalog No Formulation Size Price (USD)  
Image RQ7866 0.5mg/ml if reconstituted with 0.2ml sterile DI water 100 ug 449
Bulk quote request
Immunofluorescent staining of FFPE human U-87 MG cells with NPP1 antibody (red), Beta Tubulin mAb (green) and DAPI nuclear stain (blue). HIER: steam section in pH6 citrate buffer for 20 min.
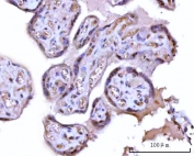
IHC staining of FFPE human placental tissue with NNP1 antibody. HIER: boil tissue sections in pH8 EDTA for 20 min and allow to cool before testing.
IHC staining of FFPE human colon adenocarcinoma tissue with NNP1 antibody. HIER: boil tissue sections in pH8 EDTA for 20 min and allow to cool before testing.
Western blot testing of human 1) HeLa and 2) 293T cell lysate with NNP1 antibody. Predicted molecular weight ~53 kDa.
Flow cytometry testing of human HeLa cells with NNP1 antibody at 1ug/million cells (blocked with goat sera); Red=cells alone, Green=isotype control, Blue= NNP1 antibody.
Availability 1-3 business days
Species Reactivity Human
Format Antigen affinity purified
Host Rabbit
Clonality Polyclonal (rabbit origin)
Isotype Rabbit IgG
Purity Antigen affinity purified
Buffer Lyophilized from 1X PBS with 2% Trehalose
UniProt P56182
Localization Nucleus, Nucleolus
Applications Western Blot : 0.5-1ug/ml
Immunohistochemistry (FFPE) : 2-5ug/ml
Immunofluorescence (FFPE) : 5ug/ml
Flow Cytometry : 1-3ug/million cells
Direct ELISA : 0.1-0.5ug/ml
Limitations This NNP1 antibody is available for research use only.
Review this product on BioCompare and get a $20 Amazon gift card

Description

Ribosomal RNA processing protein 1 homolog A, also called Novel nuclear protein 1 (NNP1), is a protein that in humans is encoded by the RRP1 gene. The protein encoded by this gene is the putative homolog of the yeast ribosomal RNA processing protein RRP1. The encoded protein is involved in the late stages of nucleologenesis at the end of mitosis, and may be required for the generation of 28S rRNA.

Application Notes

Optimal dilution of the NNP1 antibody should be determined by the researcher.

Immunogen

E. coli-derived recombinant human protein (amino acids Q22-D237) was used as the immunogen for the NNP1 antibody.

Storage

After reconstitution, the NNP1 antibody can be stored for up to one month at 4oC. For long-term, aliquot and store at -20oC. Avoid repeated freezing and thawing.

Cross
Bulk Quote Request Form
Name*:
Organization*:
Email*:
Phone Number*:
Catalog No.*:
Comments and Specifics(amount, formulation, etc.)*:
Validation code: Captchapackage Image


Can't read the image? click here to refresh.
    *required field

Your bulk quote request has been submitted successfully!

Please contact us if you have any questions.