• Tel: 858.663.9055
  • SeparatorEmail: info@nsjbio.com
  • Tel: 858.663.9055
  • Email: info@nsjbio.com
Home >> Antibodies >> NME3 Antibody / Nucleoside diphosphate kinase 3

NME3 Antibody / Nucleoside diphosphate kinase 3 (FY13311)

  Catalog No Formulation Size Price (USD)  
Image FY13311 Adding 0.2 ml of distilled water will yield a concentration of 500 ug/ml 100 ug 449
Bulk quote request
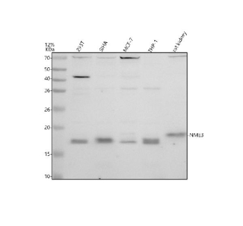
Western blot analysis of NME3 using anti-NME3 antibody. Electrophoresis was performed on a 12% SDS-PAGE gel at 80V (Stacking gel) / 120V (Resolving gel) for 2 hours. Lane 1: human 293T whole cell lysates, Lane 2: human SIHA whole cell lysates, Lane 3: human MCF-7 whole cell lysates, Lane 4: human THP-1 whole cell lysates, Lane 5: rat kidney tissue lysates. After electrophoresis, proteins were transferred to a nitrocellulose membrane at 150 mA for 50-90 minutes. Blocked the membrane with 5% non-fat milk/TBS for 1.5 hour at RT. The membrane was incubated with rabbit anti-NME3 antibody at 0.5 ug/ml overnight at 4oC, then washed with TBS-0.1%Tween 3 times with 5 minutes each and probed with a goat anti-rabbit IgG-HRP secondary antibody at a dilution of 1:5000 for 1.5 hour at RT. The signal was developed using an ECL Plus Western Blotting Substrate. A predominant band is detected at an approximately 17 kDa in human cell lines, slightly below the predicted ~19 kDa size and consistent with the processed mature form of NME3. SiHa and THP-1 lysates also show a weaker band near 18 kDa, likely representing a partially processed or differently modified NME3 species. Rat kidney displays a band close to 19 kDa, consistent with species specific differences in processing or migration.
Availability 1-2 days
Species Reactivity Human, Mouse, Rat
Format Lyophilized
Host Rabbit
Clonality Polyclonal (rabbit origin)
Isotype Rabbit IgG
Purity Immunogen affinity purified
Buffer Each vial contains 4 mg Trehalose, 0.9 mg NaCl, 0.2 mg Na2HPO4.
UniProt Q13232
Applications Western Blot : 0.25-0.5ug/ml
Limitations This NME3 antibody is available for research use only.
Review this product on BioCompare and get a $20 Amazon gift card

Description

NME3 antibody targets Nucleoside diphosphate kinase 3, a cytoplasmic and mitochondrial enzyme encoded by the NME3 gene on chromosome 16p13.3. NME3 belongs to the nucleoside diphosphate kinase (NDK/NME) family, a group of enzymes that catalyze the transfer of phosphate groups between nucleoside diphosphates and triphosphates, maintaining nucleotide balance within the cell. The protein localizes primarily to mitochondria and cytoplasm, where it contributes to nucleotide homeostasis, mitochondrial dynamics, and apoptosis regulation. As a multifunctional enzyme, NME3 participates in energy metabolism, signal transduction, and cytoskeletal regulation.

Structurally, NME3 shares the conserved alpha/beta fold and active-site histidine residue typical of NDK family members. It forms hexameric complexes that enhance catalytic efficiency and allow interactions with other mitochondrial proteins. Within the mitochondrial intermembrane space, NME3 supports the maintenance of mitochondrial membrane potential and participates in mitochondrial fusion by stabilizing outer membrane interactions. Its enzymatic activity is essential for balancing ATP and GTP pools used in DNA replication, RNA synthesis, and vesicular trafficking.

NME3 antibody detects a protein highly expressed in brain, heart, and skeletal muscle, tissues with high energy demand. The NME3 gene is transcriptionally regulated by p53 and stress-responsive transcription factors, linking it to cellular survival pathways. In response to oxidative stress, NME3 translocates to mitochondria, where it protects against depolarization and cell death. Studies indicate that NME3 associates with dynamin-related proteins such as OPA1 and MFN1, promoting mitochondrial fusion and network maintenance.

Clinically, mutations or loss of function in NME3 are associated with mitochondrial dysfunction, neurodegeneration, and disorders involving energy metabolism. Reduced expression has been linked to progressive external ophthalmoplegia and mitochondrial encephalopathy. Conversely, elevated NME3 levels have been observed in certain tumors, suggesting a role in proliferation and metastasis similar to other NME family members. Dysregulation of NME3 may disrupt nucleotide signaling, leading to altered DNA repair and genomic instability. Given its conserved catalytic mechanism, NME3 is often studied alongside NME1 and NME2 to define its distinct roles in nucleotide metabolism and cellular signaling.

From a structural and evolutionary perspective, NME3 belongs to the NDK domain-containing protein family, sharing high homology with other NME isoforms. The protein's dual localization reflects its metabolic versatility and integration into multiple cellular processes. Mitochondrial NME3 helps preserve energy transfer efficiency, while cytoplasmic NME3 contributes to vesicle transport and cytoskeletal remodeling.

Immunohistochemical staining using NME3 antibody shows strong mitochondrial and cytoplasmic localization in cardiac muscle, neurons, and epithelial cells. NME3 antibody from NSJ Bioreagents is a valuable reagent for research into mitochondrial biology, nucleotide metabolism, and disorders involving energy imbalance and oxidative stress.

Application Notes

Optimal dilution of the NME3 antibody should be determined by the researcher.

Immunogen

A synthetic peptide corresponding to a sequence in the middle region of human NME3 was used as the immunogen for the NME3 antibody.

Storage

After reconstitution, the NME3 antibody can be stored for up to one month at 4oC. For long-term, aliquot and store at -20oC. Avoid repeated freezing and thawing.

Cross
Bulk Quote Request Form
Name*:
Organization*:
Email*:
Phone Number*:
Catalog No.*:
Comments and Specifics(amount, formulation, etc.)*:
Validation code: Captchapackage Image


Can't read the image? click here to refresh.
    *required field

Your bulk quote request has been submitted successfully!

Please contact us if you have any questions.