• Tel: 858.663.9055
  • SeparatorEmail: info@nsjbio.com
  • Tel: 858.663.9055
  • Email: info@nsjbio.com
Home >> Antibodies >> NLE1 Antibody / Notchless protein homolog 1

NLE1 Antibody / Notchless protein homolog 1 (FY12416)

  Catalog No Formulation Size Price (USD)  
Image FY12416 Adding 0.2 ml of distilled water will yield a concentration of 500 ug/ml 100 ug 449
Bulk quote request
Flow Cytometry analysis of 293T cells using anti-NLE1 antibody. Overlay histogram showing 293T cells stained with (Blue line). To facilitate intracellular staining, cells were fixed with 4% paraformaldehyde and permeabilized with permeabilization buffer. The cells were blocked with 10% normal goat serum. And then incubated with rabbit anti-NLE1 antibody (1 ug/million cells) for 30 min at 20oC. DyLight 488 conjugated goat anti-rabbit IgG (5-10 ug/million cells) was used as secondary antibody for 30 minutes at 20oC. Isotype control antibody (Green line) was rabbit IgG (1 ug/million cells) used under the same conditions. Unlabelled sample without incubation with primary antibody and secondary antibody (Red line) was used as a blank control.
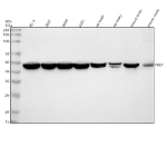
Western blot analysis of NLE1 using anti-NLE1 antibody. Lane 1: human PC-3 whole cell lysates, Lane 2: human 293T whole cell lysates, Lane 3: human whole cell lysates, Lane 4: human U251 whole cell lysates, Lane 5: rat brain tissue lysates, Lane 6: rat ovary tissue lysates, Lane 7: mouse brain tissue lysates, Lane 8: mouse ovary tissue lysates. After electrophoresis, proteins were transferred to a nitrocellulose membrane at 150 mA for 50-90 minutes. Blocked the membrane with 5% non-fat milk/TBS for 1.5 hour at RT. The membrane was incubated with rabbit anti-NLE1 antibody at 0.5 ug/ml overnight at 4oC, then washed with TBS-0.1%Tween 3 times with 5 minutes each and probed with a goat anti-rabbit IgG-HRP secondary antibody at a dilution of 1:5000 for 1.5 hour at RT. The signal was developed using enhanced chemiluminescent. NLE1 (~51 kDa predicted) was detected at ~45-48 kDa, occasionally as a doublet, consistent with the processed and phosphorylated forms reported in ribosome assembly studies.
Availability 1-2 days
Species Reactivity Human, Mouse, Rat
Format Lyophilized
Host Rabbit
Clonality Polyclonal (rabbit origin)
Isotype Rabbit IgG
Purity Immunogen affinity purified
Buffer Each vial contains 4 mg Trehalose, 0.9 mg NaCl, 0.2 mg Na2HPO4.
UniProt Q9NVX2
Applications Western Blot : 0.25-0.5ug/ml
Flow Cytometry : 1-3ug/million cells
ELISA : 0.1-0.5ug/ml
Limitations This NLE1 antibody is available for research use only.
Review this product on BioCompare and get a $20 Amazon gift card

Description

The NLE1 antibody targets Notchless protein homolog 1, a nucleolar assembly factor encoded by the NLE1 gene. Notchless protein homolog 1 is required for ribosome biogenesis, pre-60S subunit maturation, and proper cell-cycle progression. Originally identified for its genetic interaction with the Notch pathway, NLE1 participates in both ribosomal RNA processing and developmental signaling. The NLE1 antibody enables researchers to study nucleolar organization, protein-synthesis control, and cross-talk between growth and differentiation pathways.

Notchless protein homolog 1 contains WD-repeat motifs that facilitate interactions with nucleolar proteins involved in ribosome assembly, including NOP7 and RPF2. It promotes 60S subunit maturation by assisting in rRNA folding and ribosomal protein incorporation. The NLE1 antibody supports localization studies showing strong nucleolar enrichment, consistent with its essential role in ribosome production. Depletion of NLE1 results in defective ribosome biogenesis, p53 activation, and cell-cycle arrest.

During embryonic development, Notchless protein homolog 1 influences cell-fate determination through modulation of Notch receptor signaling. Loss of NLE1 disrupts somite segmentation and neurogenesis in animal models. The NLE1 antibody allows analysis of these regulatory interactions, helping delineate how nucleolar activity intersects with developmental gene networks. Its dual role in ribosome formation and signaling regulation underscores the integration of biosynthetic and morphogenetic processes.

In cancer research, altered ribosome biogenesis and nucleolar stress contribute to tumorigenesis. Notchless protein homolog 1 expression correlates with proliferative capacity, making it a useful marker for studies of nucleolar dynamics in malignant tissues. The NLE1 antibody supports evaluation of nucleolar size, rRNA synthesis rate, and ribosomal assembly integrity in cancer and stress-response models.

The NLE1 antibody performs effectively in western blotting, immunofluorescence, and immunohistochemistry, showing prominent nucleolar staining. NSJ Bioreagents provides this antibody as a validated, high-specificity reagent for ribosome biology, developmental genetics, and cancer research. By enabling detailed analysis of Notchless protein homolog 1, the NLE1 antibody advances understanding of ribosomal assembly pathways and their coordination with developmental and oncogenic signaling.

Application Notes

Optimal dilution of the NLE1 antibody should be determined by the researcher.

Immunogen

E.coli-derived human NLE1 recombinant protein (Position: M1-R385) was used as the immunogen for the NLE1 antibody.

Storage

After reconstitution, the NLE1 antibody can be stored for up to one month at 4oC. For long-term, aliquot and store at -20oC. Avoid repeated freezing and thawing.

Cross
Bulk Quote Request Form
Name*:
Organization*:
Email*:
Phone Number*:
Catalog No.*:
Comments and Specifics(amount, formulation, etc.)*:
Validation code: Captchapackage Image


Can't read the image? click here to refresh.
    *required field

Your bulk quote request has been submitted successfully!

Please contact us if you have any questions.