• Tel: 858.663.9055
  • SeparatorEmail: info@nsjbio.com
  • Tel: 858.663.9055
  • Email: info@nsjbio.com
Home >> Antibodies >> NKX3.1 Antibody

NKX3.1 Antibody [clone NKX3.1/4562R] (V9205)

  Catalog No Formulation Size Price (USD)  
Image V9205-100UG 0.2 mg/ml in 1X PBS with 0.1 mg/ml BSA (US sourced), 0.05% sodium azide 100 ug 559
Image
V9205-20UG 0.2 mg/ml in 1X PBS with 0.1 mg/ml BSA (US sourced), 0.05% sodium azide 20 ug 259
Image
V9205SAF-100UG 1 mg/ml in 1X PBS; BSA free, sodium azide free 100 ug 559
Microvalidated Recrabbitmono
Bulk quote request
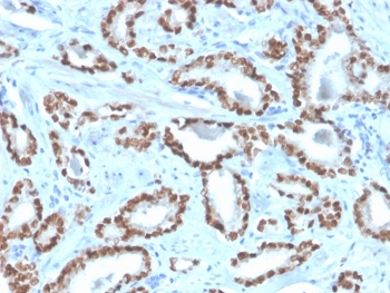
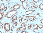
IHC staining of FFPE human prostate tissue with NKX3.1 antibody (clone NKX3.1/4562R). HIER: boil tissue sections in pH 9 10mM Tris with 1mM EDTA for 20 min and allow to cool before testing.
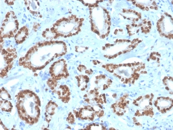
IHC staining of FFPE human prostate tissue with NKX3.1 antibody (clone NKX3.1/4562R). HIER: boil tissue sections in pH 9 10mM Tris with 1mM EDTA for 20 min and allow to cool before testing.
SDS-PAGE analysis of purified, BSA-free NKX3.1 antibody (NKX3.1/4562R) as confirmation of integrity and purity.
Availability 1-3 business days
Species Reactivity Human
Format Purified
Host Rabbit
Clonality Recombinant Rabbit Monoclonal
Isotype Rabbit IgG
Clone Name NKX3.1/4562R
Purity Protein A/G affinity
UniProt Q99801
Localization Nuclear
Applications ELISA (For Coating Order BSA-free Format) :
Immunohistochemistry (FFPE) : 1-2ug/ml
Limitations This NKX3.1 antibody is available for research use only.
Review this product on BioCompare and get a $20 Amazon gift card

Related Products

Description

NKX3.1 is a prostate specific gene encoding a transcription factor that plays an important role in normal prostate development and carcinogenesis.

Application Notes

Optimal dilution of the NKX3.1 antibody should be determined by the researcher.

Immunogen

A portion of amino acids 92-224 was used as the immunogen for the NKX3.1 antibody.

Storage

Aliquot the NKX3.1 antibody and store frozen at -20oC or colder. Avoid repeated freeze-thaw cycles.

Cross
Bulk Quote Request Form
Name*:
Organization*:
Email*:
Phone Number*:
Catalog No.*:
Comments and Specifics(amount, formulation, etc.)*:
Validation code: Captchapackage Image


Can't read the image? click here to refresh.
    *required field

Your bulk quote request has been submitted successfully!

Please contact us if you have any questions.