• Tel: 858.663.9055
  • SeparatorEmail: info@nsjbio.com
  • Tel: 858.663.9055
  • Email: info@nsjbio.com
Home >> Antibodies >> NKX2.5 Antibody

NKX2.5 Antibody (RQ7290)

  Catalog No Formulation Size Price (USD)  
Image RQ7290 0.5mg/ml if reconstituted with 0.2ml sterile DI water 100 ug 449
Bulk quote request
Immunofluorescent staining of FFPE human SiHa cells with NKX2.5 antibody (green) and DAPI nuclear stain (blue). HIER: steam section in pH6 citrate buffer for 20 min.
Flow cytometry testing of fixed and permeabilized human 293T cells with NKX2.5 antibody at 1ug/million cells (blocked with goat sera); Red=cells alone, Green=isotype control, Blue= NKX2.5 antibody.
Western blot testing of human 1) U-2 OS, 2) U-251 and 3) SiHa cell lysate with NKX2.5 antibody. Predicted molecular weight ~35 kDa, routinely observed at 35~45 kDa.
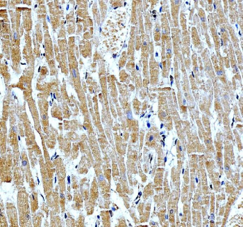
IHC staining of FFPE human heart tissue with NKX2.5 antibody, HRP-secondary and DAB substrate. HIER: boil tissue sections in pH8 EDTA for 20 min and allow to cool before testing.
Availability 1-3 business days
Species Reactivity Human
Format Antigen affinity purified
Host Rabbit
Clonality Polyclonal (rabbit origin)
Isotype Rabbit IgG
Purity Antigen affinity purified
Buffer Lyophilized from 1X PBS with 2% Trehalose
UniProt P52952
Localization Nuclear, cytoplasmic
Applications Western Blot : 0.5-1ug/ml
Immunofluorescence : 5ug/ml
Flow Cytometry : 1-3ug/million cells
Direct ELISA : 0.1-0.5ug/ml
Immunohistochemistry (FFPE) : 2-5ug/ml
Limitations This NKX2.5 antibody is available for research use only.
Review this product on BioCompare and get a $20 Amazon gift card

Related Products

  • Applications : WB
    Reactivity : Human, Mouse
  • Applications : WB, ELISA
    Reactivity : Human, Mouse
  • Applications : WB, ELISA
    Reactivity : Mouse, Rat
  • Applications : WB, ELISA
    Reactivity : Mouse
    Pred. Reactivity : Rat
  • Applications : WB, IHC-P, ELISA (peptide)
    Reactivity : Human, Mouse
  • Applications : WB, ELISA
    Reactivity : Mouse

Description

NKX2.5 (NK2 homeobox 5) is a cardiac-specific transcription factor that plays a central role in heart development and function. It belongs to the NK2 family of homeobox genes and encodes a protein containing a homeodomain that binds DNA to regulate target gene expression. NKX2.5 is essential for the early specification of cardiac progenitor cells and continues to regulate structural and functional genes throughout cardiac maturation. Researchers frequently use an NKX2.5 antibody to study cardiac development, congenital heart disease, and transcriptional regulation in the cardiovascular system.

Mutations in NKX2.5 have been linked to a variety of congenital heart defects, including atrial septal defects and conduction abnormalities. These mutations often impair DNA binding or transcriptional activity, leading to abnormal cardiac morphogenesis and long-term complications. Employing an NKX2.5 antibody allows scientists to investigate protein expression patterns in embryonic and adult heart tissue, providing insight into its regulatory functions.

Beyond its developmental role, NKX2.5 is also studied in adult cardiomyocytes, where it contributes to maintaining normal conduction and cardiac contractility. Dysregulation of NKX2.5 has been implicated in arrhythmias and acquired cardiac disease, making it a critical marker in both basic and translational research. An NKX2.5 antibody is therefore a valuable tool in developmental biology, disease modeling, and regenerative medicine studies aimed at understanding heart formation and repair.

NSJ Bioreagents offers a high-quality NKX2.5 antibody validated for applications such as immunohistochemistry, western blot, and immunofluorescence. By selecting an NKX2.5 antibody from NSJ Bioreagents, researchers can ensure accurate detection and reproducible results in cardiac development and disease research.

Application Notes

Optimal dilution of the NKX2.5 antibody should be determined by the researcher.

Immunogen

Recombinant human protein (amino acids K15-R132) was used as the immunogen for the NKX2.5 antibody.

Storage

After reconstitution, the NKX2.5 antibody can be stored for up to one month at 4oC. For long-term, aliquot and store at -20oC. Avoid repeated freezing and thawing.

Cross
Bulk Quote Request Form
Name*:
Organization*:
Email*:
Phone Number*:
Catalog No.*:
Comments and Specifics(amount, formulation, etc.)*:
Validation code: Captchapackage Image


Can't read the image? click here to refresh.
    *required field

Your bulk quote request has been submitted successfully!

Please contact us if you have any questions.