• Tel: 858.663.9055
  • SeparatorEmail: info@nsjbio.com
  • Tel: 858.663.9055
  • Email: info@nsjbio.com
Home >> Antibodies >> NKX2.5 Antibody

NKX2.5 Antibody (R35130)

  Catalog No Formulation Size Price (USD)  
Image R35130-100UG 0.5 mg/ml in 1X TBS, pH7.3, with 0.5% BSA (US sourced) and 0.02% sodium azide 100 ug 475
Bulk quote request
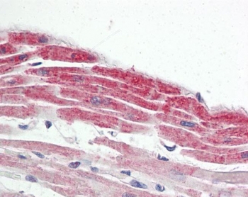
IHC testing of FFPE human heart tissue with NKX2.5 antibody (left) and without NKX2.5 antibody (right). Required HIER: steamed antigen retrieval with pH6 citrate buffer; AP-staining.
Western blot testing of mouse heart tissue lysate with NKX2.5 antibody at 1ug/ml. Predicted molecular weight ~35 kDa, routinely observed at 35~45 kDa.
Availability 1-3 business days
Species Reactivity Human, Mouse
Format Antigen affinity purified
Host Goat
Clonality Polyclonal (goat origin)
Isotype Goat Ig
Purity Antigen affinity
Gene ID 1482
Localization Nuclear, cytoplasmic
Applications Western Blot : 1-3ug/ml
Immunohistochemistry (FFPE) : 5-6ug/ml
ELISA (peptide) LOD : 1:32000
Limitations This NKX2.5 antibody is available for research use only.
Review this product on BioCompare and get a $20 Amazon gift card

Related Products

  • Applications : WB
    Reactivity : Human, Mouse
  • Applications : WB, ELISA
    Reactivity : Human, Mouse
  • Applications : WB, ELISA
    Reactivity : Mouse, Rat
  • Applications : WB, ELISA
    Reactivity : Mouse
    Pred. Reactivity : Rat
  • Applications : WB, ELISA
    Reactivity : Mouse
  • Applications : WB, IF, FACS, IHC-P, Direct ELISA
    Reactivity : Human

Description

Additional name(s) for this target protein: NK2 transcription factor related locus 5, CSX1

Application Notes

Optimal dilution of the NKX2.5 antibody should be determined by the researcher.

Immunogen

Amino acids PRAYSDPDPAKDPR were used as the immunogen for this NKX2.5 antibody.

Storage

Aliquot and store the NKX2.5 antibody at -20oC.

Cross
Bulk Quote Request Form
Name*:
Organization*:
Email*:
Phone Number*:
Catalog No.*:
Comments and Specifics(amount, formulation, etc.)*:
Validation code: Captchapackage Image


Can't read the image? click here to refresh.
    *required field

Your bulk quote request has been submitted successfully!

Please contact us if you have any questions.