• Tel: 858.663.9055
  • SeparatorEmail: info@nsjbio.com
  • Tel: 858.663.9055
  • Email: info@nsjbio.com
Home >> Antibodies >> NKX2.2 Antibody

NKX2.2 Antibody [clone NX2/294] (V2214)

  Catalog No Formulation Size Price (USD)  
Image V2214-100UG 0.2 mg/ml in 1X PBS with 0.1 mg/ml BSA (US sourced) and 0.05% sodium azide 100 ug 559
Image
V2214-20UG 0.2 mg/ml in 1X PBS with 0.1 mg/ml BSA (US sourced) and 0.05% sodium azide 20 ug 259
Image
V2214SAF-100UG 1 mg/ml in 1X PBS; BSA free, sodium azide free 100 ug 559
Image
V2214IHC-7ML Prediluted in 1X PBS with 0.1 mg/ml BSA (US sourced) and 0.05% sodium azide; *For IHC use only* 7 ml 559
Bulk quote request
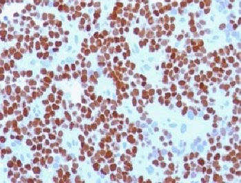
IHC staining of FFPE Ewing's sarcoma with NKX2.2 antibody (clone NX2/294).
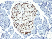
IHC staining of FFPE human pancreas with NKX2.2 antibody (clone NX2/294).
IHC testing of FFPE rat pancreas with NKX2.2 antibody (clone NX2/294).
Species Reactivity Human, Rat
Format Purified
Host Mouse
Clonality Monoclonal (mouse origin)
Isotype Mouse IgG2b, kappa
Clone Name NX2/294
Purity Protein G affinity chromatography
Buffer 1X PBS, pH 7.4
Gene ID 4821
Localization Nuclear
Applications Immunohistochemistry (FFPE) : 1-2ug/ml for 30 min at RT
Limitations This NKX2.2 antibody is available for research use only.
Review this product on BioCompare and get a $20 Amazon gift card

Related Products

Description

NKX2.2 antibody clone NX2/294 is a monoclonal antibody specific for NKX2.2, a homeobox transcription factor essential for neural and pancreatic development. NKX2.2 is expressed in oligodendrocyte precursor cells and in pancreatic islet cells, where it regulates differentiation and lineage commitment. Its critical roles in both nervous system and endocrine development make it an important target in developmental biology and disease research. NSJ Bioreagents provides NKX2.2 antibody clone NX2/294 for laboratories investigating neural lineage specification, myelination, and pancreatic biology.

In the central nervous system, NKX2.2 antibody clone NX2/294 is used to study oligodendrocyte differentiation and myelin formation. NKX2.2 expression is required for the progression of progenitor cells into mature, myelinating oligodendrocytes. Detection with this antibody allows researchers to map stages of oligodendrocyte development and investigate disorders where myelination is impaired, such as multiple sclerosis and leukodystrophies.

In pancreatic biology, NKX2.2 antibody clone NX2/294 highlights islet cells, particularly beta cells, where NKX2.2 regulates insulin gene expression and endocrine cell development. Research on diabetes and metabolic disorders frequently relies on this antibody to assess NKX2.2 expression and its role in maintaining islet function. Studies have shown that NKX2.2 disruption can impair insulin production and alter glucose metabolism, emphasizing its importance as a regulatory factor.

NKX2.2 antibody clone NX2/294 has also been used in developmental biology to explore how transcription factors control regional patterning of the spinal cord and brain. NKX2.2 expression helps establish ventral neural identity and is part of a network of transcription factors guiding neural tube development. This antibody enables detailed analysis of embryonic tissues, advancing understanding of how gene regulation shapes organogenesis.

In disease research, clone NX2/294 has applications in neurodevelopmental and pancreatic disorders, where NKX2.2 misregulation contributes to pathology. Its detection supports studies into the molecular mechanisms underlying both congenital and acquired diseases.

Validated across tissue and cell based studies, NKX2.2 antibody clone NX2/294 provides clear nuclear staining consistent with its role as a transcription factor. It has been cited in numerous developmental and disease oriented publications. Alternate names include homeobox protein NKX2.2 antibody, transcription factor NKX2.2 antibody, and oligodendrocyte lineage regulator NKX2.2 antibody.

Application Notes

The concentration stated for each application is a general starting point. Variations in protocols, secondaries and substrates may require the NKX2.2 antibody to be titered up or down for optimal performance.

1. Staining of formalin-fixed tissues requires boiling tissue sections in pH 9 10mM Tris with 1mM EDTA for 10-20 min followed by cooling at RT for 20 minutes.
2. The prediluted format is supplied in a dropper bottle and is optimized for use in IHC. After epitope retrieval step (if required), drip mAb solution onto the tissue section and incubate at RT for 30 min.

Immunogen

Human NKX2.2 recombinant protein was used as the immunogen for this antibody.

Storage

Store the NKX2.2 antibody at 2-8oC (with azide) or aliquot and store at -20oC or colder (without azide).

Cross
Bulk Quote Request Form
Name*:
Organization*:
Email*:
Phone Number*:
Catalog No.*:
Comments and Specifics(amount, formulation, etc.)*:
Validation code: Captchapackage Image


Can't read the image? click here to refresh.
    *required field

Your bulk quote request has been submitted successfully!

Please contact us if you have any questions.