• Tel: 858.663.9055
  • SeparatorEmail: info@nsjbio.com
  • Tel: 858.663.9055
  • Email: info@nsjbio.com
Home >> Antibodies >> NKX2.1 Antibody for IHC / NKX2.1 Immunohistochemistry Antibody

NKX2.1 Antibody for IHC / NKX2.1 Immunohistochemistry Antibody [clone TTF1/8123R] (V4346)

  Catalog No Formulation Size Price (USD)  
Image V4346-100UG 0.2 mg/ml in 1X PBS with 0.1 mg/ml BSA (US sourced), 0.05% sodium azide 100 ug 559
Image
V4346-20UG 0.2 mg/ml in 1X PBS with 0.1 mg/ml BSA (US sourced), 0.05% sodium azide 20 ug 259
Image
V4346SAF-100UG 1 mg/ml in 1X PBS; BSA free, sodium azide free 100 ug 559
Microvalidated Recrabbitmono
Bulk quote request
NKX2.1 Antibody for IHC / NKX2.1 Immunohistochemistry Antibody (clone TTF1/8123R) immunohistochemistry analysis of human lung adenocarcinoma tissue. Formalin-fixed, paraffin-embedded human lung adenocarcinoma stained with recombinant rabbit monoclonal clone TTF1/8123R antibody shows strong nuclear staining in malignant epithelial cells, consistent with the nuclear localization of Thyroid transcription factor 1 (NKX2-1). The nuclear immunoreactivity observed in tumor epithelial cells highlights NKX2-1 expression in lung adenocarcinoma detected by immunohistochemistry in FFPE tissue sections. HIER: boil tissue sections in pH 9 10mM Tris with 1mM EDTA for 20 min and allow to cool before testing.
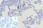
NKX2.1 Antibody for IHC / NKX2.1 Immunohistochemistry Antibody (clone TTF1/8123R) immunohistochemistry analysis of human lung tissue. Formalin-fixed, paraffin-embedded human lung tissue stained with recombinant rabbit monoclonal clone TTF1/8123R antibody demonstrates nuclear staining in pulmonary epithelial cells within alveolar structures, consistent with the nuclear localization of Thyroid transcription factor 1 (NKX2-1). The nuclear immunoreactivity highlights NKX2-1 expression in respiratory epithelial cells detected by immunohistochemistry in FFPE lung tissue sections. Inset: PBS used in place of primary antibody (secondary antibody negative control). HIER: boil tissue sections in pH 9 10mM Tris with 1mM EDTA for 20 min and allow to cool before testing.
Availability 1-3 business days
Species Reactivity Human
Format Purified
Host Rabbit
Clonality Recombinant Rabbit Monoclonal
Isotype Rabbit IgG, kappa
Clone Name TTF1/8123R
Purity Protein A/G affinity
UniProt P43699
Localization Nucleus
Applications Immunohistochemistry (FFPE) : 1-2ug/ml for 30 minutes at RT
Limitations This NKX2.1 antibody is available for research use only.
Review this product on BioCompare and get a $20 Amazon gift card

Related Products

Description

Thyroid transcription factor 1 (NKX2-1) is a nuclear homeobox transcription factor that regulates gene expression in epithelial tissues during development and cellular differentiation. NKX2.1 antibody, also known as TTF-1 antibody or Thyroid transcription factor 1 antibody, recognizes a transcription factor localized to the nucleus of specific epithelial cell populations. The NKX2.1 Antibody for IHC / NKX2.1 Immunohistochemistry Antibody (clone TTF1/8123R) is a recombinant rabbit monoclonal antibody developed for immunohistochemical detection of NKX2-1 in formalin-fixed, paraffin-embedded tissues, enabling clear visualization of nuclear NKX2-1 protein expression in histologic tissue sections.

Immunohistochemistry detection of NKX2-1 allows researchers and pathologists to evaluate nuclear transcription factor expression directly within tissue architecture. Because NKX2-1 functions as a nuclear transcription factor, immunohistochemistry staining typically produces a distinct nuclear staining pattern within positive cells. This nuclear localization is a key characteristic of NKX2-1 immunohistochemistry and provides a clear visual marker when examining FFPE tissue sections using brightfield microscopy.

NKX2-1 immunohistochemistry is widely used in histologic and diagnostic tissue analysis. Antibodies directed against NKX2-1 enable visualization of nuclear transcription factor expression patterns within epithelial tissues and tumors. In immunohistochemistry assays, nuclear NKX2-1 staining can be evaluated within the context of tissue morphology, allowing assessment of protein expression directly within specific cell populations and histologic structures.

Large-scale human tissue microarray (TMA) immunohistochemistry studies further illustrate the tissue distribution of NKX2-1 protein expression. Across extensive normal tissue microarray panels containing numerous human organs, NKX2-1 immunohistochemistry staining demonstrates selective nuclear labeling in specific epithelial tissues while most other tissues remain negative. These tissue microarray findings highlight the tissue-specific expression pattern of NKX2-1 and demonstrate the usefulness of immunohistochemistry staining for evaluating NKX2-1 distribution across diverse human tissues.

Cancer tissue microarray (TMA) immunohistochemistry analyses similarly demonstrate nuclear NKX2-1 staining in tumor tissues derived from NKX2-1 expressing epithelial cell types. The ability to visualize nuclear transcription factor expression within tumor cells provides important information about cellular differentiation and tumor classification when evaluating tissue specimens by immunohistochemistry.

The recombinant rabbit monoclonal clone TTF1/8123R antibody provides consistent nuclear staining of NKX2-1 when used for immunohistochemistry analysis of FFPE tissue sections. Recombinant rabbit monoclonal antibody technology supports strong antigen recognition and reproducible staining performance in immunohistochemistry assays. Because NKX2-1 localizes to the nucleus, immunohistochemistry staining with NKX2.1 Antibody for IHC / NKX2.1 Immunohistochemistry Antibody typically produces a clear nuclear signal that allows reliable identification of NKX2-1 positive cells in histologic tissue specimens.

Application Notes

Optimal dilution of the NKX2.1 Antibody for IHC / NKX2.1 Immunohistochemistry Antibody should be determined by the researcher.

Immunogen

A recombinant partial protein sequence (within amino acids 1-400) from the human protein was used as the immunogen for the NKX2.1 antibody.

Storage

Aliquot the NKX2.1 antibody and store frozen at -20oC or colder. Avoid repeated freeze-thaw cycles.

Alternate Names

Thyroid transcription factor 1 antibody, TTF-1 antibody, NKX2-1 pulmonary epithelial marker antibody, Lung epithelial lineage marker antibody, Alveolar epithelial cell marker antibody

Cross
Bulk Quote Request Form
Name*:
Organization*:
Email*:
Phone Number*:
Catalog No.*:
Comments and Specifics(amount, formulation, etc.)*:
Validation code: Captchapackage Image


Can't read the image? click here to refresh.
    *required field

Your bulk quote request has been submitted successfully!

Please contact us if you have any questions.