• Tel: 858.663.9055
  • SeparatorEmail: info@nsjbio.com
  • Tel: 858.663.9055
  • Email: info@nsjbio.com
Home >> Antibodies >> NKX2.1 Antibody / Lung Epithelial Cell Marker Antibody

NKX2.1 Antibody / Lung Epithelial Cell Marker Antibody [clone SPM150] (V9087)

  Catalog No Formulation Size Price (USD)  
Image V9087-100UG 0.2 mg/ml in 1X PBS with 0.1 mg/ml BSA (US sourced) and 0.05% sodium azide 100 ug 559
Image
V9087-20UG 0.2 mg/ml in 1X PBS with 0.1 mg/ml BSA (US sourced) and 0.05% sodium azide 20 ug 259
Image
V9087SAF-100UG 1 mg/ml in 1X PBS; BSA free, sodium azide free 100 ug 559
Image
V9087IHC-7ML Prediluted in 1X PBS with 0.1 mg/ml BSA (US sourced) and 0.05% sodium azide; *For IHC use only* 7 ml 559
Bulk quote request
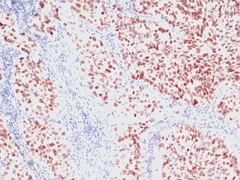
NKX2.1 Antibody / Lung Epithelial Cell Marker Antibody (clone SPM150). Immunohistochemistry analysis of human lung carcinoma tissue. FFPE human lung carcinoma sections demonstrate strong HRP-DAB brown nuclear staining in tumor epithelial cells, consistent with expression of the NKX2.1 lung epithelial lineage transcription factor. Positive tumor cell nuclei are distributed throughout the carcinoma cell population, reflecting the role of NKX2.1 as a marker of pulmonary epithelial differentiation and respiratory epithelial lineage identity. Surrounding stromal elements and non-epithelial cells show minimal staining. Nuclear hematoxylin counterstain is visible in blue, highlighting the nuclear localization pattern expected for this lung epithelial transcription factor marker.
Availability 1-3 business days
Species Reactivity Human
Format Purified
Host Mouse
Clonality Monoclonal (mouse origin)
Isotype Mouse IgG1, kappa
Clone Name SPM150
Purity Protein G affinity chromatography
UniProt P43699
Localization Nuclear
Applications Immunohistochemistry (FFPE) : 1-2ug/ml for 30 min at RT
Limitations This NKX2.1 antibody is available for research use only.
Review this product on BioCompare and get a $20 Amazon gift card

Related Products

Description

NKX2.1 (NK2 homeobox 1) is a homeobox transcription factor that functions as a master regulator of pulmonary epithelial differentiation and respiratory epithelial lineage specification. NKX2.1 Antibody / Lung Epithelial Cell Marker Antibody (clone SPM150) recognizes this transcription factor, which is widely used as a marker of lung epithelial cell identity in studies of pulmonary tissue biology. NKX2.1 is also commonly referred to as Thyroid transcription factor 1 (TTF-1), and NKX2.1 antibody reagents are frequently used to identify epithelial cells of the respiratory epithelium.

During lung development and in the mature respiratory system, NKX2.1 acts as a lung lineage transcription factor controlling gene expression programs required for epithelial differentiation within the pulmonary epithelium. Expression of NKX2.1 is detected in epithelial cells lining the respiratory tract where it regulates transcriptional networks involved in pulmonary epithelial maturation, surfactant production, and maintenance of respiratory epithelial identity. Because NKX2.1 expression is tightly associated with lung epithelial lineage specification, NKX2.1 antibody reagents are widely used to study respiratory epithelium and pulmonary epithelial cell differentiation.

Within the distal lung, NKX2.1 expression is particularly enriched in alveolar type II cells, a specialized population of epithelial cells responsible for production and secretion of pulmonary surfactant. These cells play an essential role in maintaining alveolar stability and supporting normal respiratory function. Detection of NKX2.1 protein therefore provides a reliable approach for identifying alveolar epithelial cells and studying transcriptional programs governing pulmonary epithelial differentiation.

Because NKX2.1 expression is closely linked to pulmonary epithelial lineage identity, NKX2.1 antibody tools are widely used in research examining respiratory epithelium, lung epithelial cell biology, and alveolar epithelial differentiation. Detection of NKX2.1 protein allows investigators to identify epithelial cells of the respiratory tract and investigate molecular mechanisms controlling lung epithelial lineage specification. As a result, NKX2.1 antibody reagents serve as valuable tools for studying pulmonary epithelial differentiation and transcriptional regulation within respiratory epithelium.

Application Notes

The optimal dilution of the NKX2.1 Antibody / Lung Epithelial Cell Marker Antibody for each application should be determined by the researcher.

1. Staining of formalin-fixed tissues requires boiling tissue sections in pH 9 10mM Tris with 1mM EDTA for 10-20 min followed by cooling at RT for 20 minutes.
2. The prediluted format is supplied in a dropper bottle and is optimized for use in IHC. After epitope retrieval step (if required), drip mAb solution onto the tissue section and incubate at RT for 30 min.

Immunogen

Full length rat recombinant protein was used as the immunogen for this NKX2.1 Antibody / Lung Epithelial Cell Marker Antibody.

Storage

Store the NKX2.1 antibody at 2-8oC (with azide) or aliquot and store at -20oC or colder (without azide).

Alternate Names

TTF-1 antibody, Thyroid transcription factor 1 antibody, NKX2.1 transcription factor antibody, Pulmonary epithelial marker antibody

Cross
Bulk Quote Request Form
Name*:
Organization*:
Email*:
Phone Number*:
Catalog No.*:
Comments and Specifics(amount, formulation, etc.)*:
Validation code: Captchapackage Image


Can't read the image? click here to refresh.
    *required field

Your bulk quote request has been submitted successfully!

Please contact us if you have any questions.