• Tel: 858.663.9055
  • SeparatorEmail: info@nsjbio.com
  • Tel: 858.663.9055
  • Email: info@nsjbio.com
Home >> Antibodies >> NKX2.1 Antibody / TTF-1

NKX2.1 Antibody / TTF-1 [clone NX2.1/9031] (V5550)

  Catalog No Formulation Size Price (USD)  
Image V5550-100UG 0.2 mg/ml in 1X PBS with 0.1 mg/ml BSA (US sourced), 0.05% sodium azide 100 ug 559
Image
V5550-20UG 0.2 mg/ml in 1X PBS with 0.1 mg/ml BSA (US sourced), 0.05% sodium azide 20 ug 259
Image
V5550SAF-100UG 1 mg/ml in 1X PBS; BSA free, sodium azide free 100 ug 559
Bulk quote request
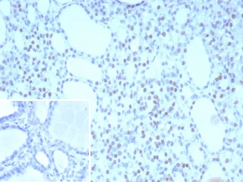
IHC staining of FFPE human thyroid tissue with NKX2.1 antibody (clone NX2.1/9031). Inset: PBS used in place of primary Ab (secondary Ab negative control). HIER: boil tissue sections in pH 9 10mM Tris with 1mM EDTA for 20 min and allow to cool before testing.
SDS-PAGE analysis of purified, BSA-free NKX2.1 antibody (clone NX2.1/9031) as confirmation of integrity and purity.
Availability 1-3 business days
Species Reactivity Human
Format Purified
Host Mouse
Clonality Monoclonal (mouse origin)
Isotype Mouse IgG2a, kappa
Clone Name NX2.1/9031
Purity Protein A/G affinity
UniProt P43699
Localization Nucleus
Applications Immunohistochemistry (FFPE) : 1-2ug/ml
Limitations This NKX2.1 antibody is available for research use only.
Review this product on BioCompare and get a $20 Amazon gift card

Related Products

Description

Recognizes a protein of 40kDa, identified as Homeobox protein Nkx-2.1, also called Thyroid transcription factor-1 (TTF-1). NKX2.1 is a member of the NKx2 family of homeodomain transcription factors. It is expressed in epithelial cells of the thyroid gland and the lung. Nuclei from liver, stomach, pancreas, small intestine, colon, kidney, breast, skin, testes, pituitary, prostate, and adrenal glands are unreactive. Anti-NKX2.1 is useful in differentiating primary adenocarcinoma of the lung from metastatic carcinomas originating in the breast, mediastinal germ cell tumors, and malignant mesothelioma. It can also be used to differentiate small cell lung carcinoma from lymphoid infiltrates. Loss of expression in non-small cell lung carcinoma has been associated with aggressive behavior of such neoplasms. NKX2.1/TTF-1 reactivity is also seen in thyroid malignancies.

Application Notes

Optimal dilution of the NKX2.1 antibody should be determined by the researcher.

Immunogen

A recombinant fragment (within amino acids 1-200) of human TTF-1 protein was used as the immunogen for the NKX2.1 antibody.

Storage

Aliquot the NKX2.1 antibody and store frozen at -20oC or colder. Avoid repeated freeze-thaw cycles.

Cross
Bulk Quote Request Form
Name*:
Organization*:
Email*:
Phone Number*:
Catalog No.*:
Comments and Specifics(amount, formulation, etc.)*:
Validation code: Captchapackage Image


Can't read the image? click here to refresh.
    *required field

Your bulk quote request has been submitted successfully!

Please contact us if you have any questions.