- Tel: 858.663.9055
- 
									 Email: info@nsjbio.com Email: info@nsjbio.com
- Tel: 858.663.9055
- Email: info@nsjbio.com
 Email: info@nsjbio.com
Email: info@nsjbio.com
								Related Products
| 
 | 
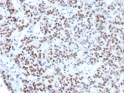
Recognizes a protein of 40kDa, identified as Thyroid transcription factor-1 (TTF-1) and Homeobox protein Nkx-2.1. NKX2.1 is a member of the NKx2 family of homeodomain transcription factors. It is expressed in epithelial cells of the thyroid gland and the lung. Nuclei from liver, stomach, pancreas, small intestine, colon, kidney, breast, skin, testes, pituitary, prostate, and adrenal glands are unreactive. Anti-NKX2.1 is useful in differentiating primary adenocarcinoma of the lung from metastatic carcinomas originating in the breast, mediastinal germ cell tumors, and malignant mesothelioma. It can also be used to differentiate small cell lung carcinoma from lymphoid infiltrates. Loss of NKX2.1 expression in non-small cell lung carcinoma has been associated with aggressive behavior of such neoplasms. NKX2.1 reactivity is also seen in thyroid malignancies.
Optimal dilution of the NKX2.1 antibody should be determined by the researcher.
A portion of amino acids 1-200 from human TTF-1 protein was used as the immunogen for the NKX2.1 antibody.
Aliquot the NKX2.1 antibody and store frozen at -20oC or colder. Avoid repeated freeze-thaw cycles.
 
Your bulk quote request has been submitted successfully!
Please contact us if you have any questions.