• Tel: 858.663.9055
  • SeparatorEmail: info@nsjbio.com
  • Tel: 858.663.9055
  • Email: info@nsjbio.com
Home >> Antibodies >> NKR1 Antibody / Neurokinin 1 Receptor / TACR1

NKR1 Antibody / Neurokinin 1 Receptor / TACR1 [clone AFBH-20] (FY12839)

  Catalog No Formulation Size Price (USD)  
Image FY12839 Rabbit IgG in phosphate buffered saline, pH 7.4, 150mM NaCl, 0.02% sodium azide and 50% glycerol, 0.4-0.5mg/ml BSA 100 ul 449
Microvalidated Recrabbitmono
Bulk quote request
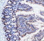
Immunohistochemical staining of Neurokinin 1 Receptor using anti-NKR1 antibody. Neurokinin 1 Receptor was detected in a paraffin-embedded section of mouse colon tissue. Heat mediated antigen retrieval was performed in EDTA buffer (pH 8.0, epitope retrieval solution). The tissue section was blocked with 10% goat serum. The tissue section was then incubated with 1:50 rabbit anti-NKR1 antibody overnight at 4oC. Peroxidase Conjugated Goat Anti-rabbit IgG was used as secondary antibody and incubated for 30 minutes at 37oC. The tissue section was developed using an HRP secondary and DAB substrate.
Western blot analysis of Neurokinin 1 Receptor using anti-NKR1 antibody. Lane 1: human Raji whole cell lysates, Lane 2: human K562 whole cell lysates, Lane 3: human MOLT-4 whole cell lysates, Lane 4: rat spleen tissue lysates, Lane 5: mouse kidney tissue lysates, Lane 6: mouse spleen tissue lysates. After electrophoresis, proteins were transferred to a nitrocellulose membrane at 150 mA for 50-90 minutes. Blocked the membrane with 5% non-fat milk/TBS for 1.5 hour at RT. The membrane was incubated with rabbit anti-NKR1 antibody at 1:1000 overnight at 4oC, then washed with TBS-0.1%Tween 3 times with 5 minutes each and probed with a goat anti-rabbit IgG-HRP secondary antibody at a dilution of 1:5000 for 1.5 hour at RT. The signal was developed using enhanced chemiluminescent. The expected molecular weight of Neurokinin 1 Receptor is at 46 kDa.
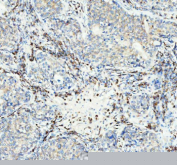
Immunohistochemical staining of Neurokinin 1 Receptor using anti-NKR1 antibody. Neurokinin 1 Receptor was detected in a paraffin-embedded section of human lung cancer tissue. Heat mediated antigen retrieval was performed in EDTA buffer (pH 8.0, epitope retrieval solution). The tissue section was blocked with 10% goat serum. The tissue section was then incubated with 1:50 rabbit anti-NKR1 antibody overnight at 4oC. Peroxidase Conjugated Goat Anti-rabbit IgG was used as secondary antibody and incubated for 30 minutes at 37oC. The tissue section was developed using an HRP secondary and DAB substrate.
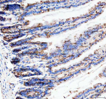
Immunohistochemical staining of Neurokinin 1 Receptor using anti-NKR1 antibody. Neurokinin 1 Receptor was detected in a paraffin-embedded section of rat colon tissue. Heat mediated antigen retrieval was performed in EDTA buffer (pH 8.0, epitope retrieval solution). The tissue section was blocked with 10% goat serum. The tissue section was then incubated with 1:50 rabbit anti-NKR1 antibody overnight at 4oC. Peroxidase Conjugated Goat Anti-rabbit IgG was used as secondary antibody and incubated for 30 minutes at 37oC. The tissue section was developed using an HRP secondary and DAB substrate.
Availability 2-3 weeks
Species Reactivity Human, Mouse, Rat
Format Liquid
Host Rabbit
Clonality Recombinant Rabbit Monoclonal
Isotype Rabbit IgG
Clone Name AFBH-20
Purity Affinity-chromatography
Buffer Rabbit IgG in phosphate buffered saline, pH 7.4, 150mM NaCl, 0.02% sodium azide and 50% glycerol, 0.4-0.5mg/ml BSA.
UniProt P25103
Localization Cytoplasm, cell membrane
Applications Immunoprecipitation : 2-4ug/500ug of lysate
Immunohistochemistry : 2-5ug/ml
Western Blot : 0.25-0.5ug/ml
Limitations This NKR1 antibody is available for research use only.
Review this product on BioCompare and get a $20 Amazon gift card

Description

NKR1 antibody detects Neurokinin 1 receptor, a G protein-coupled receptor (GPCR) encoded by the TACR1 gene on chromosome 2p12 that mediates the biological effects of the neuropeptide Substance P. This receptor plays a central role in neurotransmission, pain perception, inflammation, and stress responses. Neurokinin 1 receptor belongs to the tachykinin receptor family, characterized by seven transmembrane helices, extracellular ligand-binding loops, and cytoplasmic regions that couple to G proteins for intracellular signaling.

Binding of Substance P to the Neurokinin 1 receptor triggers activation of phospholipase C (PLC), leading to inositol trisphosphate (IP3) production, calcium release, and activation of protein kinase C (PKC). Downstream pathways include MAPK, ERK, and NF-kB signaling cascades that regulate neuronal excitability, cytokine production, and vascular permeability. This receptor is broadly expressed in the central nervous system-particularly in pain-processing regions such as the dorsal horn of the spinal cord-and in peripheral tissues including smooth muscle, endothelial cells, and immune cells.

The NKR1 antibody is widely used in neuroscience, pharmacology, and inflammation research to study Substance P signaling, pain transmission, and GPCR-mediated pathways. Western blot analysis detects a 46 kilodalton band corresponding to the receptor, while immunohistochemistry reveals strong membrane and cytoplasmic staining in neurons and smooth muscle cells. This antibody supports investigations into tachykinin signaling and receptor modulation across different tissues.

Pharmacologically, Neurokinin 1 receptor antagonists such as aprepitant and fosaprepitant are used clinically to treat nausea, vomiting, and depression, underscoring the receptor's therapeutic relevance. Dysregulation of TACR1 signaling contributes to chronic pain, anxiety, inflammatory bowel disease, and certain cancers, where Substance P promotes cell proliferation and angiogenesis. The NKR1 antibody provides a valuable tool for characterizing receptor expression, ligand binding, and intracellular signaling dynamics under physiological and pathological conditions.

At the molecular level, Neurokinin 1 receptor undergoes desensitization and internalization following ligand binding, a process mediated by beta-arrestins and receptor phosphorylation. It can recycle back to the plasma membrane or undergo degradation depending on signal intensity. The NKR1 antibody facilitates the study of receptor trafficking, desensitization, and GPCR signaling integration. NSJ Bioreagents validates this antibody for its applications, ensuring reliable detection for neuroscience and inflammation research.

Application Notes

Optimal dilution of the NKR1 antibody should be determined by the researcher.

Immunogen

A synthesized peptide derived from human Neurokinin 1 Receptor was used as the immunogen for the NKR1 antibody.

Storage

Store the NKR1 antibody at -20oC.

Cross
Bulk Quote Request Form
Name*:
Organization*:
Email*:
Phone Number*:
Catalog No.*:
Comments and Specifics(amount, formulation, etc.)*:
Validation code: Captchapackage Image


Can't read the image? click here to refresh.
    *required field

Your bulk quote request has been submitted successfully!

Please contact us if you have any questions.