• Tel: 858.663.9055
  • SeparatorEmail: info@nsjbio.com
  • Tel: 858.663.9055
  • Email: info@nsjbio.com
Home >> Antibodies >> NKG2A Antibody / KLRC1

NKG2A Antibody / KLRC1 (F54267)

  Catalog No Formulation Size Price (USD)  
Image F54267-0.2ML In 1X PBS, pH 7.4, with 0.09% sodium azide 0.2 ml 439
Image
F54267-0.05ML In 1X PBS, pH 7.4, with 0.09% sodium azide 0.05 ml 205
Bulk quote request
Western blot testing of human 1) K562 and 2) HepG2 cell lysate with NKG2A antibody. Predicted molecular weight: 26-40 kDa depending on glycosylation level.
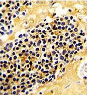
IHC testing of FFPE human kidney carcinoma with NKG2A antibody. HIER: steam section in pH6 citrate buffer for 20 min and allow to cool prior to staining.
Immunofluorescent staining of fixed and permeabilized human HeLa cells with NKG2A antibody (green), DAPI nuclear stain (blue) and anti-Actin (red).
Flow cytometry testing of fixed and permeabilized human Jurkat cells with NKG2A antibody; Blue=isotype control, Green= NKG2A antibody.
Availability 1-3 business days
Species Reactivity Human
Format Purified
Host Rabbit
Clonality Polyclonal (rabbit origin)
Isotype Rabbit Ig
Purity Antigen affinity purified
UniProt P26715
Applications Western Blot : 1:500-1:2000
Immunohistochemistry (FFPE) : 1:25
Immunofluorescence : 1:25
Flow Cytometry : 1:25 (1x10e6 cells)
Limitations This NKG2A antibody is available for research use only.
Review this product on BioCompare and get a $20 Amazon gift card

Description

Natural killer (NK) cells are lymphocytes that can mediate lysis of certain tumor cells and virus-infected cells without previous activation. They can also regulate specific humoral and cell-mediated immunity. This protein belongs to the killer cell lectin-like receptor family, also called NKG2 family, which is a group of transmembrane proteins preferentially expressed in NK cells. This family of proteins is characterized by the type II membrane orientation and the presence of a C-type lectin domain. This protein forms a complex with another family member, KLRD1/CD94, and has been implicated in the recognition of the MHC class I HLA-E molecules in NK cells.

Application Notes

The stated application concentrations are suggested starting points. Titration of the NKG2A antibody may be required due to differences in protocols and secondary/substrate sensitivity.

Immunogen

A portion of amino acids 180-206 from the human protein were used as the immunogen for the NKG2A antibody.

Storage

Aliquot the NKG2A antibody and store frozen at -20oC or colder. Avoid repeated freeze-thaw cycles.

Cross
Bulk Quote Request Form
Name*:
Organization*:
Email*:
Phone Number*:
Catalog No.*:
Comments and Specifics(amount, formulation, etc.)*:
Validation code: Captchapackage Image


Can't read the image? click here to refresh.
    *required field

Your bulk quote request has been submitted successfully!

Please contact us if you have any questions.