• Tel: 858.663.9055
  • SeparatorEmail: info@nsjbio.com
  • Tel: 858.663.9055
  • Email: info@nsjbio.com
Home >> Antibodies >> NIT2 Antibody / Nitrilase homolog 2

NIT2 Antibody / Nitrilase homolog 2 (RQ8327)

  Catalog No Formulation Size Price (USD)  
Image RQ8327 0.5mg/ml if reconstituted with 0.2ml sterile DI water 100 ug 449
Bulk quote request
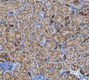
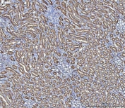
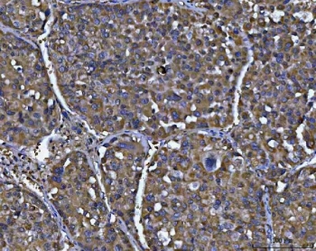
IHC staining of FFPE human liver cancer tissue with NIT2 antibody. HIER: boil tissue sections in pH8 EDTA for 20 min and allow to cool before testing.
IHC staining of FFPE human squamous cell carcinoma of the penis tissue with NIT2 antibody. HIER: boil tissue sections in pH8 EDTA for 20 min and allow to cool before testing.
IHC staining of FFPE rat kidney tissue with NIT2 antibody. HIER: boil tissue sections in pH8 EDTA for 20 min and allow to cool before testing.
IHC staining of FFPE mouse kidney tissue with NIT2 antibody. HIER: boil tissue sections in pH8 EDTA for 20 min and allow to cool before testing.
Western blot testing of 1) human A549, 2) rat liver and 3) rat kidney tissue lysate with NIT2 antibody. Predicted molecular weight ~31 kDa.
Flow cytometry testing of fixed and permeabilized human A549 cells with NIT2 antibody at 1ug/million cells (blocked with goat sera); Red=cells alone, Green=isotype control, Blue= NIT2 antibody.
Availability 1-3 business days
Species Reactivity Human, Mouse, Rat
Format Antigen affinity purified
Host Rabbit
Clonality Polyclonal (rabbit origin)
Isotype Rabbit IgG
Purity Antigen affinity purified
Buffer Lyophilized from 1X PBS with 2% Trehalose
UniProt Q9NQR4
Localization Cytoplasm
Applications Western Blot : 0.5-1ug/ml
Immunohistochemistry (FFPE) : 2-5ug/ml
Flow Cytometry : 1-3ug/million cells
Direct ELISA : 0.1-0.5ug/ml
Limitations This NIT2 antibody is available for research use only.
Review this product on BioCompare and get a $20 Amazon gift card

Description

NIT2 belongs to a branch of the nitrilase superfamily of enzymes that cleave carbon-nitrogen bonds. NIT2 functions as an omega-amidase and catalyzes hydrolysis of alpha-ketoglutaramate, forming alpha-ketoglutarate and ammonia. This reaction is also functionally coupled with a subset of transaminases that reaminate the keto acid analogs of some essential amino acids, most particularly methionine and phenylalanine.

Application Notes

Optimal dilution of the NIT2 antibody should be determined by the researcher.

Immunogen

An E.coli-derived human recombinant protein (M1-K249) was used as the immunogen for the NIT2 antibody.

Storage

After reconstitution, the NIT2 antibody can be stored for up to one month at 4oC. For long-term, aliquot and store at -20oC. Avoid repeated freezing and thawing.

Cross
Bulk Quote Request Form
Name*:
Organization*:
Email*:
Phone Number*:
Catalog No.*:
Comments and Specifics(amount, formulation, etc.)*:
Validation code: Captchapackage Image


Can't read the image? click here to refresh.
    *required field

Your bulk quote request has been submitted successfully!

Please contact us if you have any questions.