• Tel: 858.663.9055
  • SeparatorEmail: info@nsjbio.com
  • Tel: 858.663.9055
  • Email: info@nsjbio.com
Home >> Antibodies >> NGAL Antibody / Lipocalin 2 / LCN2

NGAL Antibody / Lipocalin 2 / LCN2 (R32169)

  Catalog No Formulation Size Price (USD)  
Image R32169 0.5mg/ml if reconstituted with 0.2ml sterile DI water 100 ug 449
Bulk quote request
Western blot testing of human 1) A549 and 2) SMMC cell lysate with NGAL antibody at 0.5ug/ml. Predicted/observed molecular weigth: 22-25 kDa (monomer).
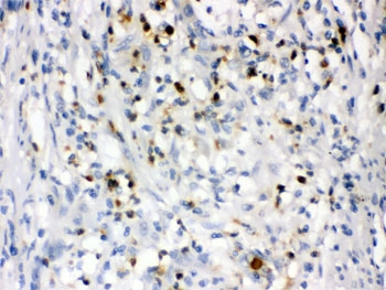
IHC testing of FFPE human intestinal cancer tissue with NGAL antibody. HIER: Boil the paraffin sections in pH 6, 10mM citrate buffer for 20 minutes and allow to cool prior to staining.
Western blot testing of human 1) SMMC-7721 and 2) A549 cell lysate (50ug/lane) with NGAL antibody at 0.5ug/ml. Predicted/observed molecular weigth: 22-25 kDa (monomer), ~45 kDa (homodimer). Higher amounts of lysate/lane, a greater concentration of primary antibody or longer exposure times may be required to visualize the homodimer.
Availability 1-3 business days
Species Reactivity Human
Format Antigen affinity purified
Host Rabbit
Clonality Polyclonal (rabbit origin)
Isotype Rabbit IgG
Purity Antigen affinity
Buffer Lyophilized from 1X PBS with 2.5% BSA and 0.025% sodium azide
UniProt P80188
Localization Cytoplasmic
Applications Western Blot : 0.1-0.5ug/ml
IHC (FFPE) : 0.5-1ug/ml
ELISA : 0.1-0.5ug/ml (human protein tested); request BSA-free format for coating
Limitations This NGAL antibody is available for research use only.
Review this product on BioCompare and get a $20 Amazon gift card

Related Products

Description

Europhile gelatinase-associated lipocalin (NGAL) is a protein that in humans is encoded by the LCN2 gene. The binding of lipocalin-2 to bacterial siderophores is important in the innate immune response to bacterial infection. Upon encountering invading bacteria the toll-like receptors on immune cells stimulate the synthesis and secretion of lipocalin-2. Secreted lipocalin-2 then limits bacterial growth by sequestering iron-containing siderophores. Lipocalin-2 also functions as a growth factor.

Application Notes

Optimal dilution of the NGAL antibody should be determined by the researcher.

Immunogen

Amino acids 21-198 of human LCN2 were used as the immunogen for the NGAL antibody.

Storage

After reconstitution, the NGAL antibody can be stored for up to one month at 4oC. For long-term, aliquot and store at -20oC. Avoid repeated freezing and thawing.

Cross
Bulk Quote Request Form
Name*:
Organization*:
Email*:
Phone Number*:
Catalog No.*:
Comments and Specifics(amount, formulation, etc.)*:
Validation code: Captchapackage Image


Can't read the image? click here to refresh.
    *required field

Your bulk quote request has been submitted successfully!

Please contact us if you have any questions.