• Tel: 858.663.9055
  • SeparatorEmail: info@nsjbio.com
  • Tel: 858.663.9055
  • Email: info@nsjbio.com
Home >> Antibodies >> NFKB2 Antibody / Nuclear factor NF-kappa-B

NFKB2 Antibody / Nuclear factor NF-kappa-B (R31570)

  Catalog No Formulation Size Price (USD)  
Image R31570 0.5mg/ml if reconstituted with 0.2ml sterile DI water 100 ug 449
Bulk quote request
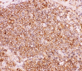
NFKB2 Antibody Breast Cancer IHC. Immunohistochemistry staining of FFPE human breast cancer tissue with NFKB2 antibody. HIER: boil tissue sections in pH8 EDTA for 20 min and allow to cool before testing.
NFKB2 Antibody Lung Cancer IHC. Immunohistochemistry staining of FFPE human lung cancer tissue with NFKB2 antibody. HIER: boil tissue sections in pH8 EDTA for 20 min and allow to cool before testing.
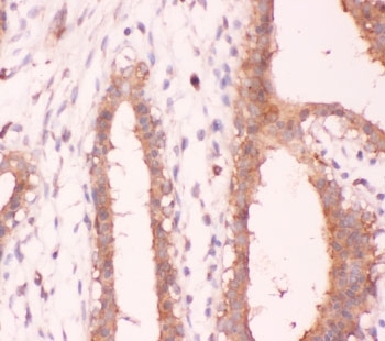
NFKB2 Antibody Mouse Intestine Tissue IHC. Immunohistochemistry staining of FFPE mouse intestine tissue with NFKB2 antibody. HIER: boil tissue sections in pH8 EDTA for 20 min and allow to cool before testing.
NFKB2 Antibody Rat Intestine Tissue IHC. Immunohistochemistry staining of FFPE rat intestine tissue with NFKB2 antibody. HIER: boil tissue sections in pH8 EDTA for 20 min and allow to cool before testing.
NFKB2 Antibody WB. Western blot testing of 1) human HeLa, 2) human Jurkat, 3) human MCF7, 4) human A549, 5) human U-87 MG, 6) mouse lung and 7) mouse RAW264.7 cell lysate with NFKB2 antibody.
Availability 1-3 business days
Species Reactivity Human, Mouse, Rat
Format Antigen affinity purified
Host Rabbit
Clonality Polyclonal (rabbit origin)
Isotype Rabbit IgG
Purity Antigen affinity
Buffer Lyophilized from 1X PBS with 2.5% BSA and 0.025% sodium azide
UniProt Q00653
Localization Nuclear, cytoplasmic
Applications Western Blot : 0.5-1ug/ml
IHC (FFPE) : 0.5-1ug/ml
Limitations This NFKB2 antibody is available for research use only.
Review this product on BioCompare and get a $20 Amazon gift card

Related Products

  • Applications : WB, IHC-P
    Reactivity : Mouse, Rat

Description

NFKB2 Antibody detects Nuclear factor kappa-B subunit 2, a protein that in humans is encoded by the NFKB2 gene. It is mapped to 10q24.32. This gene encodes a subunit of the transcription factor complex nuclear factor-kappa-B (NFKB). NFKB is activated by a wide variety of stimuli such as cytokines, oxidant-free radicals, inhaled particles, ultraviolet irradiation, and bacterial or viral products. The NFkB complex is expressed in numerous cell types and functions as a central activator of genes involved in inflammation and immune function. The protein encoded by this gene can function as both a transcriptional activator or repressor depending on its dimerization partner.

This antibody is part of a broader antibody panel offered by NSJ Bioreagents.

Application Notes

The stated application concentrations are suggested starting amounts. Titration of the NFKB2 antibody may be required due to differences in protocols and secondary/substrate sensitivity.

Immunogen

Human partial recombinant protein (AA 1-340) was used as the immunogen for this NFKB2 antibody.

Storage

After reconstitution, the NFKB2 antibody can be stored for up to one month at 4oC. For long-term, aliquot and store at -20oC. Avoid repeated freezing and thawing.

Cross
Bulk Quote Request Form
Name*:
Organization*:
Email*:
Phone Number*:
Catalog No.*:
Comments and Specifics(amount, formulation, etc.)*:
Validation code: Captchapackage Image


Can't read the image? click here to refresh.
    *required field

Your bulk quote request has been submitted successfully!

Please contact us if you have any questions.