• Tel: 858.663.9055
  • SeparatorEmail: info@nsjbio.com
  • Tel: 858.663.9055
  • Email: info@nsjbio.com
Home >> Antibodies >> NFAT5 Antibody / Nuclear factor of activated T-cells 5

NFAT5 Antibody / Nuclear factor of activated T-cells 5 (RQ5900)

  Catalog No Formulation Size Price (USD)  
Image RQ5900 0.5mg/ml if reconstituted with 0.2ml sterile DI water 100 ug 449
Bulk quote request
Immunofluorescent staining of FFPE human bladder cancer tissue with NFAT5 antibody (red) and DAPI nuclear stain (blue). HIER: steam section in pH8 EDTA buffer for 20 min.
Immunofluorescent staining of FFPE human A549 cells with NFAT5 antibody (green) and Alpha Tubulin mAb (red). HIER: steam section in pH6 citrate buffer for 20 min.
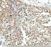
IHC staining of FFPE human bladder cancer tissue with NFAT5 antibody. HIER: boil tissue sections in pH8 EDTA for 20 min and allow to cool before testing.
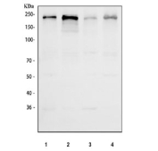
Western blot testing of human 1) HeLa, 2) HepG2, 3) Jurkat and 4) U-2 OS cell lysate with NFAT5 antibody. Predicted molecular weight ~170 kDa.
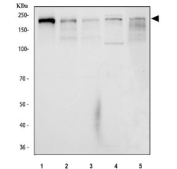
Western blot testing of 1) human SiHa, 2) human HepG2, 3) human RT-4, 4) rat PC-12 and 5) mouse RAW264.7 cell lysate with NFAT5 antibody. Predicted molecular weight ~170 kDa.
Flow cytometry testing of fixed and permeabilized human HeLa cells with NFAT5 antibody at 1ug/million cells (blocked with goat sera); Red=cells alone, Green=isotype control, Blue= NFAT5 antibody.
Availability 1-3 business days
Species Reactivity Human, Mouse, Rat
Format Antigen affinity purified
Host Rabbit
Clonality Polyclonal (rabbit origin)
Isotype Rabbit IgG
Purity Affinity purified
Buffer Lyophilized from 1X PBS with 2% Trehalose
UniProt O94916
Localization Nuclear, cytoplasmic
Applications Western Blot : 0.5-1ug/ml
Flow Cytometry : 1-3ug/million cells
Immunofluorescence : 5ug/ml
Immunohistochemistry (FFPE) : 2-5ug/ml
Direct ELISA : 0.1-0.5ug/ml
Limitations This NFAT5 antibody is available for research use only.
Review this product on BioCompare and get a $20 Amazon gift card

Description

The product of this gene is a member of the nuclear factors of activated T cells family of transcription factors. Proteins belonging to this family play a central role in inducible gene transcription during the immune response. This protein regulates gene expression induced by osmotic stress in mammalian cells. Unlike monomeric members of this protein family, this protein exists as a homodimer and forms stable dimers with DNA elements. Multiple transcript variants encoding different isoforms have been found for this gene.

Application Notes

Optimal dilution of the NFAT5 antibody should be determined by the researcher.

Immunogen

Recombinant human protein (amino acids M1-D394) was used as the immunogen for the NFAT5 antibody.

Storage

After reconstitution, the NFAT5 antibody can be stored for up to one month at 4oC. For long-term, aliquot and store at -20oC. Avoid repeated freezing and thawing.

Cross
Bulk Quote Request Form
Name*:
Organization*:
Email*:
Phone Number*:
Catalog No.*:
Comments and Specifics(amount, formulation, etc.)*:
Validation code: Captchapackage Image


Can't read the image? click here to refresh.
    *required field

Your bulk quote request has been submitted successfully!

Please contact us if you have any questions.