• Tel: 858.663.9055
  • SeparatorEmail: info@nsjbio.com
  • Tel: 858.663.9055
  • Email: info@nsjbio.com
Home >> Antibodies >> NFAT2 Antibody / NFATC1

NFAT2 Antibody / NFATC1 [clone ABDA-14] (RQ4810)

  Catalog No Formulation Size Price (USD)  
Image RQ4810 Antibody in PBS with 0.02% sodium azide, 50% glycerol and 0.4-0.5mg/ml BSA 100 ul 449
Microvalidated Rab Mono Image
Bulk quote request
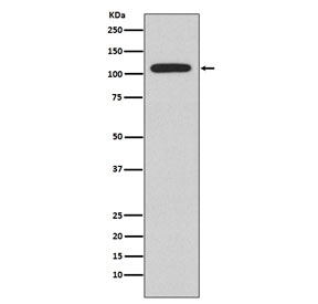
Western blot testing of Ramos cell lysate with NFAT2 antibody. Predicted molecular weight: ~101 kDa (isoform C).
Availability 1-2 weeks
Species Reactivity Human
Format Purified
Host Rabbit
Clonality Rabbit Monoclonal
Isotype Rabbit IgG
Clone Name ABDA-14
Purity Affinity purified
UniProt O95644
Applications Western Blot : 1:500-1:2000
Limitations This NFAT2 antibody is available for research use only.
Review this product on BioCompare and get a $20 Amazon gift card

Related Products

Description

'Nuclear factor of activated T-cells, cytoplasmic 1' plays a role in the inducible expression of cytokine genes in T-cells, especially in the induction of the IL-2 or IL-4 gene transcription. Also controls gene expression in embryonic cardiac cells. Could regulate not only the activation and proliferation but also the differentiation and programmed death of T-lymphocytes as well as lymphoid and non-lymphoid cells. Required for osteoclastogenesis and regulates many genes important for osteoclast differentiation and function. [UniProt]

Application Notes

Optimal dilution of the NFAT2 antibody should be determined by the researcher.

Immunogen

A synthetic peptide specific to human NFAT2 / NFATC1 was used as the immunogen for the NFAT2 antibody.

Storage

Store the NFAT2 antibody at -20oC.

Cross
Bulk Quote Request Form
Name*:
Organization*:
Email*:
Phone Number*:
Catalog No.*:
Comments and Specifics(amount, formulation, etc.)*:
Validation code: Captchapackage Image


Can't read the image? click here to refresh.
    *required field

Your bulk quote request has been submitted successfully!

Please contact us if you have any questions.