• Tel: 858.663.9055
  • SeparatorEmail: info@nsjbio.com
  • Tel: 858.663.9055
  • Email: info@nsjbio.com
Home >> Antibodies >> NFAT1 Antibody / NFATC2

NFAT1 Antibody / NFATC2 (R32875)

  Catalog No Formulation Size Price (USD)  
Image R32875 0.5mg/ml if reconstituted with 0.2ml sterile DI water 100 ug 449
Bulk quote request
Western blot testing of human K562 cell lysate with NFAT1 antibody at 0.5ug/ml. Predicted molecular weight ~100 kDa.
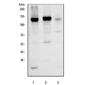
Western blot testing of human 1) Ramos, 2) Jurkat and 3) MOLT4 cell lysate with NFAT1 antibody at 0.5ug/ml. Predicted molecular weight ~100 kDa.
Immunofluorescent staining of FFPE human HeLa cells with NFAT1 antibody (green) and Alpha Tubulin mAb (red). HIER: steam section in pH6 citrate buffer for 20 min.
Flow cytometry testing of fixed and permeabilized human Jurkat cells with NFAT1 antibody at 1ug/million cells (blocked with goat sera); Red=cells alone, Green=isotype control, Blue= NFAT1 antibody.
Availability 1-3 business days
Species Reactivity Human
Format Antigen affinity purified
Host Rabbit
Clonality Polyclonal (rabbit origin)
Isotype Rabbit IgG
Purity Antigen affinity
Buffer Lyophilized from 1X PBS with 2% Trehalose
UniProt Q13469
Localization Nuclear, Cytoplasmic
Applications Western Blot : 0.5-1ug/ml
Immunofluorescence : 5ug/ml
Flow Cytometry : 1-3ug/million cells
Direct ELISA (Recombinant Human Protein) : 0.1-0.5ug/ml (BSA-free format available)
Limitations This NFAT1 antibody is available for research use only.
Review this product on BioCompare and get a $20 Amazon gift card

Related Products

  • Applications : DB, ELISA
    Reactivity : Human
  • Applications : WB, IHC, ELISA (peptide)
    Reactivity : Human
    Pred. Reactivity : Mouse, Rat, Dog, Cow

Description

NFATC2 (Nuclear factor of activated T-cells, cytoplasmic 2), also known as NFATP or the 'preexisting component' of NFAT, is present in the cytosolic fraction of unstimulated T cells, which is also a member of the nuclear factor of activated T cells (NFAT) family. The NFATC2 gene is mapped on 20q13.2. NFATC2 is highly homologous to NFATC1 over a limited domain which shows similarity to the Dorsal/Rel family but has a wider tissue distribution. Ectopic expression of NFATC2 inhibited the basal activity of the human CDK4 promoter. Additionally, both Calna-/- and Nfatc2 -/- mice had elevated protein levels of Cdk4, confirming a negative regulatory role for the calcineurin/NFAT pathway. NFATC2 controls myoblast fusion at a specific stage of myogenesis after the initial formation of a myotube and is necessary for further cell growth. Overexpression of NFATC2 promoted differentiation of osteoclast precursor cells into tartrate-resistant acid phosphatase-positive (TRAP-positive) multinucleated osteoclast-like cells even in the absence of RANKL.

Application Notes

Optimal dilution of the NFAT1 antibody should be determined by the researcher.

Immunogen

A recombinant human protein corresponding to amino acids Q594-H676 was used as the immunogen for the NFAT1 antibody.

Storage

After reconstitution, the NFAT1 antibody can be stored for up to one month at 4oC. For long-term, aliquot and store at -20oC. Avoid repeated freezing and thawing.

Cross
Bulk Quote Request Form
Name*:
Organization*:
Email*:
Phone Number*:
Catalog No.*:
Comments and Specifics(amount, formulation, etc.)*:
Validation code: Captchapackage Image


Can't read the image? click here to refresh.
    *required field

Your bulk quote request has been submitted successfully!

Please contact us if you have any questions.