• Tel: 858.663.9055
  • SeparatorEmail: info@nsjbio.com
  • Tel: 858.663.9055
  • Email: info@nsjbio.com
Home >> Antibodies >> NF-kB p65 Antibody / RELA

NF-kB p65 Antibody / RELA (RQ8772)

  Catalog No Formulation Size Price (USD)  
Image RQ8772 0.5mg/ml if reconstituted with 0.2ml sterile DI water 100 ug 449
Bulk quote request
Flow cytometry testing of fixed and permeabilized human Daudi cells with NF-kB p65 antibody at 1ug/million cells (blocked with goat sera); Red=cells alone, Green=isotype control, Blue= NF-kB p65 antibody.
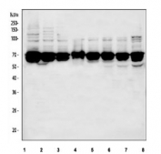
Western blot testing of 1) human HeLa, 2) human HepG2, 3) human Caco-2, 4) human Raji, 5) rat PC-12, 6) rat C6, 7) mouse NIH 3T3 and 8) mouse Ana-1 cell lysate with NF-kB p65 antibody. Expected molecular weight ~65 kDa.
Availability 1-3 days
Species Reactivity Human, Mouse, Rat
Format Antigen affinity purified
Host Rabbit
Clonality Polyclonal (rabbit origin)
Isotype Rabbit IgG
Purity Antigen affinity chromatography
Buffer Lyophilized from 1X PBS with 2% Trehalose
UniProt Q04206
Applications Western Blot : 1-2ug/ml
Flow Cytometry : 1-3ug/million cells
ELISA : 0.1-0.5ug/ml
Limitations This NF-kB p65 antibody is available for research use only.
Review this product on BioCompare and get a $20 Amazon gift card

Related Products

  • Applications : WB, IHC
    Reactivity : Human
    Recrabbitmono
  • Applications : FACS, IF
    Reactivity : Human
    Microvalidated
  • Applications : FACS, IF, WB
    Reactivity : Human, Mouse
    Microvalidated
  • Applications : WB
    Reactivity : Human
    Rab Mono Image
  • Applications : WB, IHC-P, IF
    Reactivity : Human, Mouse, Rat
  • Applications : WB
    Reactivity : Human, Mouse, Rat
  • Applications : WB
    Reactivity : Human
  • Applications : WB
    Reactivity : Mouse, Rat
  • Applications : WB, IF, ELISA
    Reactivity : Human
    Pred. Reactivity : Mouse
  • Applications : IHC, FACS, IF, WB, ELISA
    Reactivity : Human
    Pred. Reactivity : Chicken, Mouse, Xenopus
  • Applications : IF, WB, ELISA
    Reactivity : Human
    Pred. Reactivity : Mouse, Pig
  • Applications : WB, ELISA
    Reactivity : Human
    Pred. Reactivity : Mouse
  • Applications : WB, ELISA
    Reactivity : Human, Mouse
  • Applications : WB, IF, FACS, ELISA
    Reactivity : Human, Mouse, Rat

Description

Transcription factor p65, also known as NFKB3 or NF-kB p65, is a protein that in humans is encoded by the RELA gene. It is mapped to 11q13.1. NFKB is an essential transcription factor complex involved in all types of cellular processes, including cellular metabolism, chemotaxis, etc, and it may play a role in inflammatory conditions of the peripheral nervous system. Phosphorylation and acetylation of NFKB3 are crucial post-translational modifications required for NFKB activation. It has also been shown to modulate immune responses, and activation of NFKB3 is positively associated with multiple types of cancer. In addition to that, NFKB3 antagonizes TNFR1-JNK proliferative signals in epidermis and plays a nonredundant role in restraining epidermal growth.

Application Notes

Optimal dilution of the NF-kB p65 antibody should be determined by the researcher.

Immunogen

An E.coli-derived human recombinant protein (amino acids Q132-S551) was used as the immunogen for the NF-kB p65 antibody.

Storage

After reconstitution, the NF-kB p65 antibody can be stored for up to one month at 4oC. For long-term, aliquot and store at -20oC. Avoid repeated freezing and thawing.

Cross
Bulk Quote Request Form
Name*:
Organization*:
Email*:
Phone Number*:
Catalog No.*:
Comments and Specifics(amount, formulation, etc.)*:
Validation code: Captchapackage Image


Can't read the image? click here to refresh.
    *required field

Your bulk quote request has been submitted successfully!

Please contact us if you have any questions.