• Tel: 858.663.9055
  • SeparatorEmail: info@nsjbio.com
  • Tel: 858.663.9055
  • Email: info@nsjbio.com
Home >> Antibodies >> Neutrophil Elastase Antibody / HNE

Neutrophil Elastase Antibody / HNE (R32526)

  Catalog No Formulation Size Price (USD)  
Image R32526 0.5mg/ml if reconstituted with 0.2ml sterile DI water 100 ug 449
Bulk quote request
IHC staining of FFPE mouse spleen tissue with TCP1 antibody, HRP-labeled secondary and DAB substrate. HIER: boil tissue sections in pH8 EDTA for 20 min and allow to cool before testing.
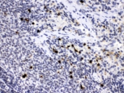
IHC staining of FFPE mouse spleen tissue with Neutrophil Elastase antibody, HRP-labeled secondary and DAB substrate. HIER: boil tissue sections in pH6 citrate buffer for 20 min and allow to cool before testing.
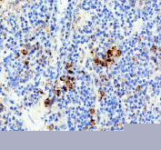
IHC staining of FFPE rat spleen tissue with Neutrophil Elastase antibody, HRP-labeled secondary and DAB substrate. HIER: boil tissue sections in pH6 citrate buffer for 20 min and allow to cool before testing.
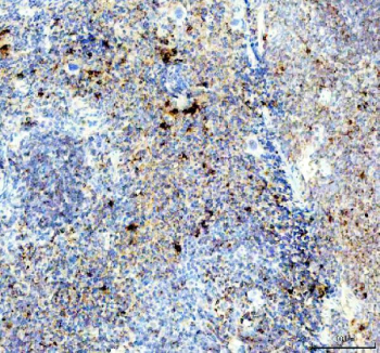
IHC staining of FFPE rat spleen tissue with Neutrophil Elastase antibody, HRP-labeled secondary and DAB substrate. HIER: boil tissue sections in pH8 EDTA buffer for 20 min and allow to cool before testing.
Western blot testing of mouse spleen tissue lysate with Neutrophil Elastase antibody at 0.5ug/ml. Expected molecular weight: 29-35 kDa.
Availability 1-3 business days
Species Reactivity Mouse, Rat
Format Antigen affinity purified
Host Rabbit
Clonality Polyclonal (rabbit origin)
Isotype Rabbit IgG
Purity Antigen affinity
Buffer Lyophilized from 1X PBS with 2% Trehalose
UniProt Q3UP87
Localization Cytoplasmic
Applications Western Blot : 0.5-1ug/ml
Immunohistochemistry (FFPE) : 2-5ug/ml
Limitations This Neutrophil Elastase antibody is available for research use only.
Review this product on BioCompare and get a $20 Amazon gift card

Related Products

Description

Neutrophil elastase, also called Elane, is a serine protease of neutrophil and monocyte granules. Its key physiologic role is in innate host defense, but it can also participate in tissue remodeling and possesses secretagogue actions important to local inflammatory responses. Elastases form a subfamily of serine proteases that hydrolyze many proteins in addition to elastin. Humans have six elastase genes which encode structurally similar proteins. The encoded preproprotein is proteolytically processed to generate the active protease. Following activation, this protease hydrolyzes proteins within specialized neutrophil lysosomes, called azurophil granules, as well as proteins of the extracellular matrix. This protein also degrades the outer membrane protein A (OmpA) of E. coli as well as the virulence factors of such bacteria as Shigella, Salmonella and Yersinia. Mutations in this gene are associated with cyclic neutropenia and severe congenital neutropenia (SCN). This gene is present in a gene cluster on chromosome 19.

Application Notes

Differences in protocols and secondary/substrate sensitivity may require the Neutrophil Elastase antibody to be titrated for optimal performance.

Immunogen

Amino acids S27-N265 from the mouse protein were used as the immunogen for the Neutrophil Elastase antibody.

Storage

After reconstitution, the Neutrophil Elastase antibody can be stored for up to one month at 4oC. For long-term, aliquot and store at -20oC. Avoid repeated freezing and thawing.

Cross
Bulk Quote Request Form
Name*:
Organization*:
Email*:
Phone Number*:
Catalog No.*:
Comments and Specifics(amount, formulation, etc.)*:
Validation code: Captchapackage Image


Can't read the image? click here to refresh.
    *required field

Your bulk quote request has been submitted successfully!

Please contact us if you have any questions.