• Tel: 858.663.9055
  • SeparatorEmail: info@nsjbio.com
  • Tel: 858.663.9055
  • Email: info@nsjbio.com
Home >> Antibodies >> Neuropilin 1 Antibody

Neuropilin 1 Antibody (R31713)

  Catalog No Formulation Size Price (USD)  
Image R31713 0.5mg/ml if reconstituted with 0.2ml sterile DI water 100 ug 449
Bulk quote request
Western blot testing of Neuropilin 1 antibody and Lane 1: (h) U87; 2: (h) A549; 3: human placenta; 4: rat heart lysate. Predicted size: 102~130KD
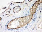
IHC-P: Neuropilin 1 antibody testing of human placenta tissue
Availability 1-3 business days
Species Reactivity Human, Rat
Format Antigen affinity purified
Host Rabbit
Clonality Polyclonal (rabbit origin)
Isotype Rabbit IgG
Purity Antigen affinity
Buffer Lyophilized from 1X PBS with 2.5% BSA and 0.025% sodium azide
Gene ID 8829
Applications Western Blot : 0.5-1ug/ml
IHC (FFPE) : 0.5-1ug/ml
Limitations This Neuropilin 1 antibody is available for research use only.
Review this product on BioCompare and get a $20 Amazon gift card

Related Products

Description

This gene encodes one of two neuropilins, which contain specific protein domains which allow them to participate in several different types of signaling pathways that control cell migration. Neuropilins contain a large N-terminal extracellular domain, made up of complement-binding, coagulation factor V/VIII, and meprin domains. These proteins also contain a short membrane-spanning domain and a small cytoplasmic domain. Neuropilins bind many ligands and various types of co-receptors; they affect cell survival, migration, and attraction. Some of the ligands and co-receptors bound by neuropilins are vascular endothelial growth factor (VEGF) and semaphorin family members. Several alternatively spliced transcript variants that encode different protein isoforms have been described for this gene.

Application Notes

The stated application concentrations are suggested starting amounts. Titration of the Neuropilin 1 antibody may be required due to differences in protocols and secondary/substrate sensitivity.

Immunogen

Human partial recombinant protein (AA 504-827) was used as the immunogen for this Neuropilin 1 antibody.

Storage

After reconstitution, the Neuropilin 1 antibody can be stored for up to one month at 4oC. For long-term, aliquot and store at -20oC. Avoid repeated freezing and thawing.

Cross
Bulk Quote Request Form
Name*:
Organization*:
Email*:
Phone Number*:
Catalog No.*:
Comments and Specifics(amount, formulation, etc.)*:
Validation code: Captchapackage Image


Can't read the image? click here to refresh.
    *required field

Your bulk quote request has been submitted successfully!

Please contact us if you have any questions.