- Tel: 858.663.9055
- 
									 Email: info@nsjbio.com Email: info@nsjbio.com
- Tel: 858.663.9055
- Email: info@nsjbio.com
 Email: info@nsjbio.com
Email: info@nsjbio.com
								Related Products
| 
 | 
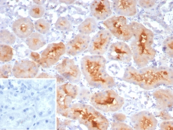
Neuropilin is a type I transmembrane receptor that has been implicated in aspects of axon growth and guidance and has been shown to act as a high affinity receptor for class III semaphorins and vascular endothelial growth factor (VEGF). A closely related protein, neuropilin-2, shares a common domain structure and signifcant homology with neuropilin and also acts as a receptor for the class III semaphorins and VEGF. Both neuropilins are involved in regulating many physiological pathways including axonal guidance and angiogenesis, however they exhibit differential expression in the adult vasculature. Neuropilin-2 is polysialylated and expressed on the surface of dendritic cells. It is also expressed by venous and lymphatic endothelium. Neuropilin is expressed predominantly by arterial endothelium.
Optimal dilution of the Neuropilin-1 antibody should be determined by the researcher.
A recombinant partial protein (within amino acids 700-900) from the human protein was used as the immunogen for the Neuropilin-1 antibody.
Aliquot the Neuropilin-1 antibody and store frozen at -20oC or colder. Avoid repeated freeze-thaw cycles.
 
Your bulk quote request has been submitted successfully!
Please contact us if you have any questions.