- Tel: 858.663.9055
- 
									 Email: info@nsjbio.com Email: info@nsjbio.com
- Tel: 858.663.9055
- Email: info@nsjbio.com
 Email: info@nsjbio.com
Email: info@nsjbio.com
								Related Products
| 
 | 
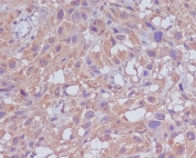
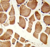
The NRP1 encodes one of two neuropilins, which contain specific protein domains which allow them to participate in several different types of signaling pathways that control cell migration. Neuropilins contain a large N-terminal extracellular domain, made up of complement-binding, coagulation factor V/VIII, and meprin domains. These proteins also contains a short membrane-spanning domain and a small cytoplasmic domain. Neuropilins bind many ligands and various types of co-receptors; they affect cell survival, migration, and attraction. Some of the ligands and co-receptors bound by neuropilins are vascular endothelial growth factor (VEGF) and semaphorin family members. [RefSeq]
Optimal dilution of the Neuropilin 1 antibody should be determined by the researcher.
A synthetic peptide specific to human Neuropilin 1 / NRP1 was used as the immunogen for the Neuropilin 1 antibody.
Store the Neuropilin 1 antibody at -20oC.
 
Your bulk quote request has been submitted successfully!
Please contact us if you have any questions.