• Tel: 858.663.9055
  • SeparatorEmail: info@nsjbio.com
  • Tel: 858.663.9055
  • Email: info@nsjbio.com
Home >> Antibodies >> Neuronatin Antibody / NNAT

Neuronatin Antibody / NNAT (FY12482)

  Catalog No Formulation Size Price (USD)  
Image FY12482 Adding 0.2 ml of distilled water will yield a concentration of 500 ug/ml 100 ug 449
Bulk quote request
Immunofluorescent staining of Neuronatin using anti-Neuronatin antibody. Neuronatin was detected in a paraffin-embedded section of mouse brain tissue. Heat mediated antigen retrieval was performed in EDTA buffer (pH 8.0, epitope retrieval solution). The tissue section was blocked with 10% goat serum. The tissue section was then incubated with 5 ug/ml rabbit anti-Neuronatin antibody overnight at 4oC. Cy3 Conjugated Goat Anti-Rabbit IgG was used as secondary antibody at 1:500 dilution and incubated for 30 minutes at 37oC. The section was counterstained with DAPI nuclear stain (blue). Visualize using a fluorescence microscope and filter sets appropriate for the label used.
Immunofluorescent staining of Neuronatin using anti-Neuronatin antibody. Neuronatin was detected in a paraffin-embedded section of rat brain tissue. Heat mediated antigen retrieval was performed in EDTA buffer (pH 8.0, epitope retrieval solution). The tissue section was blocked with 10% goat serum. The tissue section was then incubated with 5 ug/ml rabbit anti-Neuronatin antibody overnight at 4oC. Cy3 Conjugated Goat Anti-Rabbit IgG was used as secondary antibody at 1:500 dilution and incubated for 30 minutes at 37oC. The section was counterstained with DAPI nuclear stain (blue). Visualize using a fluorescence microscope and filter sets appropriate for the label used.
Immunohistochemical staining of Neuronatin using anti-Neuronatin antibody. Neuronatin was detected in a paraffin-embedded section of rat brain tissue. Heat mediated antigen retrieval was performed in EDTA buffer (pH 8.0, epitope retrieval solution). The tissue section was blocked with 10% goat serum. The tissue section was then incubated with 2 ug/ml rabbit anti-Neuronatin antibody overnight at 4oC. Peroxidase Conjugated Goat Anti-rabbit IgG was used as secondary antibody and incubated for 30 minutes at 37oC. The tissue section was developed using an HRP secondary and DAB substrate.
Immunohistochemical staining of Neuronatin using anti-Neuronatin antibody. Neuronatin was detected in a paraffin-embedded section of rat brain tissue. Heat mediated antigen retrieval was performed in EDTA buffer (pH 8.0, epitope retrieval solution). The tissue section was blocked with 10% goat serum. The tissue section was then incubated with 2 ug/ml rabbit anti-Neuronatin antibody overnight at 4oC. Peroxidase Conjugated Goat Anti-rabbit IgG was used as secondary antibody and incubated for 30 minutes at 37oC. The tissue section was developed using an HRP secondary and DAB substrate.
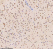
Immunohistochemical staining of Neuronatin using anti-Neuronatin antibody. Neuronatin was detected in a paraffin-embedded section of mouse brain tissue. Heat mediated antigen retrieval was performed in EDTA buffer (pH 8.0, epitope retrieval solution). The tissue section was blocked with 10% goat serum. The tissue section was then incubated with 2 ug/ml rabbit anti-Neuronatin antibody overnight at 4oC. Peroxidase Conjugated Goat Anti-rabbit IgG was used as secondary antibody and incubated for 30 minutes at 37oC. The tissue section was developed using an HRP secondary and DAB substrate.
Immunohistochemical staining of Neuronatin using anti-Neuronatin antibody. Neuronatin was detected in a paraffin-embedded section of mouse brain tissue. Heat mediated antigen retrieval was performed in EDTA buffer (pH 8.0, epitope retrieval solution). The tissue section was blocked with 10% goat serum. The tissue section was then incubated with 2 ug/ml rabbit anti-Neuronatin antibody overnight at 4oC. Peroxidase Conjugated Goat Anti-rabbit IgG was used as secondary antibody and incubated for 30 minutes at 37oC. The tissue section was developed using an HRP secondary and DAB substrate.
Flow Cytometry analysis of RT4 cells using anti-Neuronatin antibody. Overlay histogram showing RT4 cells stained with (Blue line). To facilitate intracellular staining, cells were fixed with 4% paraformaldehyde and permeabilized with permeabilization buffer. The cells were blocked with 10% normal goat serum. And then incubated with rabbit anti-Neuronatin antibody (1 ug/million cells) for 30 min at 20oC. DyLight 488 conjugated goat anti-rabbit IgG (5-10 ug/million cells) was used as secondary antibody for 30 minutes at 20oC. Isotype control antibody (Green line) was rabbit IgG (1 ug/million cells) used under the same conditions. Unlabelled sample without incubation with primary antibody and secondary antibody (Red line) was used as a blank control.
Availability 1-2 days
Species Reactivity Human, Mouse, Rat
Format Lyophilized
Host Rabbit
Clonality Polyclonal (rabbit origin)
Isotype Rabbit IgG
Purity Immunogen affinity purified
Buffer Each vial contains 4 mg Trehalose, 0.9 mg NaCl, 0.2 mg Na2HPO4.
UniProt Q16517
Localization Cytoplasm
Applications Immunohistochemistry : 2-5ug/ml
Immunofluorescence : 5ug/ml
Flow Cytometry : 1-3ug/million cells
Limitations This Neuronatin antibody is available for research use only.
Review this product on BioCompare and get a $20 Amazon gift card

Description

Neuronatin antibody detects Neuronatin, a small endoplasmic reticulum-associated protein expressed primarily in the developing nervous system and endocrine tissues. Neuronatin plays an important role in neurogenesis, calcium signaling, and energy metabolism, and is regulated through genomic imprinting with expression derived exclusively from the paternal allele. The Neuronatin antibody is commonly used in neuroscience, developmental biology, and metabolic research to study neuronal differentiation, calcium regulation, and imprinting mechanisms associated with growth and metabolic control.

Neuronatin is encoded by the NNAT gene on human chromosome 20q11.23. Two isoforms, NNAT-alpha and NNAT-beta, arise from alternative splicing and encode proteins of approximately 81 and 70 amino acids, respectively. Both isoforms are hydrophobic, integral membrane proteins localized to the endoplasmic reticulum. Structurally, Neuronatin shares sequence similarity with phospholamban and sarcolipin, suggesting a conserved role in modulating the sarco/endoplasmic reticulum calcium ATPase (SERCA) pump. Through this interaction, Neuronatin influences calcium flux and storage, which are critical for neuronal excitability and hormone secretion.

The Neuronatin antibody reveals protein expression during embryonic and postnatal development in the brain, spinal cord, pituitary gland, and pancreas. Immunostaining shows localization within neuronal soma and processes, as well as in pancreatic beta cells, where Neuronatin contributes to insulin secretion. Western blot analysis typically detects a low molecular weight band corresponding to one or both isoforms. Functional studies demonstrate that Neuronatin enhances intracellular calcium release and supports the differentiation of neural progenitor cells by activating calcium-dependent transcriptional programs.

Beyond its developmental functions, Neuronatin has been implicated in metabolic regulation and energy homeostasis. It modulates endoplasmic reticulum stress responses and may act as a mediator between nutrient sensing and neuronal metabolism. Dysregulation of NNAT expression has been associated with obesity, type 2 diabetes, and neurological disorders such as epilepsy and schizophrenia. Aberrant imprinting or epigenetic silencing of the paternal NNAT allele has been reported in human cancers, indicating a potential role in tumor suppression and differentiation control.

Neuronatin expression persists in adult tissues with high metabolic demand, including hypothalamic nuclei, skeletal muscle, and endocrine pancreas. It functions as a calcium-dependent signal amplifier that adjusts energy utilization and cellular excitability. In neurons, NNAT influences synaptic development and may interact with signaling proteins that control axonal growth. NSJ Bioreagents offers a validated Neuronatin antibody optimized for western blot, immunohistochemistry, and immunofluorescence. This antibody supports comprehensive investigation of calcium-dependent signaling, neural differentiation, and metabolic regulation linked to Neuronatin function.

Application Notes

Optimal dilution of the Neuronatin antibody should be determined by the researcher.

Immunogen

A synthetic peptide corresponding to a sequence at the C-terminus of human Neuronatin/NNAT was used as the immunogen for the Neuronatin antibody.

Storage

After reconstitution, the Neuronatin antibody can be stored for up to one month at 4oC. For long-term, aliquot and store at -20oC. Avoid repeated freezing and thawing.

Cross
Bulk Quote Request Form
Name*:
Organization*:
Email*:
Phone Number*:
Catalog No.*:
Comments and Specifics(amount, formulation, etc.)*:
Validation code: Captchapackage Image


Can't read the image? click here to refresh.
    *required field

Your bulk quote request has been submitted successfully!

Please contact us if you have any questions.