• Tel: 858.663.9055
  • SeparatorEmail: info@nsjbio.com
  • Tel: 858.663.9055
  • Email: info@nsjbio.com
Home >> Antibodies >> Neurofilament Light Antibody / NF-L

Neurofilament Light Antibody / NF-L (RQ6261)

  Catalog No Formulation Size Price (USD)  
Image RQ6261 0.5mg/ml if reconstituted with 0.2ml sterile DI water 100 ug 449
Bulk quote request
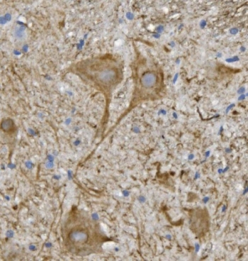
IHC staining of FFPE mouse spinal cord with Neurofilament Light antibody. HIER: boil tissue sections in pH8 EDTA for 20 min and allow to cool before testing.
IHC staining of FFPE rat spinal cord with Neurofilament Light antibody. HIER: boil tissue sections in pH8 EDTA for 20 min and allow to cool before testing.
Western blot testing of 1) human SH-SY5Y, 2) rat brain and 3) mouse brain lysate with Neurofilament Light antibody. Predicted molecular weight: 62-68 kDa.
Flow cytometry testing of human 293T cells with Neurofilament Light antibody at 1ug/million cells (blocked with goat sera); Red=cells alone, Green=isotype control, Blue= Neurofilament Light antibody.
IHC staining of FFPE mouse spinal cord (right) and negative control (left) with Neurofilament Light antibody. HIER: boil tissue sections in pH8 EDTA for 20 min and allow to cool before testing.
Immunofluorescent staining of FFPE mouse brain tissue with Neurofilament Light antibody (red) and DAPI nuclear stain (blue). HIER: boil tissue sections in pH8 EDTA for 20 min and allow to cool before testing.
Immunofluorescent staining of FFPE rat brain tissue with Neurofilament Light antibody (red) and DAPI nuclear stain (blue). HIER: boil tissue sections in pH8 EDTA for 20 min and allow to cool before testing.
Availability 1-3 business days
Species Reactivity Human, Mouse, Rat
Format Antigen affinity purified
Host Rabbit
Clonality Polyclonal (rabbit origin)
Isotype Rabbit IgG
Purity Affinity purified
Buffer Lyophilized from 1X PBS with 2% Trehalose
UniProt P07196
Applications Western Blot : 1-2ug/ml
Flow Cytometry : 1-3ug/million cells
Immunohistochemistry (FFPE) : 1-2ug/ml
Direct ELISA : 0.1-0.5ug/ml
Immunofluorescence : 5ug/ml
Limitations This Neurofilament Light antibody is available for research use only.
Review this product on BioCompare and get a $20 Amazon gift card

Related Products

Description

Neurofilament light polypeptide (NFL), also known as neurofilament light chain, is a neurofilament protein that in humans is encoded by the NEFL gene. Neurofilaments are type IV intermediate filament heteropolymers composed of light, medium, and heavy chains. Neurofilaments comprise the axoskeleton and they functionally maintain the neuronal caliber. They may also play a role in intracellular transport to axons and dendrites. This gene encodes the light chain neurofilament protein. Mutations in this gene cause Charcot-Marie-Tooth disease types 1F (CMT1F) and 2E (CMT2E), disorders of the peripheral nervous system that are characterized by distinct neuropathies. A pseudogene has been identified on chromosome Y.

Application Notes

Optimal dilution of the Neurofilament Light antibody should be determined by the researcher.

Immunogen

A human recombinant partial protein (amino acids F4-A463) was used as the immunogen for the Neurofilament Light antibody.

Storage

After reconstitution, the Neurofilament Light antibody can be stored for up to one month at 4oC. For long-term, aliquot and store at -20oC. Avoid repeated freezing and thawing.

Cross
Bulk Quote Request Form
Name*:
Organization*:
Email*:
Phone Number*:
Catalog No.*:
Comments and Specifics(amount, formulation, etc.)*:
Validation code: Captchapackage Image


Can't read the image? click here to refresh.
    *required field

Your bulk quote request has been submitted successfully!

Please contact us if you have any questions.