• Tel: 858.663.9055
  • SeparatorEmail: info@nsjbio.com
  • Tel: 858.663.9055
  • Email: info@nsjbio.com
Home >> Antibodies >> Neuralized-like protein 4 Antibody / NEURL4

Neuralized-like protein 4 Antibody / NEURL4 (RQ8242)

  Catalog No Formulation Size Price (USD)  
Image RQ8242 0.5mg/ml if reconstituted with 0.2ml sterile DI water 100 ug 449
Bulk quote request
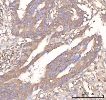
IHC staining of FFPE human rectum adenocarcinoma tissue with Neuralized-like protein 4 antibody. HIER: boil tissue sections in pH8 EDTA for 20 min and allow to cool before testing.
Western blot testing of human 293T cell lysate with Neuralized-like protein 4 antibody. Predicted molecular weight ~167 kDa.
Flow cytometry testing of fixed and permeabilized human U-251 cells with Neuralized-like protein 4 antibody at 1ug/million cells (blocked with goat sera); Red=cells alone, Green=isotype control, Blue= Neuralized-like protein 4 antibody.
Availability 1-3 business days
Species Reactivity Human
Format Antigen affinity purified
Host Rabbit
Clonality Polyclonal (rabbit origin)
Isotype Rabbit IgG
Purity Antigen affinity purified
Buffer Lyophilized from 1X PBS with 2% Trehalose
UniProt Q96JN8
Localization Cytoplasm
Applications Western Blot : 0.5-1ug/ml
Immunohistochemistry (FFPE) : 2-5ug/ml
Flow Cytometry : 1-3ug/million cells
Direct ELISA : 0.1-0.5ug/ml
Limitations This Neuralized-like protein 4 antibody is available for research use only.
Review this product on BioCompare and get a $20 Amazon gift card

Description

Promotes CCP110 ubiquitination and proteasome-dependent degradation. By counteracting accumulation of CP110, maintains normal centriolar homeostasis and preventing formation of ectopic microtubular organizing centers. [UniProt]

Application Notes

Optimal dilution of the Neuralized-like protein 4 antibody should be determined by the researcher.

Immunogen

E. coli-derived recombinant human protein (amino acids E519-E1562) was used as the immunogen for the Neuralized-like protein 4 antibody.

Storage

After reconstitution, the Neuralized-like protein 4 antibody can be stored for up to one month at 4oC. For long-term, aliquot and store at -20oC. Avoid repeated freezing and thawing.

Cross
Bulk Quote Request Form
Name*:
Organization*:
Email*:
Phone Number*:
Catalog No.*:
Comments and Specifics(amount, formulation, etc.)*:
Validation code: Captchapackage Image


Can't read the image? click here to refresh.
    *required field

Your bulk quote request has been submitted successfully!

Please contact us if you have any questions.