• Tel: 858.663.9055
  • SeparatorEmail: info@nsjbio.com
  • Tel: 858.663.9055
  • Email: info@nsjbio.com
Home >> Antibodies >> Neural cell adhesion molecule L1 Antibody / NCAM-L1

Neural cell adhesion molecule L1 Antibody / NCAM-L1 [clone L1CAM/13053R] (V5759)

  Catalog No Formulation Size Price (USD)  
Image V5759-100UG 0.2 mg/ml in 1X PBS with 0.1 mg/ml BSA (US sourced), 0.05% sodium azide 100 ug 559
Image
V5759-20UG 0.2 mg/ml in 1X PBS with 0.1 mg/ml BSA (US sourced), 0.05% sodium azide 20 ug 259
Image
V5759SAF-100UG 1 mg/ml in 1X PBS; BSA free, sodium azide free 100 ug 559
Microvalidated Recrabbitmono
Bulk quote request
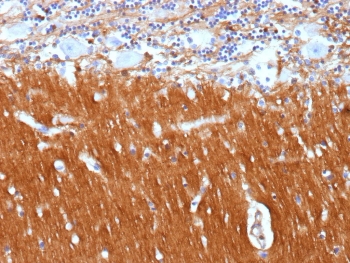
IHC staining of FFPE human brain tissue with Neural cell adhesion molecule L1 antibody (clone L1CAM/13053R). HIER: boil tissue sections in pH 9 10mM Tris with 1mM EDTA for 20 min and allow to cool before testing.
IHC staining of FFPE human brain tissue with Neural cell adhesion molecule L1 antibody (clone L1CAM/13053R). Inset: PBS used in place of primary Ab (secondary Ab negative control). HIER: boil tissue sections in pH 9 10mM Tris with 1mM EDTA for 20 min and allow to cool before testing.
Western blot testing of human brain tissue lysate with Neural cell adhesion molecule L1 antibody (clone L1CAM/13053R). Predicted molecular weight ~140 kDa but can be observed at up to ~240 kDa due to glycosylation.
SDS-PAGE analysis of purified, BSA-free Neural cell adhesion molecule L1 antibody (clone L1CAM/13053R) as confirmation of integrity and purity.
Availability 1-3 business days
Species Reactivity Human
Format Purified
Host Rabbit
Clonality Recombinant Rabbit Monoclonal
Isotype Rabbit IgG, kappa
Clone Name L1CAM/13053R
Purity Protein A affinity
UniProt P32004
Localization Cell surface, Cytoplasm
Applications Immunohistochemistry (FFPE) : 1-2ug/ml
Western Blot : 2-4ug/ml
Limitations This Neural cell adhesion molecule L1 antibody is available for research use only.
Review this product on BioCompare and get a $20 Amazon gift card

Related Products

Description

L1 (L1 cell adhesion molecule) also known as CAML1, CD171, and HSAS is an adhesion molecule which plays an important role in the nervous system development, including neuronal migration and differentiation. Mutations in the gene cause three X-linked neurological syndromes known by the acronym CRASH (corpus callosum hypoplasia, retardation, aphasia, spastic paraplegia and hydrocephalus). This mouse monoclonal antibody recognizes the sequence immediately NH2-terminal to the tyrosine-based motif and binds L1 only when Y1176 is dephosphorylated. Phosphorylation of either T1172 or Y1176 strongly inhibits binding of 74-5H7 to the L1 cytoplasmic domain.

Application Notes

Optimal dilution of the Neural cell adhesion molecule L1 antibody should be determined by the researcher.

Immunogen

A portion of amino acids 600-900 from human L1CAM protein was used as the immunogen for the Neural cell adhesion molecule L1 antibody.

Storage

Aliquot the Neural cell adhesion molecule L1 antibody and store frozen at -20oC or colder. Avoid repeated freeze-thaw cycles.

Cross
Bulk Quote Request Form
Name*:
Organization*:
Email*:
Phone Number*:
Catalog No.*:
Comments and Specifics(amount, formulation, etc.)*:
Validation code: Captchapackage Image


Can't read the image? click here to refresh.
    *required field

Your bulk quote request has been submitted successfully!

Please contact us if you have any questions.