• Tel: 858.663.9055
  • SeparatorEmail: info@nsjbio.com
  • Tel: 858.663.9055
  • Email: info@nsjbio.com
Home >> Antibodies >> NEU2 Antibody

NEU2 Antibody (F41977)

  Catalog No Formulation Size Price (USD)  
Image F41977-0.4ML In 1X PBS, pH 7.4, with 0.09% sodium azide 0.4 ml 439
Image
F41977-0.08ML In 1X PBS, pH 7.4, with 0.09% sodium azide 0.08 ml 205
Bulk quote request
NEU2 antibody western blot analysis in A549 lysate. Predicted molecular weight ~42 kDa.
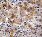
NEU2 antibody immunohistochemistry analysis in formalin fixed and paraffin embedded human liver tissue.
Confocal immunofluorescent analysis of NEU2 antibody with A549 cells followed by Alexa Fluor 488-conjugated goat anti-rabbit lgG (green). Actin filaments have been labeled with Alexa Fluor 555 Phalloidin (red). DAPI was used as a nuclear counterstain (blue).
NEU2 antibody flow cytometric analysis of A549 cells (green) compared to a negative control (blue). FITC-conjugated goat-anti-rabbit secondary Ab was used for the analysis.
Western blot testing of human fetal liver tissue lysate with NEU2 antibody. Predicted molecular weight ~42 kDa.
Western blot testing of human heart tissue lysate with NEU2 antibody. Predicted molecular weight ~42 kDa.
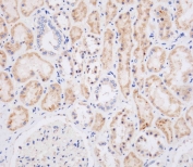
IHC testing of FFPE human kidney tissue with NEU2 antibody. HIER: steam section in pH9 EDTA for 20 min and allow to cool prior to staining.
IHC testing of FFPE human skeletal muscle tissue with NEU2 antibody. HIER: steam section in pH9 EDTA for 20 min and allow to cool prior to staining.
Availability 1-3 business days
Species Reactivity Human
Format Antigen affinity purified
Host Rabbit
Clonality Polyclonal (rabbit origin)
Isotype Rabbit Ig
Purity Antigen affinity
UniProt Q9Y3R4
Applications Western Blot : 1:1000
IHC (Paraffin) : 1:10-1:50
Immunofluorescence : 1:10-1:50
Flow Cytometry : 1:10-1:50
Limitations This NEU2 antibody is available for research use only.
Review this product on BioCompare and get a $20 Amazon gift card

Description

This gene belongs to a family of glycohydrolytic enzymes which remove sialic acid residues from glycoproteins and glycolipids. Expression studies in COS7 cells confirmed that this gene encodes a functional sialidase. Its cytosolic localization was demonstrated by cell fractionation experiments. [provided by RefSeq].

Application Notes

Titration of the NEU2 antibody may be required due to differences in protocols and secondary/substrate sensitivity.

Immunogen

A portion of amino acids 23-50 from the human protein was used as the immunogen for this NEU2 antibody.

Storage

Aliquot the NEU2 antibody and store frozen at -20oC or colder. Avoid repeated freeze-thaw cycles.

Cross
Bulk Quote Request Form
Name*:
Organization*:
Email*:
Phone Number*:
Catalog No.*:
Comments and Specifics(amount, formulation, etc.)*:
Validation code: Captchapackage Image


Can't read the image? click here to refresh.
    *required field

Your bulk quote request has been submitted successfully!

Please contact us if you have any questions.