• Tel: 858.663.9055
  • SeparatorEmail: info@nsjbio.com
  • Tel: 858.663.9055
  • Email: info@nsjbio.com
Home >> Antibodies >> Nestin Antibody / NES

Nestin Antibody / NES (R32111)

  Catalog No Formulation Size Price (USD)  
Image R32111 0.5mg/ml if reconstituted with 0.2ml sterile DI water 100 ug 449
Bulk quote request
Western blot testing of human 1) HeLa and 2) HepG2 cell lysate with Nestin antibody. Predicted molecular weight ~177 kDa but can be observed at up to 280 kDa.
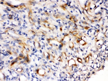
IHC testing of FFPE human melanoma tissue with Nestin antibody. HIER: Boil the paraffin sections in pH 6, 10mM citrate buffer for 20 minutes and allow to cool prior to staining.
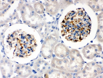
IHC testing of FFPE rat kidney with Nestin antibody. HIER: Boil the paraffin sections in pH 6, 10mM citrate buffer for 20 minutes and allow to cool prior to staining.
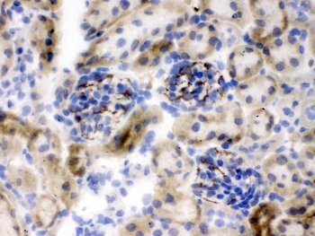
IHC testing of frozen mouse kidney tissue with Nestin antibody.
IHC testing of frozen rat kidney tissue with Nestin antibody.
Availability 1-3 business days
Species Reactivity Human, Mouse, Rat
Format Antigen affinity purified
Host Rabbit
Clonality Polyclonal (rabbit origin)
Isotype Rabbit IgG
Purity Antigen affinity
Buffer Lyophilized from 1X PBS with 2.5% BSA, 0.025% sodium azide
UniProt P48681
Localization Cytoplasmic, membranous
Applications Western Blot : 0.1-0.5ug/ml
IHC (FFPE) : 0.5-1ug/ml
IHC (Frozen) : 0.5-1ug/ml
Limitations This Nestin antibody is available for research use only.
Review this product on BioCompare and get a $20 Amazon gift card

Related Products

Description

Nestin is a type VI intermediate filament (IF) protein that in humans is encoded by the NES gene. Distribution and expression of nestin in mitotically active cells suggests it plays a role in regulation of the assembly and disassembly of intermediate filaments, which, together with other structural proteins, participate in remodeling of the cell. The role of nestin in dynamic cells, particularly structural organization of the cell, appears strictly regulated by phosphorylation, especially its integration into heterogeneous intermediate filaments together with vimentin or α-internexin. Furthermore, nestin expression has been extensively used as a marker for central nervous system (CNS) progenitor cells in different contexts, based on observations indicating a correlation between nestin expression and this cell type in vivo.

Application Notes

Optimal dilution of the Nestin antibody should be determined by the researcher.

Immunogen

Amino acids ERLRATEKFQLAVEALEQEKQGLQSQIAQVLEGRQQLAH of human NES were used as the immunogen for the Nestin antibody.

Storage

After reconstitution, the Nestin antibody can be stored for up to one month at 4oC. For long-term, aliquot and store at -20oC. Avoid repeated freezing and thawing.

Cross
Bulk Quote Request Form
Name*:
Organization*:
Email*:
Phone Number*:
Catalog No.*:
Comments and Specifics(amount, formulation, etc.)*:
Validation code: Captchapackage Image


Can't read the image? click here to refresh.
    *required field

Your bulk quote request has been submitted successfully!

Please contact us if you have any questions.