• Tel: 858.663.9055
  • SeparatorEmail: info@nsjbio.com
  • Tel: 858.663.9055
  • Email: info@nsjbio.com
Home >> Antibodies >> Nestin Antibody

Nestin Antibody (F53752)

  Catalog No Formulation Size Price (USD)  
Image F53752-0.4ML In 1X PBS, pH 7.4, with 0.09% sodium azide 0.4 ml 439
Image
F53752-0.08ML In 1X PBS, pH 7.4, with 0.09% sodium azide 0.08 ml 205
Bulk quote request
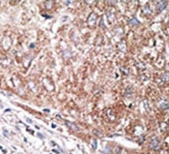
IHC analysis of FFPE human hepatocarcinoma tissue stained with the Nestin antibody.
Immunofluorescence analysis of Nestin antibody and HeLa cells. Primary antibody was followed by Alexa-Fluor-546-conjugated donkey anti-rabbit lgG (H+L). Alexa-Fluor-546 emits orange fluorescence.
Availability 1-3 business days
Species Reactivity Human, Mouse
Format Purified
Host Rabbit
Clonality Polyclonal (rabbit origin)
Isotype Rabbit Ig
Purity Purified
UniProt P48681
Localization Cytoplasmic, membranous
Applications IHC (Paraffin) : 1:50-1:100
Immunofluorescence : 1:10-1:50
Limitations This Nestin antibody is available for research use only.
Review this product on BioCompare and get a $20 Amazon gift card

Related Products

Description

Nestin is a class VI intermediate filament protein expressed predominantly in stem cells of the neural tube but absent from virtually all differentiated CNS cells. In the CNS, nestin is downregulated upon differentiation and replaced by neurofilaments. Transient expression of nestin has been postulated as a key step committing cells to the neural differentiation pathway. Nestin expression has also been observed in pancreatic hematopoietic stem cell populations.

Application Notes

Titration of the Nestin antibody may be required due to differences in protocols and secondary/substrate sensitivity.

Immunogen

A portion of amino acids 1560-1590 from the human protein was used as the immunogen for this Nestin antibody.

Storage

Aliquot the Nestin antibody and store frozen at -20oC or colder. Avoid repeated freeze-thaw cycles.

Cross
Bulk Quote Request Form
Name*:
Organization*:
Email*:
Phone Number*:
Catalog No.*:
Comments and Specifics(amount, formulation, etc.)*:
Validation code: Captchapackage Image


Can't read the image? click here to refresh.
    *required field

Your bulk quote request has been submitted successfully!

Please contact us if you have any questions.