• Tel: 858.663.9055
  • SeparatorEmail: info@nsjbio.com
  • Tel: 858.663.9055
  • Email: info@nsjbio.com
Home >> Antibodies >> NEK9 Antibody / NIMA related kinase 9

NEK9 Antibody / NIMA related kinase 9 (FY12084)

  Catalog No Formulation Size Price (USD)  
Image FY12084 Adding 0.2 ml of distilled water will yield a concentration of 500 ug/ml 100 ug 449
Bulk quote request
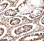
IHC analysis of NEK9 using anti-NEK9 antibody. NEK9 was detected in a paraffin-embedded section of human colon cancer tissue. Heat mediated antigen retrieval was performed in EDTA buffer (pH 8.0, epitope retrieval solution). The tissue section was blocked with 10% goat serum. The tissue section was then incubated with 2 ug/ml rabbit anti-NEK9 antibody overnight at 4oC. Peroxidase Conjugated Goat Anti-rabbit IgG was used as secondary antibody and incubated for 30 minutes at 37oC. The tissue section was developed using an HRP secondary and DAB substrate.
Western blot analysis of NEK9 using anti-NEK9 antibody. Electrophoresis was performed on a 8% SDS-PAGE gel at 80V (Stacking gel) / 120V (Resolving gel) for 2 hours. Lane 1: human Hela whole cell lysates, Lane 2: human HepG2 whole cell lysates, Lane 3: human whole cell lysates. After electrophoresis, proteins were transferred to a nitrocellulose membrane at 150 mA for 50-90 minutes. Blocked the membrane with 5% non-fat milk/TBS for 1.5 hour at RT. The membrane was incubated with rabbit anti-NEK9 antibody at 0.5 ug/ml overnight at 4oC, then washed with TBS-0.1%Tween 3 times with 5 minutes each and probed with a goat anti-rabbit IgG-HRP secondary antibody at a dilution of 1:5000 for 1.5 hour at RT. The signal was developed using an ECL Plus Western Blotting Substrate. The expected band size for NEK9 is at 107 kDa. It is often observed at 110-130 kDa as a broad or doublet band due to phosphorylation.
IHC analysis of NEK9 using anti-NEK9 antibody. NEK9 was detected in a paraffin-embedded section of human colon tissue. Heat mediated antigen retrieval was performed in EDTA buffer (pH 8.0, epitope retrieval solution). The tissue section was blocked with 10% goat serum. The tissue section was then incubated with 2 ug/ml rabbit anti-NEK9 antibody overnight at 4oC. Peroxidase Conjugated Goat Anti-rabbit IgG was used as secondary antibody and incubated for 30 minutes at 37oC. The tissue section was developed using an HRP secondary and DAB substrate.
IHC analysis of NEK9 using anti-NEK9 antibody. NEK9 was detected in a paraffin-embedded section of human breast cancer tissue. Heat mediated antigen retrieval was performed in EDTA buffer (pH 8.0, epitope retrieval solution). The tissue section was blocked with 10% goat serum. The tissue section was then incubated with 2 ug/ml rabbit anti-NEK9 antibody overnight at 4oC. Peroxidase Conjugated Goat Anti-rabbit IgG was used as secondary antibody and incubated for 30 minutes at 37oC. The tissue section was developed using an HRP secondary and DAB substrate.
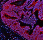
IF analysis of NEK9 using anti-NEK9 antibody (red). NEK9 was detected in a paraffin-embedded section of human colon cancer tissue. Heat mediated antigen retrieval was performed in EDTA buffer (pH 8.0, epitope retrieval solution). The tissue section was blocked with 10% goat serum. The tissue section was then incubated with 5 ug/ml rabbit anti-NEK9 antibody overnight at 4oC. Cy3 Conjugated Goat Anti-Rabbit IgG was used as secondary antibody at 1:500 dilution and incubated for 30 minutes at 37oC. The section was counterstained with DAPI (blue). Visualize using a fluorescence microscope and filter sets appropriate for the label used.
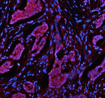
IF analysis of NEK9 using anti-NEK9 antibody (red). NEK9 was detected in a paraffin-embedded section of human breast cancer tissue. Heat mediated antigen retrieval was performed in EDTA buffer (pH 8.0, epitope retrieval solution). The tissue section was blocked with 10% goat serum. The tissue section was then incubated with 5 ug/ml rabbit anti-NEK9 antibody overnight at 4oC. Cy3 Conjugated Goat Anti-Rabbit IgG was used as secondary antibody at 1:500 dilution and incubated for 30 minutes at 37oC. The section was counterstained with DAPI (blue). Visualize using a fluorescence microscope and filter sets appropriate for the label used.
Flow Cytometry analysis of HepG2 cells using anti-NEK9 antibody. Overlay histogram showing HepG2 cells stained with (Blue line). To facilitate intracellular staining, cells were fixed with 4% paraformaldehyde and permeabilized with permeabilization buffer. The cells were blocked with 10% normal goat serum. And then incubated with rabbit anti-NEK9 antibody (1 ug/million cells) for 30 min at 20oC. DyLight 488 conjugated goat anti-rabbit IgG (5-10 ug/million cells) was used as secondary antibody for 30 minutes at 20oC. Isotype control antibody (Green line) was rabbit IgG (1 ug/million cells) used under the same conditions. Unlabelled sample without incubation with primary antibody and secondary antibody (Red line) was used as a blank control.
Availability 1-2 days
Species Reactivity Human
Format Lyophilized
Host Rabbit
Clonality Polyclonal (rabbit origin)
Isotype Rabbit IgG
Purity Immunogen affinity purified
Buffer Each vial contains 4 mg Trehalose, 0.9 mg NaCl, 0.2 mg Na2HPO4.
UniProt Q8TD19
Applications Western Blot : 0.25-0.5ug/ml
Immunohistochemistry : 2-5ug/ml
Immunofluorescence : 5ug/ml
Flow Cytometry : 1-3ug/million cells
ELISA : 0.1-0.5ug/ml
Limitations This NEK9 antibody is available for research use only.
Review this product on BioCompare and get a $20 Amazon gift card

Description

NEK9 antibody detects NIMA related kinase 9, encoded by the NEK9 gene. NIMA related kinase 9 is a serine/threonine protein kinase involved in centrosome separation, spindle assembly, and mitotic progression. NEK9 antibody provides researchers with a specialized reagent for studying cell cycle regulation, mitosis, and cancer biology.

NIMA related kinase 9 belongs to the NIMA related kinase family and is activated by phosphorylation at the onset of mitosis. Research using NEK9 antibody has shown that NEK9 interacts with NEK6 and NEK7, forming a kinase cascade that regulates spindle organization and microtubule stability. This cascade ensures accurate chromosome segregation and completion of mitosis, preventing genomic instability.

Studies with NEK9 antibody have revealed that depletion of NEK9 disrupts centrosome separation, leading to monopolar spindle formation and mitotic arrest. These defects contribute to chromosome missegregation, aneuploidy, and cell death. The essential role of NEK9 in mitosis underscores its importance in proliferating tissues.

Dysregulation of NIMA related kinase 9 has been associated with cancer, developmental disorders, and inflammatory signaling. Research using NEK9 antibody has shown that overexpression or amplification occurs in gliomas and breast cancer, promoting proliferation and survival. Mutations and loss of NEK9 function have been linked to skeletal dysplasia and microcephaly, illustrating its diverse biological significance.

Beyond mitosis, research using NEK9 antibody has highlighted roles in DNA damage response and stress signaling. NEK9 phosphorylates proteins involved in checkpoint activation and stress pathways, suggesting functions beyond spindle regulation. These findings broaden its importance across cell biology.

NEK9 antibody is commonly used in western blotting, immunohistochemistry, and immunofluorescence. Western blotting quantifies kinase expression in proliferating tissues, immunohistochemistry demonstrates distribution in tumors, and immunofluorescence highlights centrosomal localization during mitosis. These applications make NEK9 antibody indispensable for cell cycle and cancer research.

By providing validated NEK9 antibody reagents, NSJ Bioreagents supports studies into mitotic regulation, checkpoint signaling, and disease. Detection of NIMA related kinase 9 provides researchers with insight into how kinases regulate chromosome segregation and survival.

Application Notes

Optimal dilution of the NEK9 antibody should be determined by the researcher.

Immunogen

E.coli-derived human NEK9 recombinant protein (Position: K81-K945) was used as the immunogen for the NEK9 antibody.

Storage

After reconstitution, the NEK9 antibody can be stored for up to one month at 4oC. For long-term, aliquot and store at -20oC. Avoid repeated freezing and thawing.

Cross
Bulk Quote Request Form
Name*:
Organization*:
Email*:
Phone Number*:
Catalog No.*:
Comments and Specifics(amount, formulation, etc.)*:
Validation code: Captchapackage Image


Can't read the image? click here to refresh.
    *required field

Your bulk quote request has been submitted successfully!

Please contact us if you have any questions.