• Tel: 858.663.9055
  • SeparatorEmail: info@nsjbio.com
  • Tel: 858.663.9055
  • Email: info@nsjbio.com
Home >> Antibodies >> NEK5 Antibody / NimA-related protein kinase 5

NEK5 Antibody / NimA-related protein kinase 5 (FY12391)

  Catalog No Formulation Size Price (USD)  
Image FY12391 Adding 0.2 ml of distilled water will yield a concentration of 500 ug/ml 100 ug 449
Bulk quote request
Immunofluorescent staining of NEK5 using anti-NEK5 antibody (green) and anti-Beta Tubulin antibody (red). NEK5 was detected in an immunocytochemical section of NIH/3T3 cells. Enzyme antigen retrieval was performed using IHC enzyme antigen retrieval reagent for 15 mins. The cells were blocked with 10% goat serum. And then incubated with 5 ug/ml rabbit anti-NEK5 antibody and mouse anti-Beta Tubulin antibody overnight at 4oC. DyLight 488 Conjugated Goat Anti-Rabbit IgG and Cy3 Conjugated Goat Anti-Mouse IgG were used as secondary antibody at 1:500 dilution and incubated for 30 minutes at 37oC. Visualize using a fluorescence microscope and filter sets appropriate for the label used.
Western blot analysis of NEK5 using anti-NEK5 antibody. Electrophoresis was performed on a 10% SDS-PAGE gel at 80V (Stacking gel) / 120V (Resolving gel) for 2 hours. Lane 1: rat lung tissue lysates, Lane 2: rat C6 whole cell lysates, Lane 3: mouse brain tissue lysates, Lane 4: mouse lung tissue lysates, Lane 5: mouse ovary tissue lysates, Lane 6: mouse LLC whole cell lysates. After electrophoresis, proteins were transferred to a nitrocellulose membrane at 150 mA for 50-90 minutes. Blocked the membrane with 5% non-fat milk/TBS for 1.5 hour at RT. The membrane was incubated with rabbit anti-NEK5 antibody at 0.5 ug/ml overnight at 4oC, then washed with TBS-0.1%Tween 3 times with 5 minutes each and probed with a goat anti-rabbit IgG-HRP secondary antibody at a dilution of 1:5000 for 1.5 hour at RT. The signal was developed using an ECL Plus Western Blotting Substrate. The expected molecular weight of NEK5 is ~81 kDa.
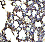
Immunohistochemical staining of NEK5 using anti-NEK5 antibody. NEK5 was detected in a paraffin-embedded section of rat lung tissue. Heat mediated antigen retrieval was performed in EDTA buffer (pH 8.0, epitope retrieval solution). The tissue section was blocked with 10% goat serum. The tissue section was then incubated with 2 ug/ml rabbit anti-NEK5 antibody overnight at 4oC. Peroxidase Conjugated Goat Anti-rabbit IgG was used as secondary antibody and incubated for 30 minutes at 37oC. The tissue section was developed using an HRP secondary and DAB substrate.
Immunohistochemical staining of NEK5 using anti-NEK5 antibody. NEK5 was detected in a paraffin-embedded section of mouse lung tissue. Heat mediated antigen retrieval was performed in EDTA buffer (pH 8.0, epitope retrieval solution). The tissue section was blocked with 10% goat serum. The tissue section was then incubated with 2 ug/ml rabbit anti-NEK5 antibody overnight at 4oC. Peroxidase Conjugated Goat Anti-rabbit IgG was used as secondary antibody and incubated for 30 minutes at 37oC. The tissue section was developed using an HRP secondary and DAB substrate.
Availability 1-2 days
Species Reactivity Mouse, Rat
Format Lyophilized
Host Rabbit
Clonality Polyclonal (rabbit origin)
Isotype Rabbit IgG
Purity Immunogen affinity purified
Buffer Each vial contains 4 mg Trehalose, 0.9 mg NaCl, 0.2 mg Na2HPO4.
UniProt Q7TSC3
Localization Nuclear, cytoplasmic
Applications Western Blot : 0.25-0.5ug/ml
Immunohistochemistry : 2-5ug/ml
Immunocytochemistry/Immunofluorescence : 5ug/ml
ELISA : 0.1-0.5ug/ml
Limitations This NEK5 antibody is available for research use only.
Review this product on BioCompare and get a $20 Amazon gift card

Description

The NEK5 antibody targets Serine/threonine-protein kinase Nek5, an enzyme encoded by the NEK5 gene and belonging to the NIMA-related kinase (NEK) family. These kinases regulate cell cycle progression, centrosome dynamics, and DNA damage responses. Serine/threonine-protein kinase Nek5 is implicated in maintaining mitochondrial integrity, regulating apoptosis, and coordinating mitotic entry. The NEK5 antibody provides a valuable reagent for studying kinase signaling networks that ensure genomic stability and cellular homeostasis.

Serine/threonine-protein kinase Nek5 contains an N-terminal catalytic domain with conserved motifs for ATP binding and phosphorylation activity, and a C-terminal region responsible for subcellular localization and protein interactions. It localizes to centrosomes and mitochondria, suggesting dual functions in cell division and energy metabolism. The NEK5 antibody supports studies of these distinct localizations, allowing researchers to examine how Nek5 activity integrates cell-cycle control with mitochondrial health. Evidence indicates that Nek5 contributes to the initiation of centrosome disjunction, ensuring proper spindle formation during mitosis.

Beyond its role in mitotic regulation, Serine/threonine-protein kinase Nek5 has emerged as a mediator of mitochondrial dynamics and apoptosis resistance. It stabilizes mitochondrial membrane potential and reduces reactive oxygen species accumulation, linking Nek5 function to cellular stress adaptation. The NEK5 antibody helps reveal how mitochondrial Nek5 signaling intersects with pathways involving BCL2 family proteins and caspase activation. Studies have suggested that loss of Nek5 increases sensitivity to oxidative damage and promotes apoptotic cell death, highlighting its potential importance in tissue homeostasis and neuroprotection.

Aberrant Nek5 expression or activity may contribute to cancer development and progression. Overexpression has been observed in several tumor types, including breast and prostate cancers, where it may promote survival under genotoxic stress. The NEK5 antibody supports exploration of these oncogenic associations, enabling analysis of protein levels, phosphorylation status, and subcellular distribution in tumor models. Functional studies continue to investigate Nek5 as a possible target for kinase inhibition strategies aimed at restoring mitotic fidelity and limiting tumor growth.

The NEK5 antibody performs effectively in western blotting, immunofluorescence, and immunohistochemistry. It yields strong centrosomal and mitochondrial staining consistent with its dual localization. NSJ Bioreagents provides this antibody as a validated, high-specificity reagent for cellular and molecular biology research. By supporting detailed analysis of Serine/threonine-protein kinase Nek5 expression and signaling, the NEK5 antibody contributes to understanding of mitotic regulation, mitochondrial health, and cancer cell survival mechanisms.

Application Notes

Optimal dilution of the NEK5 antibody should be determined by the researcher.

Immunogen

E.coli-derived mouse NEK5 recombinant protein (Position: K22-Q627) was used as the immunogen for the NEK5 antibody.

Storage

After reconstitution, the NEK5 antibody can be stored for up to one month at 4oC. For long-term, aliquot and store at -20oC. Avoid repeated freezing and thawing.

Cross
Bulk Quote Request Form
Name*:
Organization*:
Email*:
Phone Number*:
Catalog No.*:
Comments and Specifics(amount, formulation, etc.)*:
Validation code: Captchapackage Image


Can't read the image? click here to refresh.
    *required field

Your bulk quote request has been submitted successfully!

Please contact us if you have any questions.