• Tel: 858.663.9055
  • SeparatorEmail: info@nsjbio.com
  • Tel: 858.663.9055
  • Email: info@nsjbio.com
Home >> Antibodies >> NEDD8 Antibody

NEDD8 Antibody (R32590)

  Catalog No Formulation Size Price (USD)  
Image R32590 0.5mg/ml if reconstituted with 0.2ml sterile DI water 100 ug 449
Bulk quote request
Immunofluorescent staining of FFPE human A431 cells with NEDD8 antibody (green) and DAPI nuclear stain (blue). HIER: steam section in pH6 citrate buffer for 20 min.
IHC testing of FFPE human lung cancer tissue with NEDD8 antibody at 1ug/ml. HIER: steam section in pH6 citrate buffer for 20 min.
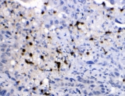
IHC testing of FFPE human lung cancer tissue with NEDD8 antibody at 1ug/ml. HIER: steam section in pH6 citrate buffer for 20 min.
Flow cytometry testing of human A431 cells with NEDD8 antibody at 1ug/10^6 cells (blocked with goat sera); Red=cells alone, Green=isotype control, Blue= NEDD8 antibody.
Western blot testing of 1) rat testis, 2) mouse thymus, 3) mouse brain, 4) human HeLa and 5) human MCF7 lysate with NEDD8 antibody at 0.5ug/ml. Predicted molecular weight ~9 kDa.
Availability 1-3 business days
Species Reactivity Human, Mouse, Rat
Format Antigen affinity purified
Host Rabbit
Clonality Polyclonal (rabbit origin)
Isotype Rabbit IgG
Purity Antigen affinity
Buffer Lyophilized from 1X PBS with 2.5% BSA and 0.025% sodium azide
UniProt Q15843
Localization Nuclear, cytoplasmic
Applications Western Blot : 0.5-1ug/ml
Immunohistochemistry (FFPE) : 1-2ug/ml
Flow Cytometry : 1-3ug/10^6 cells
Immunofluorescence (FFPE) : 2-4ug/ml
Limitations This NEDD8 antibody is available for research use only.
Review this product on BioCompare and get a $20 Amazon gift card

Related Products

  • Applications : WB, IHC, ELISA
    Reactivity : Human
    Pred. Reactivity : Mouse, Rat, Bovine, Rabbit
  • Applications : IHC-P
    Reactivity : Zebrafish

Description

NEDD8 is a protein that in humans is encoded by the NEDD8 gene. Human NEDD8 shares 60% amino acid sequence identity to ubiquitin. The most substrates of NEDD8 modification are the Cullin subunits of Cullin-based E3 ubiquitin ligases, which are active only when neddylated. Their NEDDylation is critical for the recruitment of E2 to the ligase complex, thus facilitating ubiquitin conjugation. NEDD8 modification has therefore been implicated in cell cycle progression and cytoskeletal regulation.

Application Notes

Optimal dilution of the NEDD8 antibody should be determined by the researcher.

Immunogen

Amino acids 20-60 (TDKVERIKERVEEKEGIPPQQQRLIYSGKQMNDEKTAADYK-human) were used as the immunogen for the NEDD8 antibody.

Storage

After reconstitution, the NEDD8 antibody can be stored for up to one month at 4oC. For long-term, aliquot and store at -20oC. Avoid repeated freezing and thawing.

Cross
Bulk Quote Request Form
Name*:
Organization*:
Email*:
Phone Number*:
Catalog No.*:
Comments and Specifics(amount, formulation, etc.)*:
Validation code: Captchapackage Image


Can't read the image? click here to refresh.
    *required field

Your bulk quote request has been submitted successfully!

Please contact us if you have any questions.