• Tel: 858.663.9055
  • SeparatorEmail: info@nsjbio.com
  • Tel: 858.663.9055
  • Email: info@nsjbio.com
Home >> Antibodies >> NEDD4 Antibody for IF / NEDD4 Immunofluorescence Antibody

NEDD4 Antibody for IF / NEDD4 Immunofluorescence Antibody (RQ7237)

  Catalog No Formulation Size Price (USD)  
Image RQ7237 0.5mg/ml if reconstituted with 0.2ml sterile DI water 100 ug 449
Bulk quote request
NEDD4 Antibody for IF Skeletal Muscle Tissue Immunofluorescence. Immunofluorescence analysis of Neural precursor cell expressed developmentally down-regulated protein 4 (NEDD4) in FFPE mouse skeletal muscle tissue using NEDD4 Antibody for IF. The antibody produces red cytoplasmic and membrane-associated staining (red) outlining muscle fiber architecture, consistent with NEDD4 localization in muscle cell compartments involved in protein turnover and membrane dynamics, while nuclei are counterstained with DAPI (blue). HIER: steam section in pH8 EDTA buffer for 20 min.
NEDD4 Antibody Mouse Muscle Tissue IHC. Immunohistochemistry staining of FFPE mouse skeletal muscle tissue with NEDD4 antibody. HIER: boil tissue sections in pH8 EDTA for 20 min and allow to cool before testing.
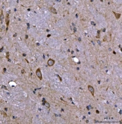
NEDD4 Antibody Brain IHC Rat Neuronal Cytoplasmic Staining. Immunohistochemistry analysis of Neural precursor cell expressed developmentally down-regulated protein 4 / NEDD4 in FFPE rat brain tissue using NEDD4 Antibody for IHC. HRP-DAB brown chromogenic staining demonstrates cytoplasmic localization within neuronal cell bodies distributed throughout the tissue, with surrounding neuropil showing lighter background signal. HIER: boil tissue sections in pH8 EDTA for 20 min and allow to cool before testing.
NEDD4 Antibody Rat Brain Tissue IHC Neuronal Distribution Pattern. Immunohistochemistry analysis of Neural precursor cell expressed developmentally down-regulated protein 4 / NEDD4 in FFPE rat brain tissue using NEDD4 Antibody for IHC. Brown HRP-DAB staining highlights scattered neuronal populations with distinct cell body labeling and minimal staining in non-neuronal regions, consistent with NEDD4 expression in neural tissue. HIER: boil tissue sections in pH8 EDTA for 20 min and allow to cool before testing.
NEDD4 Antibody WB. Western blot testing of 1) rat L6, 2) mouse skeletal muscle, 3) mouse lung and 4) mouse B16-F10 cell lysate with NEDD4 antibody. Predicted molecular weight ~149 kDa; commonly observed at 110-149 kDa with a possible ~95 kDa cleavage band.
NEDD4 Antibody FACS. Flow cytometry testing of mouse HEPA1-6 cells with NEDD4 antibody at 1ug/million cells (blocked with goat sera); Red=cells alone, Green=isotype control, Blue= NEDD4 antibody.
Availability 1-3 business days
Species Reactivity Mouse, Rat
Format Antigen affinity purified
Host Rabbit
Clonality Polyclonal (rabbit origin)
Isotype Rabbit IgG
Purity Antigen affinity purified
Buffer Lyophilized from 1X PBS with 2% Trehalose
UniProt P46935
Localization Cytoplasmic, nuclear, cell membrane
Applications Western Blot : 0.5-1ug/ml
Immunohistochemistry (FFPE) : 2-5ug/ml
Flow Cytometry : 1-3ug/million cells
Direct ELISA : 0.1-0.5ug/ml
Limitations This NEDD4 Antibody for IF / NEDD4 Immunofluorescence Antibody is available for research use only.
Review this product on BioCompare and get a $20 Amazon gift card

Related Products

  • Applications : WB, IHC, FACS, ELISA
    Reactivity : Human, Mouse
    Pred. Reactivity : Rat
  • Applications : WB, ELISA
    Reactivity : Human, Mouse, Rat
  • Applications : WB, IHC-P, IF, FACS, Direct ELISA
    Reactivity : Human, Rat

Description

NEDD4 Antibody for IF detects Neural precursor cell expressed developmentally down-regulated protein 4 (NEDD4), an E3 ubiquitin ligase that plays a central role in regulating protein turnover and membrane trafficking. NEDD4 is predominantly localized to cytoplasmic and membrane-associated compartments where it mediates ubiquitination of target proteins involved in receptor internalization, vesicular transport, and signal transduction. A NEDD4 Antibody for IF enables visualization of these spatial distribution patterns in fixed cells and tissues, supporting high-resolution analysis of protein localization in mouse and rat systems.

Nedd4 antibody, also referred to as NEDD4 antibody and E3 ubiquitin protein ligase NEDD4 antibody in the literature, recognizes a HECT-domain containing ubiquitin ligase characterized by multiple WW domains that mediate interactions with substrate proteins. These domains allow NEDD4 to bind proline-rich motifs and regulate a wide range of targets, including membrane receptors, ion channels, and signaling adaptors. In immunofluorescence applications, NEDD4 frequently demonstrates cytoplasmic and perimembranous localization, with punctate staining patterns associated with endocytic vesicles and intracellular trafficking pathways.

NEDD4 plays an essential role in coordinating membrane protein dynamics, including ubiquitin-dependent sorting, endocytosis, and degradation of cell surface proteins. In rodent cells and tissues, its localization can shift in response to cellular activation, stress, or signaling events, reflecting its involvement in dynamic regulatory processes. Immunofluorescence staining with a NEDD4 Antibody for IF provides critical insight into these processes by revealing subcellular distribution within vesicular compartments, cytosol, and membrane-associated regions.

Beyond trafficking, NEDD4 is implicated in neuronal development, muscle physiology, and epithelial cell regulation. Its activity influences cellular architecture and signaling networks through spatially controlled ubiquitination events. Because these functions are tightly linked to localization, immunofluorescence-based detection is particularly valuable for studying NEDD4 biology. This NEDD4 Antibody for IF is well suited for examining subcellular localization and protein trafficking mechanisms in mouse and rat models and supports research into ubiquitin-mediated regulatory pathways.

This NEDD4 antibody is part of a broader antibody panel offered by NSJ Bioreagents.

Application Notes

Optimal dilution of the NEDD4 Antibody for IF / NEDD4 Immunofluorescence Antibody should be determined by the researcher.

Immunogen

Recombinant mouse protein (amino acids A7-L655) was used as the immunogen for the NEDD4 antibody.

Storage

After reconstitution, the NEDD4 antibody can be stored for up to one month at 4oC. For long-term, aliquot and store at -20oC. Avoid repeated freezing and thawing.

Alternate Names

NEDD4 antibody, Nedd4 antibody, Neural precursor cell expressed developmentally down-regulated 4 antibody, E3 ubiquitin protein ligase NEDD4 antibody

Cross
Bulk Quote Request Form
Name*:
Organization*:
Email*:
Phone Number*:
Catalog No.*:
Comments and Specifics(amount, formulation, etc.)*:
Validation code: Captchapackage Image


Can't read the image? click here to refresh.
    *required field

Your bulk quote request has been submitted successfully!

Please contact us if you have any questions.