• Tel: 858.663.9055
  • SeparatorEmail: info@nsjbio.com
  • Tel: 858.663.9055
  • Email: info@nsjbio.com
Home >> Antibodies >> Nectin cell adhesion molecule 4 Antibody / NECTIN4

Nectin cell adhesion molecule 4 Antibody / NECTIN4 [clone NECTIN4/9906] (V6025)

  Catalog No Formulation Size Price (USD)  
Image V6025-100UG 0.2 mg/ml in 1X PBS with 0.05% BSA, 0.05% sodium azide 100 ug 559
Image
V6025-20UG 0.2 mg/ml in 1X PBS with 0.05% BSA, 0.05% sodium azide 20 ug 259
Image
V6025SAF-100UG 1 mg/ml in 1X PBS; BSA free, sodium azide free 100 ug 559
Bulk quote request
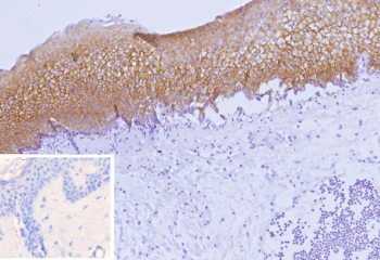
Immunohistochemistry analysis of Nectin cell adhesion molecule 4 / NECTIN4 antibody (clone NECTIN4/9906) in human skin tissue. Formalin-fixed, paraffin-embedded skin demonstrates strong membranous HRP-DAB brown staining within the epidermal keratinocyte layer, outlining cell-cell borders consistent with surface localization of Nectin-4. The underlying dermis shows minimal staining, supporting epithelial-restricted expression. Hematoxylin counterstain highlights tissue morphology and nuclei. The inset shows PBS used in place of primary antibody as a negative control, confirming absence of non-specific secondary antibody binding. Heat-induced epitope retrieval was performed by heating tissue sections in 10 mM Tris with 1 mM EDTA, pH 9.0, for 45 minutes at 95oC followed by cooling at room temperature for 20 minutes prior to staining.
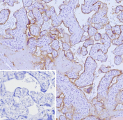
Immunohistochemistry analysis of Nectin cell adhesion molecule 4 / NECTIN4 antibody (clone NECTIN4/9906) in human placental tissue. Formalin-fixed, paraffin-embedded placenta demonstrates membranous HRP-DAB brown staining outlining trophoblastic cells within chorionic villi, consistent with surface localization of Nectin-4. The staining pattern highlights cell-cell borders with minimal background in stromal regions. Hematoxylin counterstain delineates nuclear morphology and villous architecture. The inset shows PBS used in place of primary antibody as a negative control, confirming absence of non-specific secondary antibody binding. Heat-induced epitope retrieval was performed by heating tissue sections in 10 mM Tris with 1 mM EDTA, pH 9.0, for 45 minutes at 95oC followed by cooling at room temperature for 20 minutes prior to staining.
Western blot analysis of Nectin cell adhesion molecule 4 / NECTIN4 antibody (clone NECTIN4/9906) in human A-431 and MCF7 cell lysates. A distinct band is detected at approximately 60-70 kDa in both lanes, consistent with the predicted molecular weight of Nectin-4, a glycosylated type I transmembrane protein. The observed migration slightly above the core predicted size is consistent with known N-linked glycosylation of NECTIN4. Band intensity is comparable between A-431 and MCF7 cells, supporting expression in epithelial-derived tumor cell lines.
Protein microarray specificity analysis of Nectin cell adhesion molecule 4 / NECTIN4 antibody (clone NECTIN4/9906). The antibody was screened against a protein array containing more than 19,000 full-length human proteins. PVRL4 ranked as the top hit with a Z-score of 105.73 and an S-score of 79.68, indicating highly specific recognition of the intended target. The next highest signals, including DNAI2_frag and SHFM1, showed substantially lower Z-scores and minimal S-scores, supporting target selectivity. The Z-score reflects the signal strength generated when the monoclonal antibody, in combination with a fluorescently labeled anti-IgG secondary antibody, binds to a specific protein on the array. Z-scores are expressed as standard deviations above the mean signal intensity across the array. The S-score represents the difference between the Z-score of the top-ranked protein and the next highest ranked protein, providing a measure of relative specificity. An S-score of 2.5 or greater is generally considered indicative of target-specific binding. The high S-score observed for PVRL4 demonstrates strong specificity of clone NECTIN4/9906 for Nectin-4.
SDS-PAGE Analysis of Purified Nectin cell adhesion molecule 4/NECTIN4 antibody (NECTIN4/9906). Confirmation of Purity and Integrity of Antibody.
Species Reactivity Human
Format Purified
Host Mouse
Clonality Monoclonal (mouse origin)
Isotype Mouse IgG1, kappa
Clone Name NECTIN4/9906
UniProt Q96NY8
Localization Adherens junction, Cell junction, Cell membrane, Secreted
Applications Immunohistochemistry (FFPE) : 1-2ug/ml
Western Blot : 2-4ug/ml
Limitations This Nectin cell adhesion molecule 4/NECTIN4 antibody is available for research use only.
Review this product on BioCompare and get a $20 Amazon gift card

Related Products

Description

Nectin cell adhesion molecule 4 antibody, also known as NECTIN4 antibody, recognizes Nectin cell adhesion molecule 4, a type I transmembrane glycoprotein encoded by the NECTIN4 gene. Commonly referred to as Nectin-4 and also known as Poliovirus receptor related 4 (PVRL4), this protein is a member of the nectin family within the immunoglobulin superfamily. NECTIN4 localizes primarily to the plasma membrane at adherens junctions, where it mediates Ca2+-independent cell-cell adhesion and contributes to epithelial tissue integrity. Nectin cell adhesion molecule 4 antibody is widely used in studies of epithelial organization, cell polarity, and tumor-associated membrane protein expression.

NECTIN4 contains three extracellular immunoglobulin-like domains, a single transmembrane region, and a cytoplasmic tail that interacts with intracellular adaptor proteins involved in junction assembly and cytoskeletal linkage. Through homophilic and heterophilic interactions with other nectin family members, Nectin cell adhesion molecule 4 regulates adhesion strength, cell sorting, and tissue morphogenesis. In normal tissues, expression is relatively restricted, with detectable levels in skin, placenta, and select epithelial compartments. During development, nectin family proteins play roles in coordinated cell positioning and junctional maturation.

Overexpression of NECTIN4 has been reported in several epithelial malignancies, including urothelial carcinoma, breast cancer, lung cancer, and ovarian cancer. Elevated membrane expression has been associated with enhanced proliferation and tumor progression, supporting its relevance as a biomarker in oncology research. Immunostaining typically demonstrates membranous localization in positive tumor cells, consistent with its function as a cell surface adhesion molecule. Clone NECTIN4/9906 is designed to detect Nectin cell adhesion molecule 4 in research applications and supports investigation of epithelial adhesion dynamics, tumor biology, and membrane-associated signaling pathways.

Application Notes

Optimal dilution of the Nectin cell adhesion molecule 4/NECTIN4 antibody should be determined by the researcher.

Immunogen

A recombinant fragment (around amino acids 1-200) of human NECTIN4 protein (exact sequence is proprietary) was used as the immunogen for the Nectin cell adhesion molecule 4/NECTIN4 antibody.

Storage

Nectin cell adhesion molecule 4/NECTIN4 antibody with sodium azide - store at 2 to 8oC; antibody without sodium azide - store at -20 to -80oC.

Cross
Bulk Quote Request Form
Name*:
Organization*:
Email*:
Phone Number*:
Catalog No.*:
Comments and Specifics(amount, formulation, etc.)*:
Validation code: Captchapackage Image


Can't read the image? click here to refresh.
    *required field

Your bulk quote request has been submitted successfully!

Please contact us if you have any questions.