• Tel: 858.663.9055
  • SeparatorEmail: info@nsjbio.com
  • Tel: 858.663.9055
  • Email: info@nsjbio.com
Home >> Antibodies >> NECAB1 Antibody / N-terminal EF-hand calcium binding protein 1

NECAB1 Antibody / N-terminal EF-hand calcium binding protein 1 [clone NECAB1/7680] (V5255)

  Catalog No Formulation Size Price (USD)  
Image V5255-100UG 0.2 mg/ml in 1X PBS with 0.1 mg/ml BSA (US sourced), 0.05% sodium azide 100 ug 559
Image
V5255-20UG 0.2 mg/ml in 1X PBS with 0.1 mg/ml BSA (US sourced), 0.05% sodium azide 20 ug 259
Image
V5255SAF-100UG 1 mg/ml in 1X PBS; BSA free, sodium azide free 100 ug 559
Bulk quote request
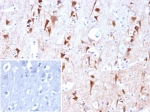
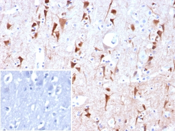
IHC staining of FFPE human brain tissue with NECAB1 antibody (clone NECAB1/7680). Inset: PBS used in place of primary Ab (secondary Ab negative control). HIER: boil tissue sections in pH 9 10mM Tris with 1mM EDTA for 20 min and allow to cool before testing.
IHC staining of FFPE human brain tissue with NECAB1 antibody (clone NECAB1/7680). HIER: boil tissue sections in pH 9 10mM Tris with 1mM EDTA for 20 min and allow to cool before testing.
SDS-PAGE analysis of purified, BSA-free NECAB1 antibody (clone NECAB1/7680) as confirmation of integrity and purity.
Western blot testing of human brain tissue lysate with NECAB1 antibody. Predicted molecular weight ~41 kDa.
Availability 1-3 business days
Species Reactivity Human
Format Purified
Host Mouse
Clonality Monoclonal (mouse origin)
Isotype Mouse IgG
Clone Name NECAB1/7680
Purity Protein A/G affinity
UniProt Q8N987
Localization Nucleus, Cytoplasm
Applications Immunohistochemistry (FFPE) : 1-2ug/ml for 30 min at RT
Western Blot : 2-4ug/ml
Limitations This NECAB1 antibody is available for research use only.
Review this product on BioCompare and get a $20 Amazon gift card

Related Products

Description

Members of the EF-CBP (N-terminal EF-hand calcium binding protein)/NECAB (neuronal calcium-binding protein) family participate in neuronal calcium signaling. EF-CBP1 (N-terminal EF-hand calcium binding protein 1), also known as STIP-1 or neuronal calcium-binding protein 1 (NECAB1), is a 351 amino acid cytoplasmic protein that contains one antibiotic biosynthesis monooxygenase (ABM) domain and 2 EF-hand domains. Expressed in brain, EF-CBP1 interacts with copine 6 and Syntaxin, and exists as two alternatively spliced isoforms. The gene encoding EF-CBP1 maps to human chromosome 8, which consists of nearly 146 million base pairs, encodes over 800 genes and is associated with a variety of diseases and malignancies. Schizophrenia, bipolar disorder, Trisomy 8, Pfeiffer syndrome, congenital hypothyroidism, Waardenburg syndrome and some leukemias and lymphomas are thought to occur as a result of defects in specific genes that map to chromosome 8.

Application Notes

Optimal dilution of the NECAB1 antibody should be determined by the researcher.

Immunogen

Recombinant human NECAB1 protein was used as the immunogen for the NECAB1 antibody.

Storage

Aliquot the NECAB1 antibody and store frozen at -20oC or colder. Avoid repeated freeze-thaw cycles.

Cross
Bulk Quote Request Form
Name*:
Organization*:
Email*:
Phone Number*:
Catalog No.*:
Comments and Specifics(amount, formulation, etc.)*:
Validation code: Captchapackage Image


Can't read the image? click here to refresh.
    *required field

Your bulk quote request has been submitted successfully!

Please contact us if you have any questions.