• Tel: 858.663.9055
  • SeparatorEmail: info@nsjbio.com
  • Tel: 858.663.9055
  • Email: info@nsjbio.com
Home >> Antibodies >> NDUFS6 Antibody / NADH-ubiquinone oxidoreductase 13 kDa-A subunit

NDUFS6 Antibody / NADH-ubiquinone oxidoreductase 13 kDa-A subunit (RQ7235)

  Catalog No Formulation Size Price (USD)  
Image RQ7235 0.5mg/ml if reconstituted with 0.2ml sterile DI water 100 ug 449
Bulk quote request
Western blot testing of 1) rat brain, 2) rat heart, 3) rat kidney, 4) rat liver, 5) mouse brain, 6) mouse heart, 7) mouse kidney and 8) mouse liver tissue lysate with NDUFS6 antibody. Expected molecular weight ~13 kDa.
Western blot testing of human 1) HepG2, 2) HUH-7, 3) HCCT and 4) HCCP cell lysate with NDUFS6 antibody. Expected molecular weight ~13 kDa.
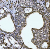
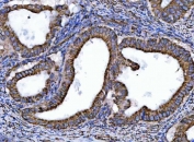
IHC staining of FFPE human ovarian cancer tissue with NDUFS6 antibody. HIER: boil tissue sections in pH8 EDTA for 20 min and allow to cool before testing.
IHC staining of FFPE human breast cancer tissue with NDUFS6 antibody. HIER: boil tissue sections in pH8 EDTA for 20 min and allow to cool before testing.
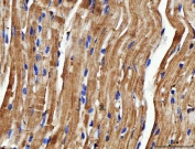
IHC staining of FFPE mouse heart tissue with NDUFS6 antibody. HIER: boil tissue sections in pH8 EDTA for 20 min and allow to cool before testing.
Flow cytometry testing of human HeLa cells with NDUFS6 antibody at 1ug/million cells (blocked with goat sera); Red=cells alone, Green=isotype control, Blue= NDUFS6 antibody.
Availability 1-3 business days
Species Reactivity Human, Mouse, Rat
Format Antigen affinity purified
Host Rabbit
Clonality Polyclonal (rabbit origin)
Isotype Rabbit IgG
Purity Antigen affinity purified
Buffer Lyophilized from 1X PBS with 2% Trehalose
UniProt O75380
Localization Cytoplasmic (mitochondria)
Applications Western Blot : 0.5-1ug/ml
Immunohistochemistry (FFPE) : 2-5ug/ml
Flow Cytometry : 1-3ug/million cells
Direct ELISA : 0.1-0.5ug/ml
Limitations This NDUFS6 antibody is available for research use only.
Review this product on BioCompare and get a $20 Amazon gift card

Related Products

Description

NADH dehydrogenase [ubiquinone] iron-sulfur protein 6, mitochondrial is an enzyme that in humans is encoded by the NDUFS6 gene. This gene encodes a subunit of the NADH:ubiquinone oxidoreductase (complex I), which is the first enzyme complex in the electron transport chain of mitochondria. This complex functions in the transfer of electrons from NADH to the respiratory chain. The subunit encoded by this gene is one of seven subunits in the iron-sulfur protein fraction. Mutations in this gene cause mitochondrial complex I deficiency, a disease that causes a wide variety of clinical disorders, including neonatal disease and adult-onset neurodegenerative disorders.

Application Notes

Optimal dilution of the NDUFS6 antibody should be determined by the researcher.

Immunogen

Recombinant human protein (amino acids M1-D88) was used as the immunogen for the NDUFS6 antibody.

Storage

After reconstitution, the NDUFS6 antibody can be stored for up to one month at 4oC. For long-term, aliquot and store at -20oC. Avoid repeated freezing and thawing.

Cross
Bulk Quote Request Form
Name*:
Organization*:
Email*:
Phone Number*:
Catalog No.*:
Comments and Specifics(amount, formulation, etc.)*:
Validation code: Captchapackage Image


Can't read the image? click here to refresh.
    *required field

Your bulk quote request has been submitted successfully!

Please contact us if you have any questions.