• Tel: 858.663.9055
  • SeparatorEmail: info@nsjbio.com
  • Tel: 858.663.9055
  • Email: info@nsjbio.com
Home >> Antibodies >> NDUFA9 Antibody / NADH dehydrogenase [ubiquinone] 1 alpha subcomplex subunit 9

NDUFA9 Antibody / NADH dehydrogenase [ubiquinone] 1 alpha subcomplex subunit 9 (FY12041)

  Catalog No Formulation Size Price (USD)  
Image FY12041 Adding 0.2 ml of distilled water will yield a concentration of 500 ug/ml 100 ug 449
Bulk quote request
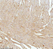
IHC analysis of NDUFA9 using anti-NDUFA9 antibody. NDUFA9 was detected in a paraffin-embedded section of human breast cancer tissue. Heat mediated antigen retrieval was performed in EDTA buffer (pH 8.0, epitope retrieval solution). The tissue section was blocked with 10% goat serum. The tissue section was then incubated with 2 ug/ml rabbit anti-NDUFA9 antibody overnight at 4oC. Peroxidase Conjugated Goat Anti-rabbit IgG was used as secondary antibody and incubated for 30 minutes at 37oC. The tissue section was developed using an HRP secondary and DAB substrate.
Western blot analysis of NDUFA9 using anti-NDUFA9 antibody. Lane 1: human Caco-2 whole cell lysates, Lane 2: human MCF-7 whole cell lysates, Lane 3: rat RH35 whole cell lysates, Lane 4: mouse HEPA1-6 whole cell lysates. After electrophoresis, proteins were transferred to a nitrocellulose membrane at 150 mA for 50-90 minutes. Blocked the membrane with 5% non-fat milk/TBS for 1.5 hour at RT. The membrane was incubated with rabbit anti-NDUFA9 antibody at 0.5 ug/ml overnight at 4oC, then washed with TBS-0.1%Tween 3 times with 5 minutes each and probed with a goat anti-rabbit IgG-HRP secondary antibody at a dilution of 1:5000 for 1.5 hour at RT. The signal was developed using enhanced chemiluminescent. Expected size of NDUFA9 ~42-43 kDa (based on 377 amino acids). Observed band at ~36 kDa corresponds to the processed mature form (after mitochondrial import cleavage) as reported in antibody datasheets and literature.
IHC analysis of NDUFA9 using anti-NDUFA9 antibody. NDUFA9 was detected in a paraffin-embedded section of human breast cancer tissue. Heat mediated antigen retrieval was performed in EDTA buffer (pH 8.0, epitope retrieval solution). The tissue section was blocked with 10% goat serum. The tissue section was then incubated with 2 ug/ml rabbit anti-NDUFA9 antibody overnight at 4oC. Peroxidase Conjugated Goat Anti-rabbit IgG was used as secondary antibody and incubated for 30 minutes at 37oC. The tissue section was developed using an HRP secondary and DAB substrate.
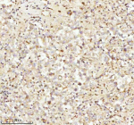
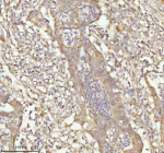
IHC analysis of NDUFA9 using anti-NDUFA9 antibody. NDUFA9 was detected in a paraffin-embedded section of human liver cancer tissue. Heat mediated antigen retrieval was performed in EDTA buffer (pH 8.0, epitope retrieval solution). The tissue section was blocked with 10% goat serum. The tissue section was then incubated with 2 ug/ml rabbit anti-NDUFA9 antibody overnight at 4oC. Peroxidase Conjugated Goat Anti-rabbit IgG was used as secondary antibody and incubated for 30 minutes at 37oC. The tissue section was developed using an HRP secondary and DAB substrate.
IHC analysis of NDUFA9 using anti-NDUFA9 antibody. NDUFA9 was detected in a paraffin-embedded section of human liver cancer tissue. Heat mediated antigen retrieval was performed in EDTA buffer (pH 8.0, epitope retrieval solution). The tissue section was blocked with 10% goat serum. The tissue section was then incubated with 2 ug/ml rabbit anti-NDUFA9 antibody overnight at 4oC. Peroxidase Conjugated Goat Anti-rabbit IgG was used as secondary antibody and incubated for 30 minutes at 37oC. The tissue section was developed using an HRP secondary and DAB substrate.
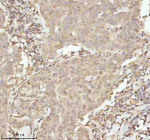
IHC analysis of NDUFA9 using anti-NDUFA9 antibody. NDUFA9 was detected in a paraffin-embedded section of human rectum adenocarcinoma tissue. Heat mediated antigen retrieval was performed in EDTA buffer (pH 8.0, epitope retrieval solution). The tissue section was blocked with 10% goat serum. The tissue section was then incubated with 2 ug/ml rabbit anti-NDUFA9 antibody overnight at 4oC. Peroxidase Conjugated Goat Anti-rabbit IgG was used as secondary antibody and incubated for 30 minutes at 37oC. The tissue section was developed using an HRP secondary and DAB substrate.
IHC analysis of NDUFA9 using anti-NDUFA9 antibody. NDUFA9 was detected in a paraffin-embedded section of human rectum adenocarcinoma tissue. Heat mediated antigen retrieval was performed in EDTA buffer (pH 8.0, epitope retrieval solution). The tissue section was blocked with 10% goat serum. The tissue section was then incubated with 2 ug/ml rabbit anti-NDUFA9 antibody overnight at 4oC. Peroxidase Conjugated Goat Anti-rabbit IgG was used as secondary antibody and incubated for 30 minutes at 37oC. The tissue section was developed using an HRP secondary and DAB substrate.
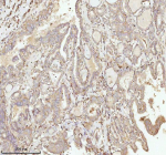
IHC analysis of NDUFA9 using anti-NDUFA9 antibody. NDUFA9 was detected in a paraffin-embedded section of human testicular seminoma tissue. Heat mediated antigen retrieval was performed in EDTA buffer (pH 8.0, epitope retrieval solution). The tissue section was blocked with 10% goat serum. The tissue section was then incubated with 2 ug/ml rabbit anti-NDUFA9 antibody overnight at 4oC. Peroxidase Conjugated Goat Anti-rabbit IgG was used as secondary antibody and incubated for 30 minutes at 37oC. The tissue section was developed using an HRP secondary and DAB substrate.
IHC analysis of NDUFA9 using anti-NDUFA9 antibody. NDUFA9 was detected in a paraffin-embedded section of human testicular seminoma tissue. Heat mediated antigen retrieval was performed in EDTA buffer (pH 8.0, epitope retrieval solution). The tissue section was blocked with 10% goat serum. The tissue section was then incubated with 2 ug/ml rabbit anti-NDUFA9 antibody overnight at 4oC. Peroxidase Conjugated Goat Anti-rabbit IgG was used as secondary antibody and incubated for 30 minutes at 37oC. The tissue section was developed using an HRP secondary and DAB substrate.
IHC analysis of NDUFA9 using anti-NDUFA9 antibody. NDUFA9 was detected in a paraffin-embedded section of human thyroid papillary carcinoma tissue. Heat mediated antigen retrieval was performed in EDTA buffer (pH 8.0, epitope retrieval solution). The tissue section was blocked with 10% goat serum. The tissue section was then incubated with 2 ug/ml rabbit anti-NDUFA9 antibody overnight at 4oC. Peroxidase Conjugated Goat Anti-rabbit IgG was used as secondary antibody and incubated for 30 minutes at 37oC. The tissue section was developed using an HRP secondary and DAB substrate.
IHC staining of FFPE rat heart tissue with NDUFA9 antibody, HRP-secondary and DAB substrate. HIER: boil tissue sections in pH8 EDTA for 20 min and allow to cool before testing.
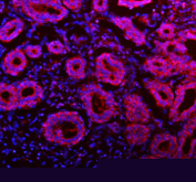
Immunofluorescent staining of FFPE human breast cancer tissue with NDUFA9 antibody (red) and DAPI nuclear stain (blue). HIER: steam section in pH8 EDTA buffer for 20 min.
Immunofluorescent staining of FFPE human colon cancer tissue with NDUFA9 antibody (red) and DAPI nuclear stain (blue). HIER: steam section in pH8 EDTA buffer for 20 min.
Immunofluorescent staining of FFPE human U-2 OS cells with NDUFA9 antibody (green) and Beta Tubulin mAb (red). HIER: steam section in pH6 citrate buffer for 20 min.
Flow cytometry testing of fixed and permeabilized human U87 MG cells with NDUFA9 antibody at 1ug/million cells (blocked with goat sera); Red=cells alone, Green=isotype control, Blue= NDUFA9 antibody.
Availability 1-2 days
Species Reactivity Human, Mouse, Rat
Format Lyophilized
Host Rabbit
Clonality Polyclonal (rabbit origin)
Isotype Rabbit IgG
Purity Immunogen affinity purified
Buffer Each vial contains 4 mg Trehalose, 0.9 mg NaCl, 0.2 mg Na2HPO4.
UniProt Q16795
Applications ELISA : 0.1-0.5ug/ml
Flow Cytometry : 1-3ug/million cells
Immunofluorescence : 5ug/ml
Immunohistochemistry : 2-5ug/ml
Immunocytochemistry : 5ug/ml
Western Blot : 0.25-0.5ug/ml
Limitations This NDUFA9 antibody is available for research use only.
Review this product on BioCompare and get a $20 Amazon gift card

Description

NDUFA9 antibody detects NADH dehydrogenase [ubiquinone] 1 alpha subcomplex subunit 9, encoded by the NDUFA9 gene. NADH dehydrogenase 1 alpha subcomplex subunit 9 is an accessory component of mitochondrial complex I, the first and largest enzyme of the oxidative phosphorylation pathway. NDUFA9 antibody provides researchers with a useful reagent for studying mitochondrial respiration, electron transport, and energy metabolism.

Complex I catalyzes the transfer of electrons from NADH to ubiquinone, driving proton pumping across the inner mitochondrial membrane. Research using NDUFA9 antibody has shown that NADH dehydrogenase 1 alpha subcomplex subunit 9 is essential for the structural integrity and stability of the complex, though it does not directly participate in electron transfer. This accessory function ensures efficient oxidative phosphorylation and ATP production.

Studies with NDUFA9 antibody have demonstrated that loss or dysfunction of NDUFA9 destabilizes complex I, leading to impaired electron transport and reduced ATP output. This disruption contributes to mitochondrial disorders characterized by neuromuscular dysfunction, lactic acidosis, and neurodegeneration. NDUFA9 mutations have been identified in patients with Leigh syndrome and other mitochondrial diseases.

In addition to inherited disorders, altered expression of NDUFA9 has been observed in cancer. Research using NDUFA9 antibody has revealed that tumor cells often reprogram mitochondrial function, and changes in NDUFA9 expression reflect altered bioenergetics. Reduced expression has also been linked to susceptibility to oxidative stress and apoptosis, highlighting its importance in both physiology and disease.

NDUFA9 antibody is widely used in western blotting, immunohistochemistry, and immunofluorescence. Western blotting quantifies expression in mitochondrial fractions, immunohistochemistry localizes protein in energy-demanding tissues such as heart and brain, and immunofluorescence demonstrates mitochondrial distribution. These applications make NDUFA9 antibody indispensable in mitochondrial biology research.

By providing validated NDUFA9 antibody reagents, NSJ Bioreagents supports studies into oxidative phosphorylation, bioenergetics, and disease. Detection of NADH dehydrogenase 1 alpha subcomplex subunit 9 provides researchers with insights into how mitochondrial accessory proteins stabilize respiratory chain complexes.

Application Notes

Optimal dilution of the NDUFA9 antibody should be determined by the researcher.

Immunogen

E.coli-derived human NDUFA9 recombinant protein (Position: Q6-I377) was used as the immunogen for the NDUFA9 antibody.

Storage

After reconstitution, the NDUFA9 antibody can be stored for up to one month at 4oC. For long-term, aliquot and store at -20oC. Avoid repeated freezing and thawing.

Cross
Bulk Quote Request Form
Name*:
Organization*:
Email*:
Phone Number*:
Catalog No.*:
Comments and Specifics(amount, formulation, etc.)*:
Validation code: Captchapackage Image


Can't read the image? click here to refresh.
    *required field

Your bulk quote request has been submitted successfully!

Please contact us if you have any questions.