• Tel: 858.663.9055
  • SeparatorEmail: info@nsjbio.com
  • Tel: 858.663.9055
  • Email: info@nsjbio.com
Home >> Antibodies >> NDUFA4 Antibody

NDUFA4 Antibody (RQ8128)

  Catalog No Formulation Size Price (USD)  
Image RQ8128 0.5mg/ml if reconstituted with 0.2ml sterile DI water 100 ug 449
Bulk quote request
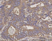
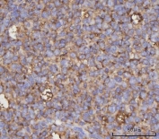
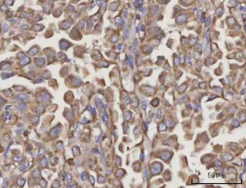
IHC staining of FFPE human lung cancer tissue with NDUFA4 antibody. HIER: boil tissue sections in pH8 EDTA for 20 min and allow to cool before testing.
IHC staining of FFPE human rectum adenocarcinoma tissue with NDUFA4 antibody. HIER: boil tissue sections in pH8 EDTA for 20 min and allow to cool before testing.
IHC staining of FFPE human tonsil tissue with NDUFA4 antibody. HIER: boil tissue sections in pH8 EDTA for 20 min and allow to cool before testing.
Immunofluorescent staining of FFPE human U-2 OS cells with NDUFA4 antibody (red) and DAPI nuclear stain (blue). HIER: steam section in pH6 citrate buffer for 20 min.
Western blot testing of 1) human T98G, 2) human HepG2, 3) human PC-3, 4) rat heart and 5) mouse heart tissue lysate with NDUFA4 antibody. Predicted molecular weight ~9 kDa.
Flow cytometry testing of fixed and permeabilized human K562 cells with NDUFA4 antibody at 1ug/million cells (blocked with goat sera); Red=cells alone, Green=isotype control, Blue= NDUFA4 antibody.
Availability 1-3 business days
Species Reactivity Human, Mouse, Rat
Format Antigen affinity purified
Host Rabbit
Clonality Polyclonal (rabbit origin)
Isotype Rabbit IgG
Purity Antigen affinity purified
Buffer Lyophilized from 1X PBS with 2% Trehalose
UniProt O00483
Localization Cytoplasm (Mitochondria)
Applications Western Blot : 0.5-1ug/ml
Immunohistochemistry (FFPE) : 2-5ug/ml
Immunofluorescence : 5ug/ml
Flow Cytometry : 1-3ug/million cells
Direct ELISA : 0.1-0.5ug/ml
Limitations This NDUFA4 antibody is available for research use only.
Review this product on BioCompare and get a $20 Amazon gift card

Description

NDUFA4, mitochondrial complex associated is a protein that in humans is encoded by the NDUFA4 gene. The protein encoded by this gene belongs to the complex I 9kDa subunit family. Mammalian complex I of mitochondrial respiratory chain is composed of 45 different subunits. This protein has NADH dehydrogenase activity and oxidoreductase activity. It transfers electrons from NADH to the respiratory chain. The immediate electron acceptor for the enzyme is believed to be ubiquinone.

Application Notes

Optimal dilution of the NDUFA4 antibody should be determined by the researcher.

Immunogen

E. coli-derived recombinant human protein (amino acids M1-F81) was used as the immunogen for the NDUFA4 antibody.

Storage

After reconstitution, the NDUFA4 antibody can be stored for up to one month at 4oC. For long-term, aliquot and store at -20oC. Avoid repeated freezing and thawing.

Cross
Bulk Quote Request Form
Name*:
Organization*:
Email*:
Phone Number*:
Catalog No.*:
Comments and Specifics(amount, formulation, etc.)*:
Validation code: Captchapackage Image


Can't read the image? click here to refresh.
    *required field

Your bulk quote request has been submitted successfully!

Please contact us if you have any questions.