• Tel: 858.663.9055
  • SeparatorEmail: info@nsjbio.com
  • Tel: 858.663.9055
  • Email: info@nsjbio.com
Home >> Antibodies >> NDRG3 Antibody

NDRG3 Antibody (R32795)

  Catalog No Formulation Size Price (USD)  
Image R32795 0.5mg/ml if reconstituted with 0.2ml sterile DI water 100 ug 449
Bulk quote request
Western blot testing of human COLO320 cell lysate with NDRG3 antibody at 0.5ug/ml. Predicted molecular weight ~41 kDa.
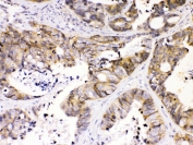
IHC testing of FFPE human intestinal cancer tissue with NDRG3 antibody at 1ug/ml. Required HIER: steam section in pH6 citrate buffer for 20 min and allow to cool prior to testing.
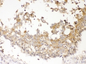
IHC testing of FFPE human breast cancer tissue with NDRG3 antibody at 1ug/ml. Required HIER: steam section in pH6 citrate buffer for 20 min and allow to cool prior to testing.
IHC testing of FFPE mouse brain tissue with NDRG3 antibody at 1ug/ml. Required HIER: steam section in pH6 citrate buffer for 20 min and allow to cool prior to testing.
IHC testing of FFPE rat brain tissue with NDRG3 antibody at 1ug/ml. Required HIER: steam section in pH6 citrate buffer for 20 min and allow to cool prior to testing.
Availability 1-3 business days
Species Reactivity Human, Mouse, Rat
Format Antigen affinity purified
Host Rabbit
Clonality Polyclonal (rabbit origin)
Isotype Rabbit IgG
Purity Antigen affinity
Buffer Lyophilized from 1X PBS with 2.5% BSA, 0.025% sodium azide
UniProt Q9UGV2
Localization Cytoplasmic, membranous
Applications Western Blot : 0.5-1ug/ml
IHC (FFPE) : 1-2ug/ml
Limitations This NDRG3 antibody is available for research use only.
Review this product on BioCompare and get a $20 Amazon gift card

Description

In studies of the NDRG gene family in the human, novel mouse sequences of Ndr2 and Ndr3 were used to search the human genome databases. This confirmed the existence of a human NDRG3 gene, homologous to mouse Ndr3. The 3 known human NDRG proteins show considerable homology, with 54% amino acid sequence identity between NDRG1 and NDRG2, 67% between NDRG1 and NDRG3, and 58% between NDRG2 and NDRG3. The NDRG3 gene was represented by 86 ESTs and a genomic clone from chromosome 20q11.21-q11.23. This provisional chromosomal localization was confirmed by electronic PCR.

Application Notes

Optimal dilution of the NDRG3 antibody should be determined by the researcher.

Immunogen

Amino acids L181-R239 from the human protein were used as the immunogen for the NDRG3 antibody.

Storage

After reconstitution, the NDRG3 antibody can be stored for up to one month at 4oC. For long-term, aliquot and store at -20oC. Avoid repeated freezing and thawing.

Cross
Bulk Quote Request Form
Name*:
Organization*:
Email*:
Phone Number*:
Catalog No.*:
Comments and Specifics(amount, formulation, etc.)*:
Validation code: Captchapackage Image


Can't read the image? click here to refresh.
    *required field

Your bulk quote request has been submitted successfully!

Please contact us if you have any questions.